Wiesenpilze irgendwo im Ruhrgebiet - 14.11.2025

Es gibt 16 Antworten in diesem Thema, welches 1.076 mal aufgerufen wurde. Der letzte Beitrag () ist von Wolfgang P..

  • Hallo zusammen,


    ich war am 14.11.2025 auf einer Wiese im Ruhrgebiet, die man mir empfohlen hat. Dort habe ich ganz schöne Wiesenpilze gefunden. Einige konnte ich nicht ganz bestimmen. Ich hoffe, da könnt ihr mir mit weiterhelfen. (Messwerte natürlich in Mikrometern)


    1. Cuphophyllus pratensis? C. berkeleyi; Sporen: 5.4 ± 0.4 x 4.2 ± 0.2



    HDS:


    Sporen:


    2. Hygrocybe conica


    3. Melanoleuca polioleuca agg? Karl W Könnte das passen? Zumindest komme ich nach Gröger und FN dahin, wobei die Unterscheidung zu M. friesii unmöglich scheint.

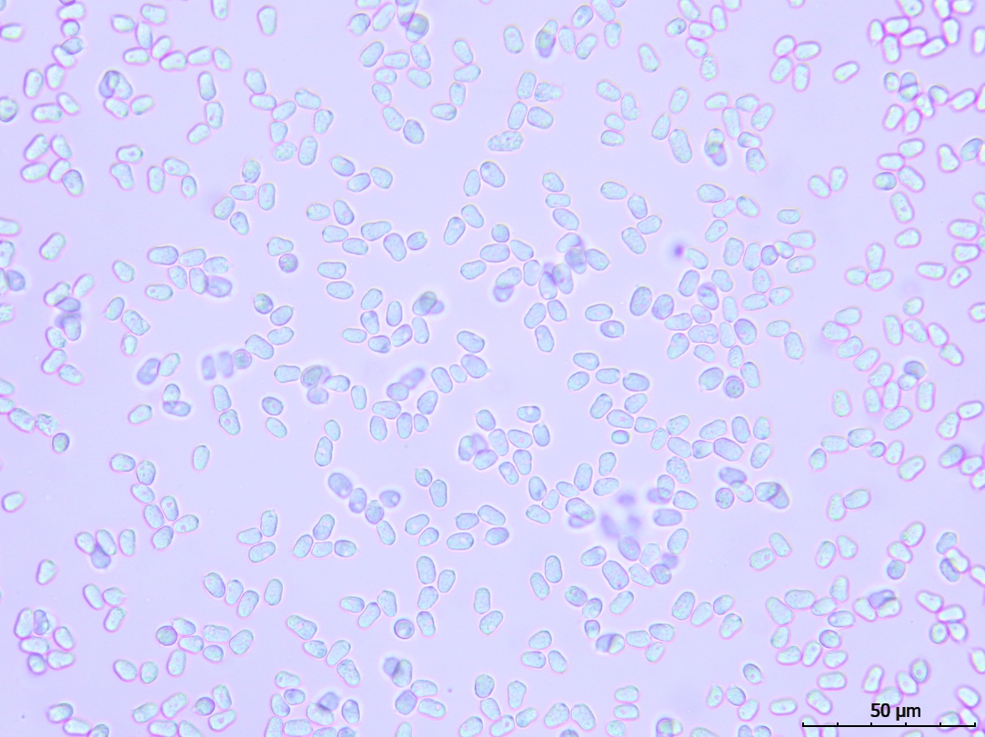
    Sporen: 8 ± 0.5 x 4.8 ± 0.2 Q: 1.6 ± 0.2; CheiloZ.: 40-55-70 x 4.5-4.8-5.1 Q: 4.3 ± 0.8



    Cheilozystiden:


    Sporen:


    4. Bovistella utriformis?


    5. Clavulinopsis helvola


    Sporen:


    6. Hygrocybe miniata


    HDS:



    Sporen:


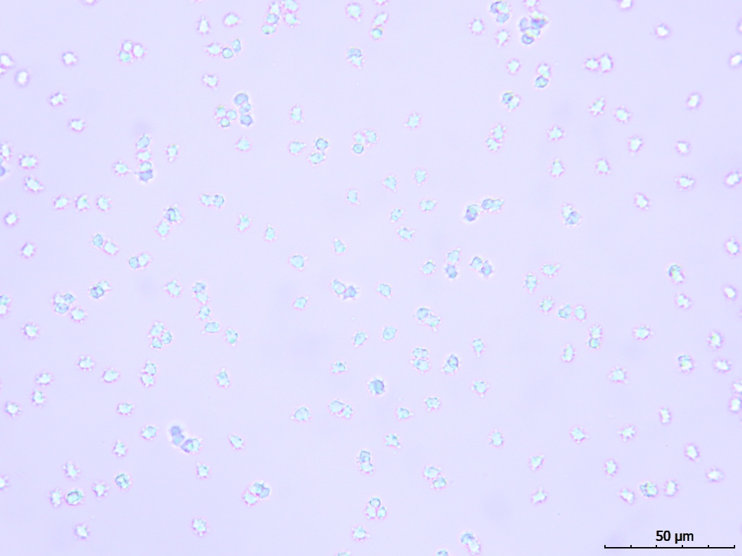
    7. Geoglossum fallax Sporen: 88 ± 10 x 5.5 ± 1 Q: 16.2 ± 3


