Hallo zusammen,
am letzten Sonntag ging es bei strahlendem Sonnenschein und frühlingshaften Temperaturen mit dem APR ins Essener Hespertal auf eine Pilzexkursion mit vielen tollen Funden:
1. Sarcoscypha coccinea
2. Sarcoscypha austriaca
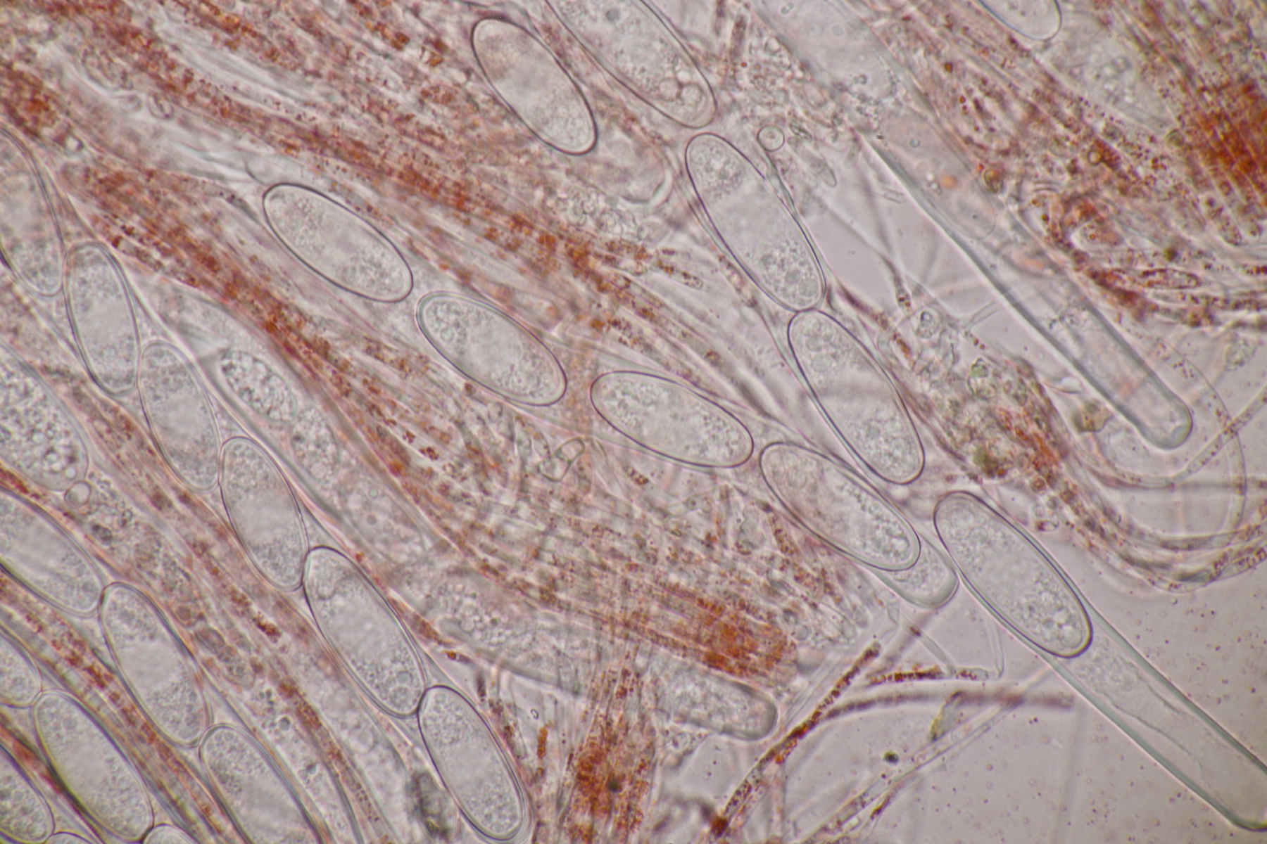
3. Sarcoscypha sp. Ich wollte dann doch nicht jeden fotografierten Fruchtkörper mikroskopieren und offenbar wachsen dort beide Arten durcheinander
4. Daldinia childiae
5. Peroneutypa scoparia
6. Ciboria amentacea
7. Octospora wrightii ex Amblystegium serpens
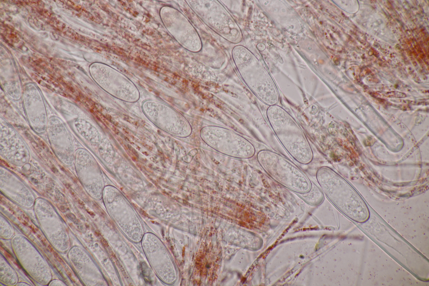
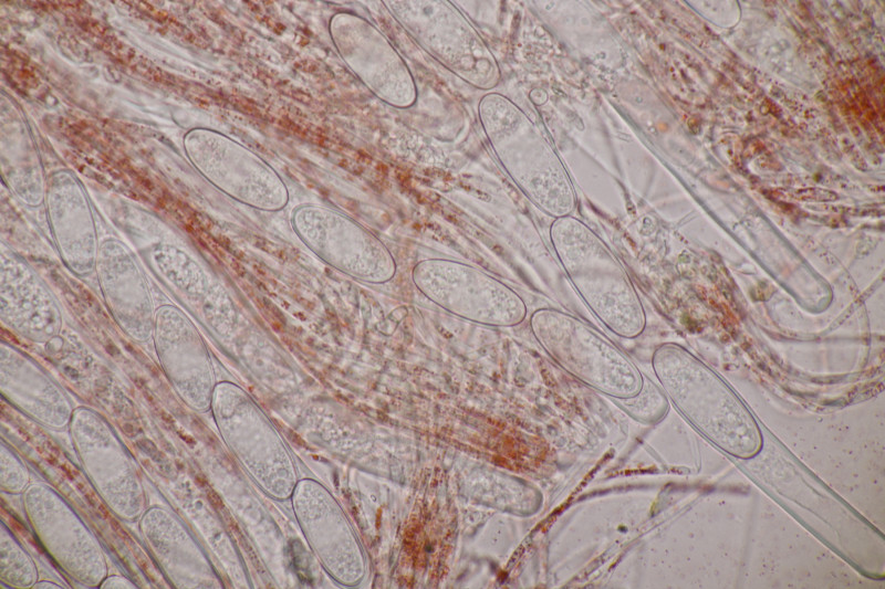
8. Pleomassaria carpini
9. Stilbospora macrosperma
10. Vermutlich eine Diaporthe an Tilia sp. Ellis und Ellis listen da D. velata, die mittlerweile mit D. eres synonimisiert ist. Die sollte aber Anhängsel an den Sporen haben.
