Hallo Pilzfreunde.
Ich finde seit Jahren in meinem Garten im Spätherbst (bei mildem Wetter bis Dez/Jan)
diese kleinen Pilze (Bild 1,2 und 4).
Ich bin ziemlich sicher, dass es sich um Galerina handelt, aber eine Artbestimmung
ist mir nicht gelungen.
Hier sind meine Befunde:
Vorkommen: im tiefen Moos, einzeln wachsend.
Größe: Hut bis 2 cm, zum Winter hin unter 1 cm, Stiel 4 x 0.2-0.3 cm.
Hut: jg. halbkugelig, spä. flach konvex; dünnfleischig (nicht häutig); stark hygrophan;
feu. fast bis zur Mitte gestreift; beim Trocknen bildet sich von der Mitte aus
eine grau-creme farbene Schicht (Bild 4), die am Ende den ganzen Hut überzieht, sodass
keine Streifung mehr zu sehen ist. Die Farbe ist jg. dkl. rotbraun, spä. ocker-gelb
mit orange-Ton, Mitte dunkler. Huthaut nicht zäh, nicht klebrig, nicht gelatisiert.
Manchmal mit kleinen Velumfetzen am Rand.
Lamellen: erst ocker, spä. rotbraun; breit angewachsen, eher weit (L ~20, I=3-5);
Schneiden silbrig (Bild 3)
Stiel: gleichdick ohne Basisknolle; rotbraun, Spitze weiß bemehlt, manchmal mit feinen
Velumresten, manchmal sehr fein silbrig überfasert (Bild 5 und 6).
Ein Stiel war mit einem sehr dünnen Holzstückchen verwachsen (Bild 7).
Geruch & Geschmack: ohne
Sporen: Staub hell rotbraun mit orange-Ton; 7-8 x 5-6 µ; im Mikroskop grünlich erscheinend (Bild 8),
ellipsoid, glatt (auch unter Immersion), nicht kalyptrat (Bild 9 mit KOH behandelt),
stark färbend in Baumwollblau.
Mikro: Cheilozystiden (Bild 10) häufig, kopfig, ~40µ lang, Köpfchen 8µ breit; Pleuros: keine
gefunden; winzige Schnallen; Basidien 2-sporig (ich glaube bei früheren Funden
auch 4-sporige gesehen zu haben).
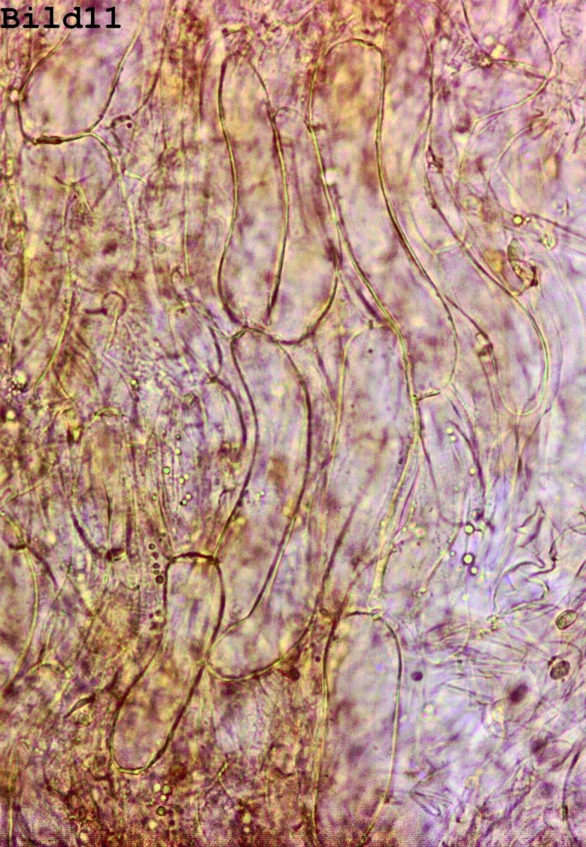
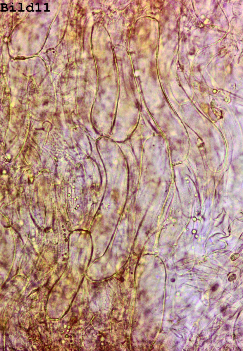
HDS: hyphig, verschlungene "Würste" (Bild 11), ~10µ breit; Endzellen oft inkrustiert.
Die beim Abtrocknen entstehende Schicht besteht aus kugeligen Zellen mit 5µ Durchmesser.
Bei meinen Bestimmungsversuchen kamen 3 Arten in die engere Wahl:
G. cinctula: passt alles, aber die Sporen nach Lit. wesentlich größer
G. camerina: soll aber an Nadelholz wachsen (in meinem Garten weit & breit kein Nadelbaum),
soll in Norddeutschland fehlen.
G. sideroides: Huthaut gelatinös, 4-sporig, andere HDS-Hyphen.
Nun hoffe ich auf Erleuchtung durch die Forum-Teilnehmer.
Helmut