    Sporen:


    Asci:


    Paraphysen:


    Septierte Spore:


    8. Clavulinopsis laeticolor? Sporen: 6.7 ± 1 x 5 ± 1 Q: 1.4 ± 0.2


    Sporen:


    9. Clavaria sp.


    10. Entoloma conferendum? boccaccio  Karl W Was meint ihr?

    Sporen: 8.6 ± 1.6 x 6.5 ± 1 Q: 1.3 ± 1.2

    CheiloZ.: 22.5 ± 5 x 10.4 ± 2.5 Q: 2.2 ± 0.8

    Ich konnte keine schnallen finden. PleuroZ. konnte ich ebenfalls keine finden



    Sporen:


    HDS:


    Basidiolen CheiloZ.:


    Basidien:


    11. Cuphophyllus virgineus


    12. Mycena rosea (Waldrand abseits der Wiese)



    Grüße

    Oliver

  • Hallo Oliver,


    der erste ist für mich vom optischen her ein Wiesenellerling (C. pratense), wobei das zweite Bild für mich nochmal was anderes zeigt.

    Die gelben Wieenkeulen sind leider nicht mehr "nur" die drei üblichen, in den Büchern zu findenden Wiesenkeulen.Die werden gerade genetisch untersucht. Von daher schaue ich mir die momentna nicht genauer an......


    LG, Lütte

  • Hallo Lütte,


    abwegig ist das nicht. Auf den Wiesen gibt es beide Arten. Ich finde es echt nicht einfach, die auseinander zu halten. Vielleicht sind das auch einfach trockene C. pratensis.

    Ich hab mitbekommen, dass die Keulen in Bearbeitung sind. Ich wollte sie nir aber trotzdem mal anschauen und sie zumindestens unter den alten Namen einordnen, wenn möglich. Ich bin gespannt, was uns da in Zukunft so offenbart wird.


    LG

    Oliver

  • Hallo an alle,


    Bei den Keulen-Bestimmungen gehe ich soweit mit, wobei man besonders bei laeticolor im Moment ein ".agg" dahinter schreiben sollte.


    Bei den Saftlingen s.l. sehe ich auf dem ersten auch pratensis, den zweiten kann ich vom Foto nicht beurteilen.


    Der Name "Hygrocybe berkeleyi" hat übrigens eine wechselvolle Geschichte.

    Der Typus von Orton stammt aus Nordamerika. Clemencon hat den Namen als illegitim angesehen, und daher unter dem Namen "Camarophyllus berkeleyanus" neu beschrieben. Dabei hat er dann aber einen Typus aus England angegeben. Fast zeitgleich hat Bon die Art als "ortonii" beschrieben. Bon hat später dazu angemerkt, dass in der neuen Gattung Camarophyllus der Name "berkeleyi" legitim wäre, und machte seine ortonii und die berkeleyanus zu Synonymen.


    Inzwischen weiß man aber, dass die nordamerikanischen und die europäischen Funde nicht die gleiche ITS-Sequenz haben (meines Wissens noch unpubliziert). Es könnte also sein, dass Camarophyllus berkeleyanus der gültige Name für europäische, und Camarophyllus berkeleyi der gültige für amerikanische Funde ist.


    Grüße,


    Wolfgang

  • Hallo zusammen,


    dann wird das wohl H. pratensis sein und nicht H. berkeleyi. Wie unterscheiden die sich? Laut Literatur soll H. berkeleyi ja einfach nur heller sein.

    boccaccio ich hab auch nur die beiden Frk gefunden, sonst keine weiteren H. miniata. Die Entoloma sagt dir nichts?


    Gruß

    Oliver

  • dann wird das wohl H. pratensis sein und nicht H. berkeleyi. Wie unterscheiden die sich? Laut Literatur soll H. berkeleyi ja einfach nur heller sein.

    Hi Oliver,

    berkeleyi ist weiß oder zumindest fast weiß. Mikroskopische Unterschiede sind noch nicht erforscht. An Belegen von echten berkeleyi bin ich interessiert.


    Gruß,


    Wolfgang

  • Hallo Oliver,

    Bei Melanoleuca polioleuca agg. liegst Du ebenso richtig, wie bei E. conferendum.

