Hallo zusammen,
ich war am 14.11.2025 auf einer Wiese im Ruhrgebiet, die man mir empfohlen hat. Dort habe ich ganz schöne Wiesenpilze gefunden. Einige konnte ich nicht ganz bestimmen. Ich hoffe, da könnt ihr mir mit weiterhelfen. (Messwerte natürlich in Mikrometern)
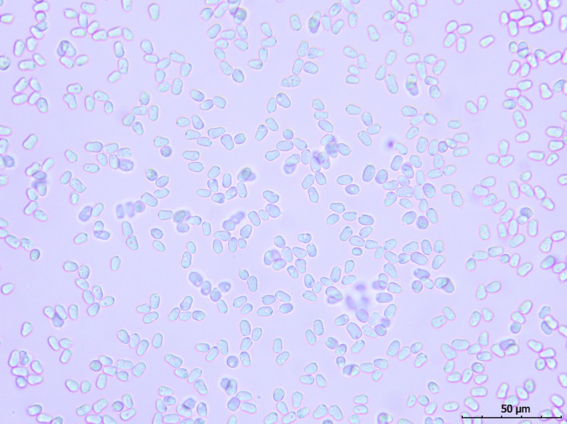
1. Cuphophyllus pratensis? C. berkeleyi; Sporen: 5.4 ± 0.4 x 4.2 ± 0.2
HDS:
Sporen:
2. Hygrocybe conica
3. Melanoleuca polioleuca agg? Karl W Könnte das passen? Zumindest komme ich nach Gröger und FN dahin, wobei die Unterscheidung zu M. friesii unmöglich scheint.
Sporen: 8 ± 0.5 x 4.8 ± 0.2 Q: 1.6 ± 0.2; CheiloZ.: 40-55-70 x 4.5-4.8-5.1 Q: 4.3 ± 0.8
Cheilozystiden:
Sporen:
4. Bovistella utriformis?
5. Clavulinopsis helvola
Sporen:
6. Hygrocybe miniata
HDS:
Sporen:
7. Geoglossum fallax Sporen: 88 ± 10 x 5.5 ± 1 Q: 16.2 ± 3
Sporen:
Asci:
Paraphysen:
Septierte Spore:
8. Clavulinopsis laeticolor? Sporen: 6.7 ± 1 x 5 ± 1 Q: 1.4 ± 0.2
Sporen:
9. Clavaria sp.
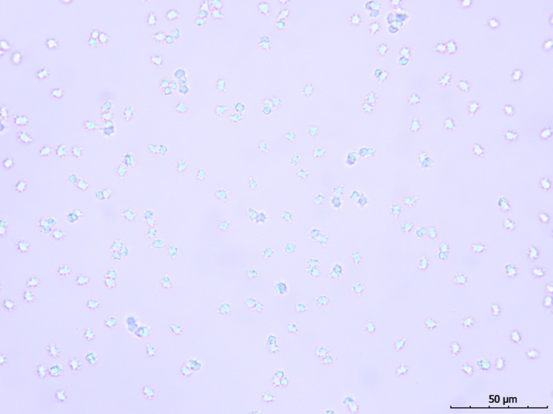
10. Entoloma conferendum? boccaccio Karl W Was meint ihr?
Sporen: 8.6 ± 1.6 x 6.5 ± 1 Q: 1.3 ± 1.2
CheiloZ.: 22.5 ± 5 x 10.4 ± 2.5 Q: 2.2 ± 0.8
Ich konnte keine schnallen finden. PleuroZ. konnte ich ebenfalls keine finden
Sporen:
HDS:
Basidiolen CheiloZ.:
Basidien:
11. Cuphophyllus virgineus
12. Mycena rosea (Waldrand abseits der Wiese)
Grüße
Oliver
