Hi.
Heute morgen habe ich eine kleine Runde gedreht und konnte auch ein paar Sachen finden. Würde mich wie immer über Korrekturen/Anmerkungen freuen.
1. Infundibulicye cf. costata stand immer mal wieder rum:
2. Die hier würde ich für Rugosomyces/Calocybe carnea halten. Die hatte ich erst einmal. Ich finde sie nur etwas blass geraten, aber ich denke das geht noch in Ordnung?
3. Das war der einzige Röhrling heute. Unter Eiche, ich denke mal es ist am ehesten ein oller Hortiboletus engelii.
4. Das wäre ein Erstfund für mich, wenn ich richtig liege. In der Nadelstreu standen diese kräftigen, hartfleischigen Champignons mit intensiver Rötung und etwas unangenehmen Geruch.
Ring vergänglich, nach unten abziehbar:
Bei einem Exemplar ist an der Stielbasis noch eine dünne Membran zu sehen:
Ich wäre daher hier bei Agaricus bernardii wenn keine Einwände sind.
5. Phaeolus schweinitzii beim Futtern:
6. Pilz auf Pilz
7. Mit Scleroderma habe ich mich nicht groß beschäftigt bisher. Diese kleinen sind denke ich einer der dünnschaligen Kartoffelboviste. Bei Eiche.
8. Von Baumknubbeln habe ich keine Ahnung. Die hier waren an einer alten Buche. Irgendeine Ganoderma?
Die großen waren außen noch weich.
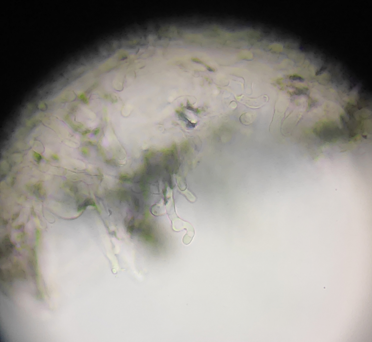
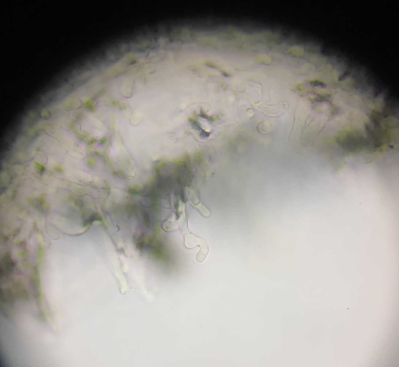
9. Die hier finde ich schwierig. Ich bei bei Gymnopus am Suchen aber finde nix passendes. Die standen gesellig im Moos unter Roteichen. Hygrophan. Erstmal nix gerochen also dachte ich vlt. Gymnopus inodorus. Beim Quetschen aber schon eine unangenehme Komponente, die fauliger Kohl sein könnte. Freundin meinte "Rettich". Also doch einer der Stinkschwindlinge oder kann der geruchlose Schwindling auch Gerüche? Gymnopus impidicus vielleicht? Oder bin ich ganz falsch?
Einige Meter daneben, ich denke das sind die gleichen.
Dicke Rhizomorphen (siehe unten die jungen).
10. Agaricus xanthodermus
11. Bei dem rechne ich mir auch nicht viele Chancen aus. Auch wieder unter Roteiche in der Nähe der vermeintlichen Rüblinge. 1cm Hutdurchmesser. Ich habe keine Ahnung.
Wäre dankbar für Hinweise zu den Fragezeichen. Heute Abend hätte ich auch Zeit zum Nachmikroskopieren.
LG,
Schupfi