    Bei 1 und 2 sehe ich C. pratensis. Die erscheinen bei mir auf dem Friedhof seit Wochen in immer neuen Schüben und ich konnte mir einen guten Überblick in allen Altersstadien verschaffen.

    LG Karl

  • Hallo Oliver,



    wow ich bin geflasht von Deinen coooolen Beitrag.

    Keulchen sind genau meine Kragenweite. Auch wenn ich noch nicht sehr firm darin bin sie zu bestimmen.


    Ich hatte vor einiger Zeit eine Spindelförmige Wiesenkeule gefunden. Sie wurde mikroskopiert und als solche benannt. Da habe ich mich sehr darüber gefreut. Und heute habe ich erfahren, dass dieser Fund weitergeleitet wurde zum Sequenzieren. Weil da ja so viel im Hintergrund passiert, was die meisten gar nicht mitbekommen. So auch ich.



    Ich hoffe, dass ich jetzt das richtige Bild erwischt habe.

    Liebe Grüße vom


    Bläuling


    Meine Bestimmungsversuche sind KEINE Verzehrfreigaben



    Schipse: 100-10 Startgebühr für APR 2024= 90 + 2 = 92

    Schipse: 92-10 Startgebühr für APR 2025 = 82

  • Hallo Bläuling,


    danke für das Lob. Ich gucke mir gerne an, wie andere ihre Funde präsentieren und lasse mich davon inspirieren, wenn es mir gefällt.


    Keulen sind schon ganz cool. Ich hoffe, deine Sequenzierung wird aufschlussreich. Ich bin dabei zu überlegen eine ganze Reihe an Pilzen in einem Batch mal sequenzieren zu lassen, weil sich mit der Zeit doch so einiges ansammelt, was sich zu sequenzieren lohnen würde.


    Grüße

    Oliver

  • Hallo Karl,



    ja die Keule meine ich.

    Wie ist das jetzt? Ich dachte, dass das Mikroskop Aufschluß darüber gibt, um welche Keule, um bei diesem Beispiel zu bleiben, es sich dabei handelt. Diese Sequenzierungen, sind das dann die genauesten Untersuchungen? Oder ist das eine Neuordnung?

    Ich wäre froh,. wenn Du mir das ein wenig näher erklären könntest. Aber bitte nur ein wenig näher. So eine alte Trulla wie ich, ist manchmal nicht mehr so wendig. Jetzt muß ich ja über mich selber mal lachen.

    Liebe Grüße vom


    Bläuling


    Meine Bestimmungsversuche sind KEINE Verzehrfreigaben



    Schipse: 100-10 Startgebühr für APR 2024= 90 + 2 = 92

    Schipse: 92-10 Startgebühr für APR 2025 = 82

  • Hallo Bläuling,

    Ich dachte, dass das Mikroskop Aufschluß darüber gibt, um welche Keule, um bei diesem Beispiel zu bleiben, es sich dabei handelt. Diese Sequenzierungen, sind das dann die genauesten Untersuchungen? Oder ist das eine Neuordnung?

    Nein, man kann die meisten Keulen derzeit weder mit dem Mikroskop noch mit einer genetischen Methode als Art bestimmen, einfach weil jede Bestimmung (egal wie) ein stabiles Artkonzept als Voraussetzung erfordert.


    Für Keulen gab es ein Artkonzept von CORNER (1950), das mehr oder weniger modifiziert bis heute überlebt hat. Von dem wissen wir, dass es die tatsächliche Biodiversität auf unseren Magerwiesen in keiner Weise widerspiegelt. Es gibt in der Natur einfach viel mehr verschiedene Arten als in der Literatur.


    Moderne Artkonzepte versuchen, genetische, mikroskopische und ökologische Merkmale gemeinsam zu betrachten. Dazu muss man hunderte verschiedene Kollektionen von verschiedenen Standorten vergleichen. Dein Fund ist jetzt also ein kleines Puzzlestück in dieser gigantischen Aufgabe, die begonnen hat aber noch lange vor der Vollendung steht.


    Dein gezeigter Pilz gehört zu einer Artengruppe mit etwa 10 Arten, die im allgemeinen "laeticolor agg." genannt werden. Und zwar offensichtlich zu einer Sippe, dessen Sporen zufällig wie die Sporen von Clavulinopsis fusiformis aussehen. Daher gibt es hier eine häufige Fehlbestimmung, wenn man klassische Schlüssel verwendet.


    Clavulinopsis fusiformis im engeren Sinne bezeichnet aber eine andere Art, nicht im "laeticolor"-Aggregat, die viel größere und wirklich büschelig wachsende Fruchtkörper bildet. Ich glaube, diese Art ist tatsächlich im alten und zukünftigen Artkonzept recht gut definiert:



    Grüße,


    Wolfgang