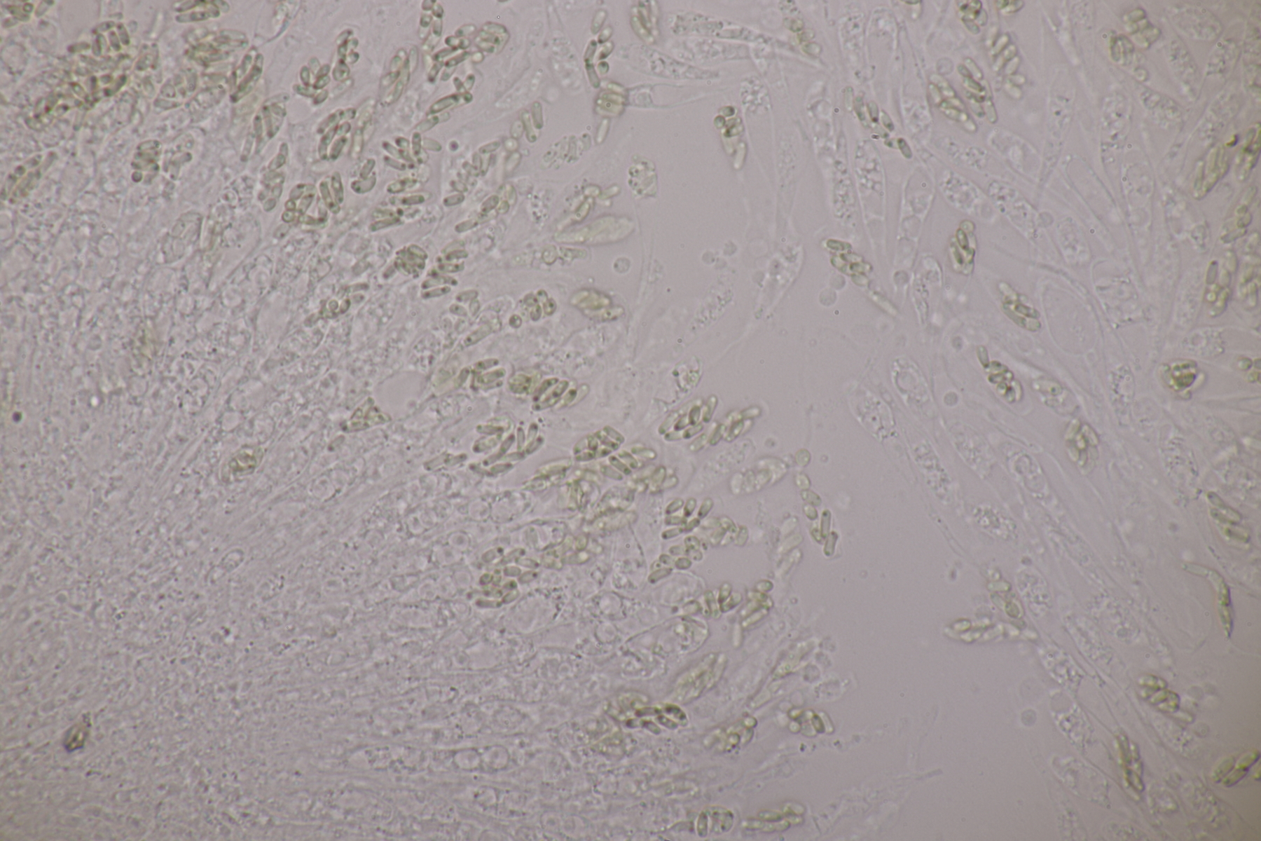
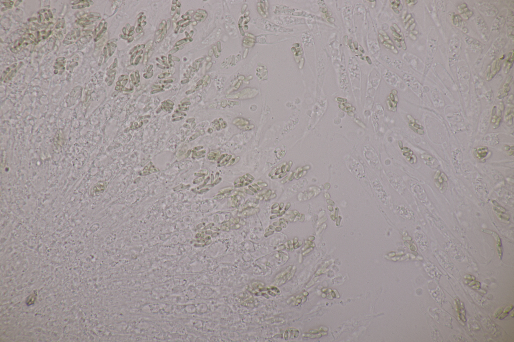
11. Juglanconis juglandina ex Juglans regia
12. Unbekannter Pyrenomycet an Laubholz
Björn
