Moin Moin liebe Pilzfreunde
das es im Winter auch Pilze gibt, daß will ich Euch wieder zeigen. Es lohnt sich durchaus, an etwas Rinde rumzuschnitzen.
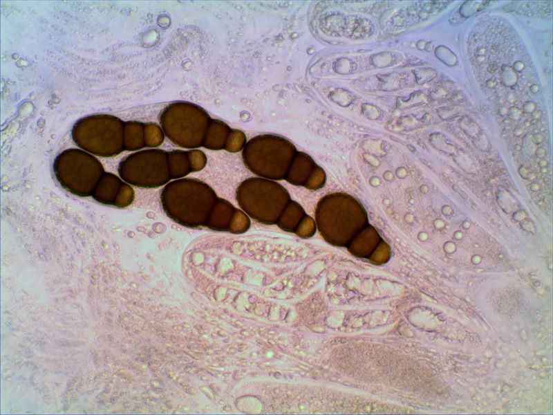
Prosthecium galeatum an Ahorn Funddaten: 19.02.2018 Gernrode Park an der Stiftskirche
Sporen [95% –• 9 –• QPr –• v –• H2O(nat) ] = 35,8 - 46,7 - 57,6 x 15,1 - 16,9 - 18,6 µm
[hr]
Leptosphaeria maculans Funddaten: 18.02.2018 Harzgerode Damm Teufelsteich, Substrat vermutlich Goldrute
Sporen [95% –• 12 –• QPr –• v –• H2O(nat) ] = 47,3 - 53,8 - 60,4 x 5,8 - 6,9 - 7,9 µm
[hr]
Pseudovalsa umbonata, Funddaten: 01.02.2018 Friedenspark Thale an Eiche
Sporen max. bis 62 µm lang
[hr]
Prosthecium auctum, Funddaten 28.01.2018 NSG Selketal nahe Selkemühle an Schwarzerle
