Hi.
Nach dem Bericht mit den Pilzen, die ich so einigermaßen zuordnen konnte, folgt hier nun der schwierige Teil - die Pilze bei denen ich im Dunkeln tappe. ![]()
Es ist aus diversen Gattungen was dabei, damit sich keiner langweilt. ![]()
1. Los geht's mit einem Schleimpilz. Davon habe ich eigentlich gar keine Ahnung, aber der hier war so groß und auffällig, dass ich ihn mal mitgenommen habe.
Er wächst hier hinterm Haus an einem Ahorn. Ich bin bei meiner Recherche bei Lycogala flavofuscum rausgekommen, der eigentlich ganz gut passen würde - nur fehlt mir der Überblick ob man das einfach so makroskopisch bei den Schleimis sagen kann.
2. Ein trichterförmiger Rötling aus dem Laubwald. Vor Ort waren überwiegend Linden und Eschen aber es war unübersichtlich so, dass ich andere Laubbäume nicht sicher ausschließen kann. Der Geruch war frisch etwas mehlig. Ich hätte jetzt Entoloma undatum gefunden, aber den müsste man sicherlich mikroskopieren denke ich. Ich habe zu Entoloma nur keine ordentlichen Fachbücher leider. Könnte die Richtung passen?
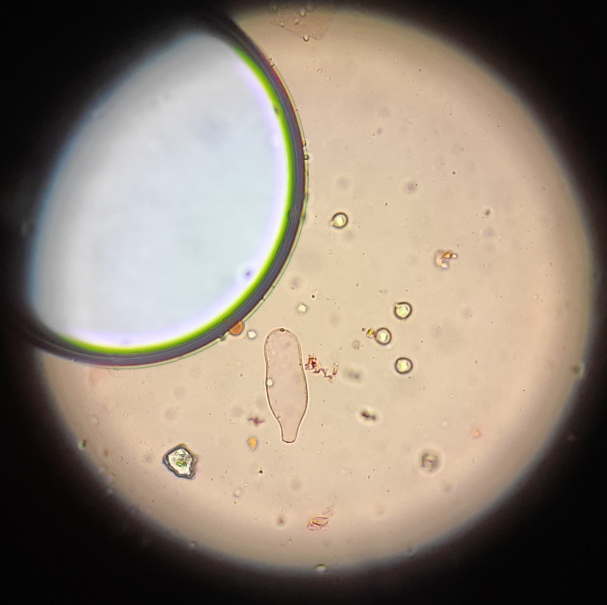
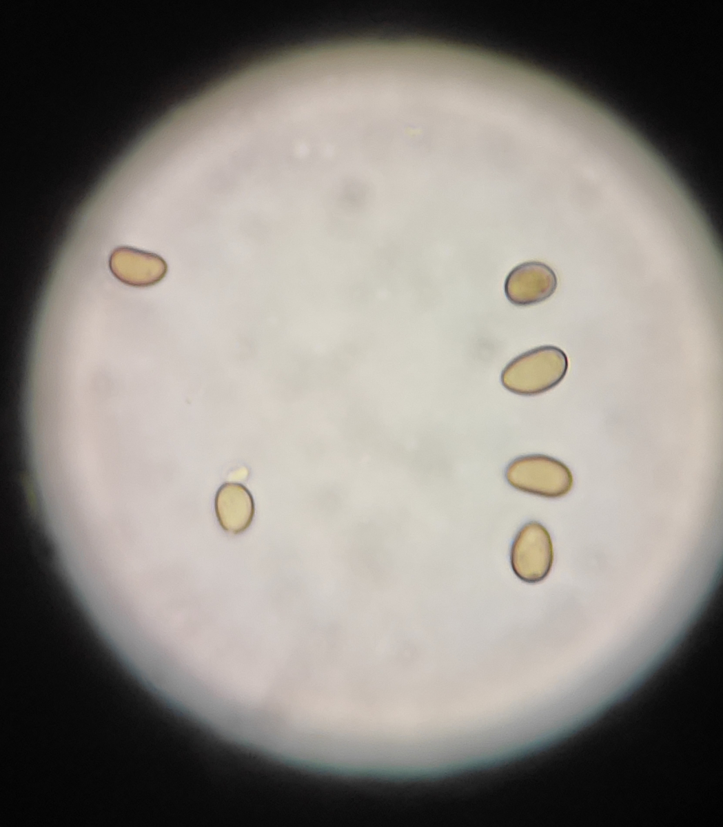
3. Direkt nebenan, also auch überwiegend Linde und Esche stand dieses Täublings-Einzelexemplar mit hübsch gelben Lamellen. Er schmeckt mild. Sporenabwurf mache ich noch, wird aber ziemlich gelb ausfallen denke ich. Ich vermute den Pilz in Russula subsect. Chamaeleontinae? Russula acetolens und Russula risigallina wären da zwei potentielle Kandidaten für mich, aber was weiß ich schon von Täublingen.
