Moin,
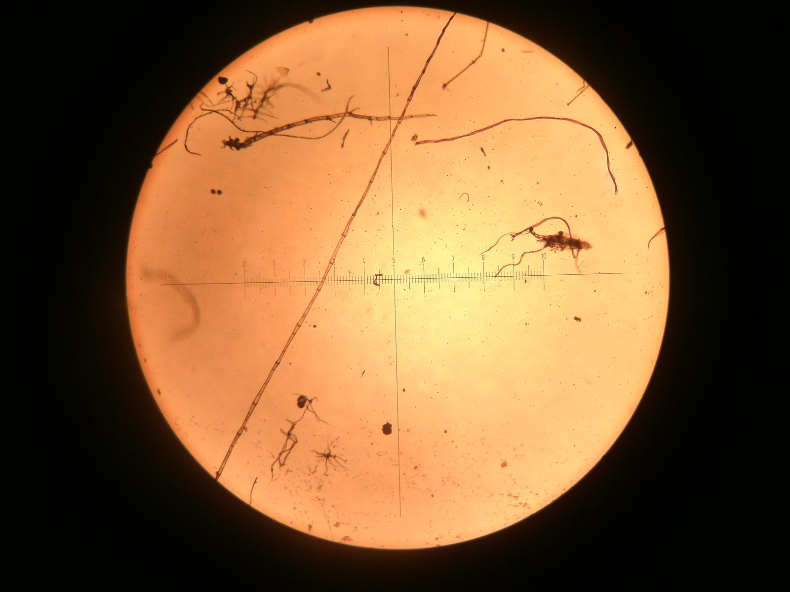
wahrscheinlich taucht immer mal wieder "Dreck" unterm Mikroskop auf, aber so hübsch wie das hier ist, möchte ich doch mal wissen, was das eigentlich ist. Hat irgendwer nen Tipp?
Das ganze müsste noch bei 4x, max 10x Vergrößerung sein, hab vergessen mir das aufzuschreiben...
Das sind einmal eine lange Reihe an Zellen(?), die quer durch das gesamte Bild laufen. Oben rechts scheint es ähnlich zu sein, aber in gemustert; und dieses sternförmige Ding (unten links) taucht auch sonst immer mal wieder auf.
Beste Grüße
Carolin
