Hallo,
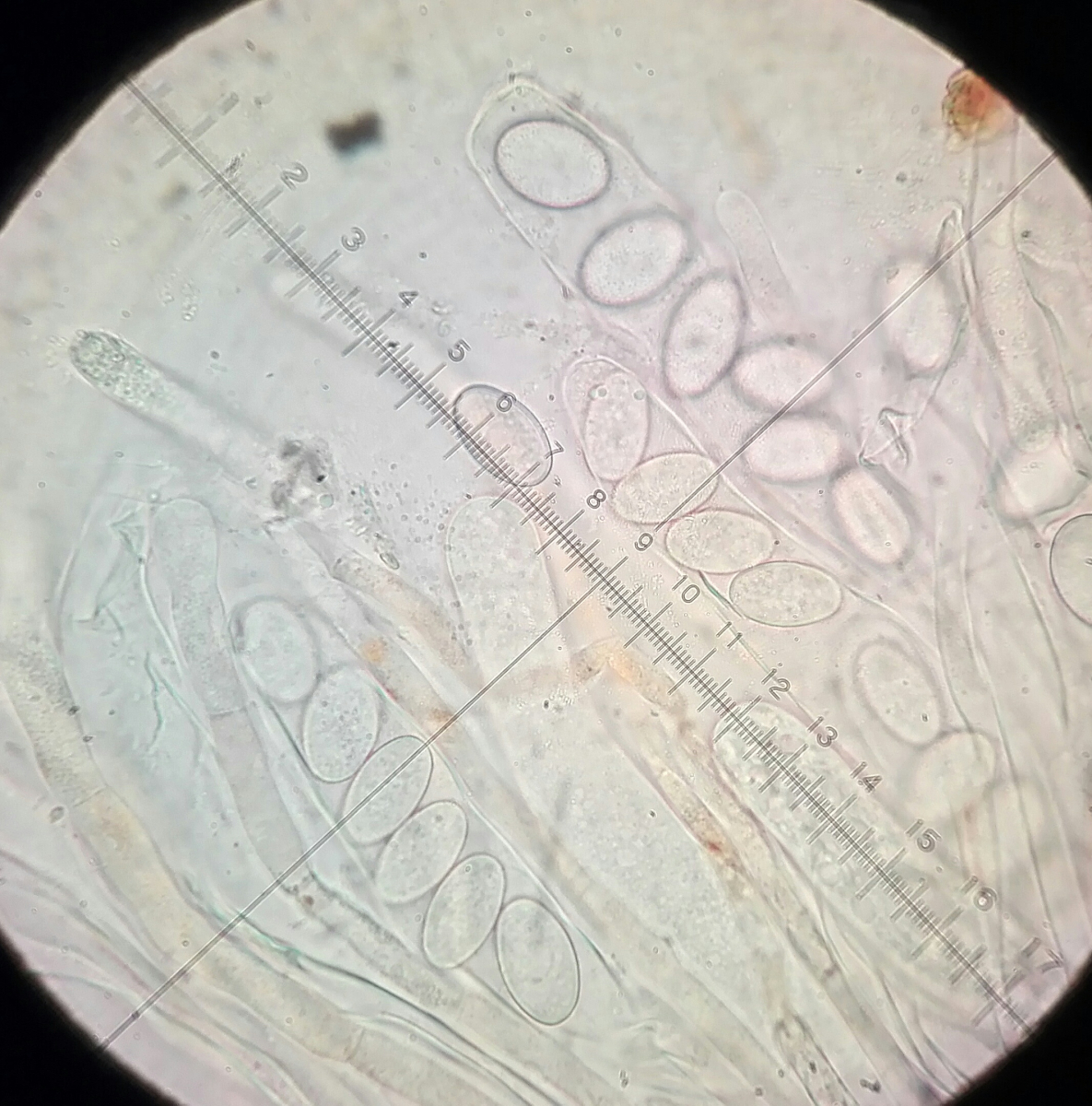
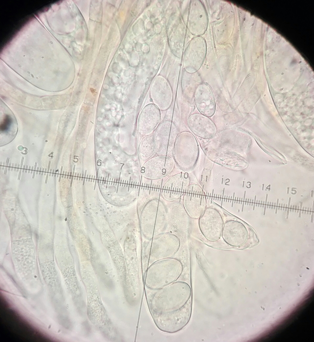
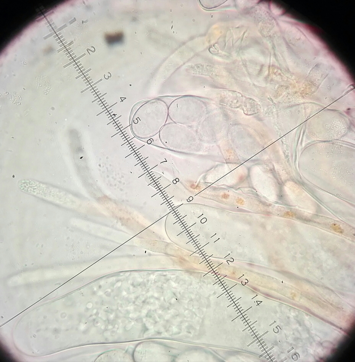
heute brauche ich mal wieder eure Hilfe: auf einem Saattöpfchen von Billa, in dem die mitgelieferte Erde und Kressesamen sind, wachsen anstatt Kresse überall kleine orangegelbe Becherlinge, deren Rand wellig wirkt, möglicherweise haarig ist. Durchmesser ca. 1 mm.
Ich habe kurz mikroskopiert, aber noch nicht gemessen. Die Fotos sind in Wasser und dann in Lugol. Leider nur Handy-Fotos...
IMG_20180502_215137.jpg
IMG_20180502_215137.jpg
IMG_20180502_214754.jpg
Hat jemand eine Idee, welche Pilze das sein könnten?
Liebe Grüße,
Romana