Der Stiel scheint leicht zu gilben. Hutrand höckerig. Die Stielbasis ist mir abgebrochen, die liegt daneben.
4. Ein Milchling. Wieder nur Laubbäume vor Ort. In der Nähe gesehen habe ich Linden und Hasel, aber vermutlich war dort noch was anderes passendes...
Milch ist mild und irgendwie eher wässrig. Hut leicht gerunzelt mit einer piekenden Spitze in der Mitte. Auffällig sind die recht weit herablaufenden Lamellen, was man auf den Bildern leider schlecht sieht. Der Geruch könnte in Richtung Blattwanze gehen - muss den Eichenmilchling aber mal wieder finden für Geruchsauffrischung...
Ich stehe hier auf dem Schlauch. Meine Vermutung wäre vlt. Lactarius serifluus?
5. Wieder eine andere Gattung. Lepiota. Ca. 3cm hoch. Hutdurchmesser 1,5cm. Kein Leuchtgas-Geruch. Hier hatte ich noch keine Zeit zu schauen, was in Frage kommt. Muss sicher unters Mikro?
6. Und noch eine Lepiota. Hutdurchmesser unter 1 cm. 3cm hoch. Wieder kein auffälliger Geruch. Die ist mittlerweile ganz schön eingegangen, mal gucken ob da morgen noch was fürs Mikro über ist...
Links ist die aktuelle Nummer 6. Rechts davon die vorherige Nummer 5.
7. Neue Gattung. Niemand darf sich langweilen. Inocybe. Würde ich eigentlich links liegen lassen...aber die sahen halt auffällig aus. Der Geruch ist sehr eigen. Schupfnudeline sagt Chlor. Ich sage irgendwie aufdringlich süßlich-schnapsig. Ich habe sie mal mitgenommen falls das was Spannendes ist und jemand sie untersuchen will. Ich bin da mikroskopisch glaube ich nicht auf dem Level um das ordentlich zu bearbeiten.
Habitat - überwiegend Hainbuchen:
8. So, was hatten wir noch nicht als Gattung...Rüblinge!
Das Bild hatte hatte ich schon im Bericht nebenan.
Dort und auch anderswo im Wald wuchsen jede Menge dieser rotstieligen Rüblinge. Kann ich die als Gymnopus erythropus ansprechen? Wuchsen büschelig in großen Mengen.
9. Neue Gattung. ![]()
Hier habe ich immer Probleme zwischen Phaeomarasmius und Flammulaster zu unterscheiden. Ich denke aber eher es ist ein Flammulaster. Wenn ich da richtig bin würde ich mal schauen ob ich die Art mit dem Mikro rausbekomme. Makroskopisch schaut er nach Flammulaster muricatus aus, finde ich. Er wuchs auf einem dicken sehr vermorschten Laubholzstamm.
10. Andere Gattung...gucken wir mal einen Dachpilz an.
Ich dachte bei dem kleinen hier an Pluteus phlebophorus. Das scheint ja aber einigermaßen verworren zu sein, wenn man in unser Portrait schaut.
"Anmerkungen: Die Übergänge zu den Nachbararten (insbesondere Pluteus chrysophaeus, Pluteus luctuosus,Pluteus cinereofuscus und Pluteus pallescens) sind mehr oder weniger fließend. Die Mikroskopie ist hier ebenso wenig immer eindeutig wie die makroskopischen Merkmale, wesewegen einige Autoren eine Synonymie in Erwägung ziehen. Vorläufig wäre es aber wünschenswert, die einzelnen Taxa nach Möglichkeit zu trennen."
Hm. Na gut. Vlt. packe ich mir da einfach ein s.l. dran... Aber passt die Richtung?
11. Und zu guter letzt noch ein Dachpilz von einem anderen Stubben. Gegen Ende der Tour war ich etwas geschafft, daher habe ich nur die 2 Bilder. Nebenan sind auch noch ein paar kleine Schleimies (Fadenkeulchen?) zu sehen. Hier hatte ich auch noch keine Zeit zu recherchieren.
Vermutlich habe ich mich etwas übernommen, so dass ich für Tipps dankbar wäre. Von allen Pilzen habe ich Belege mitgenommen zur Nachuntersuchung. Falls ich das alles zeitlich nicht schaffe, trockne ich mir denke ich welche für den Winter. Das wollte ich eh mal anfangen.
LG,
Schupfi
