Huhu.
Da ich ein paar Tage frei habe, dachte ich mir ich müsste mal wieder bissl mikroskopieren üben. Objekt der Begierde war dieser Dachpilz.
Gefunden auf kalkhaltigem Boden auf Laubholzschnitzeln.
Hutdurchmesser knapp 3cm. Ameise zum Größenvergleich.
Hut runzelig und nass durchscheinend gerieft. Gerubbelt nicht glänzend.
Stiel gräulich längsgefasert, nicht blauend.
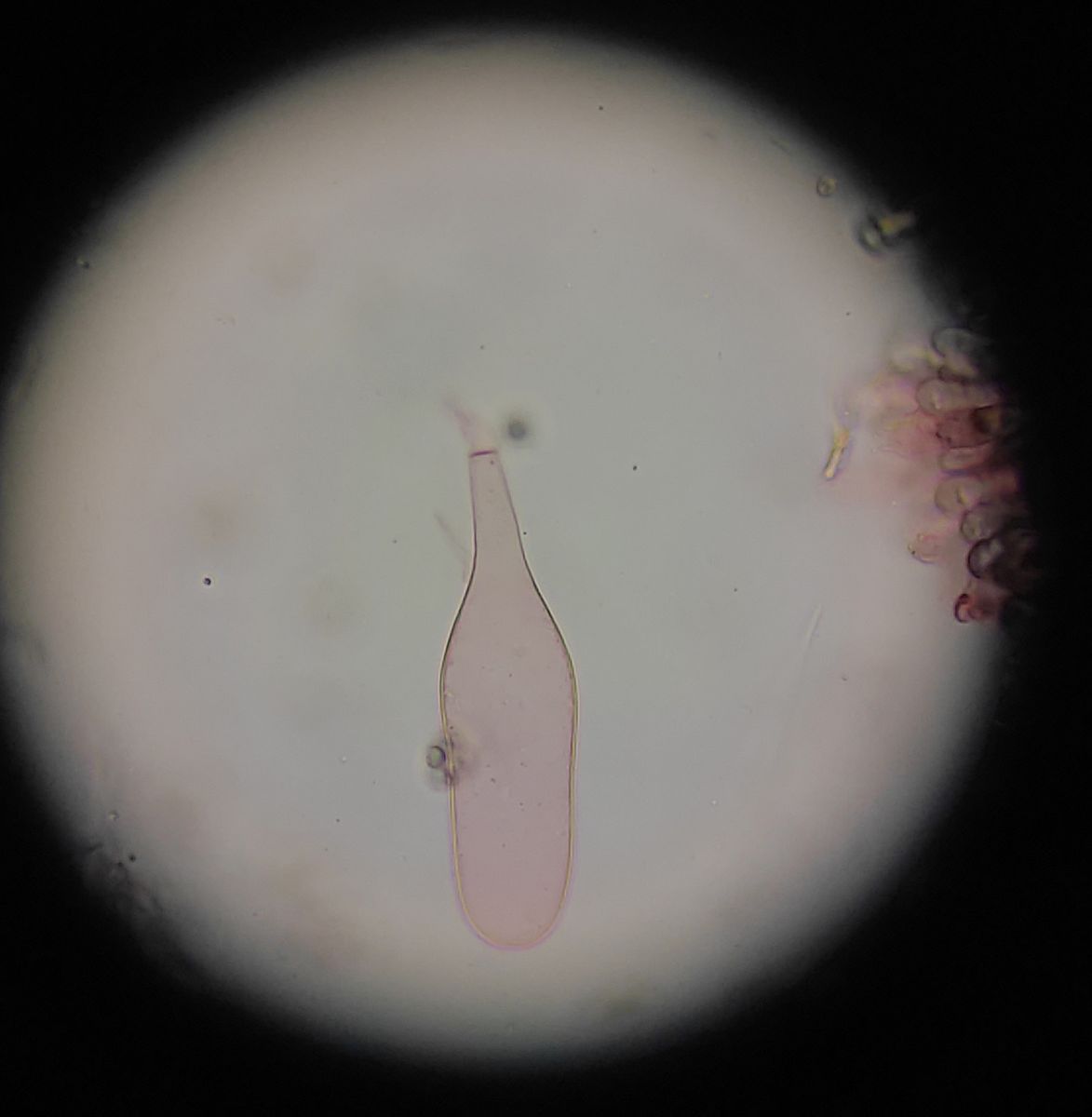
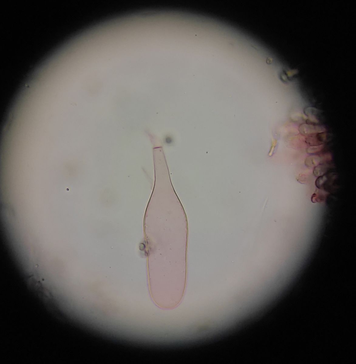
Mikros:
Ich tendiere hier zu Pluteus pallescens oder P. phleboporus mit Tendenz zu ersterem, weil keine lageniformen PlZ und globose, recht kleine Sporen. Hat da jemand Erfahrungen?
LG,
Schupfi
