Hallo zusammen,
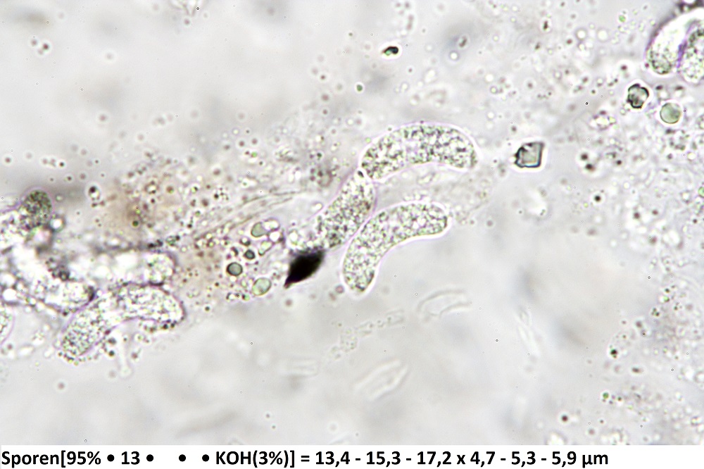
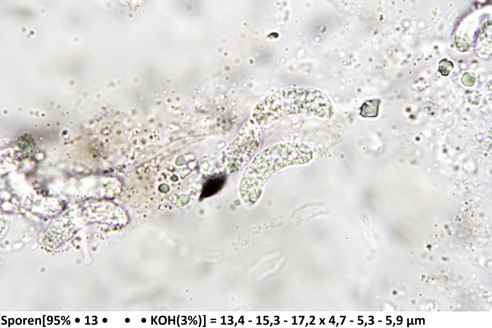
mittlerweile versuche ich mich auch mit Exidias zu beschäftigen, weshalb ich mir am 23.01.2021 eine Exidia an einer Erle angeschaut habe.
Meiner Meinung nach ist das eine Exidia nigricans. Ich bin gespannt auf eure Meinungen dazu und auch, ob ihr Spezialliteratur zu dieser Gattung habt.
Hier sind die Bilder:
1.
2.
3.
4. mit Schnallen
5.
VG : Thorben
