Hallo!
Ich wollte mich mal wieder an der Mycena-Bestimmung versuchen und bin wieder kläglich gescheitert. Ich habe mit Funga Nordica geschlüsselt und bin, meiner Meinung nach, sehr minutiös vorgegangen. Im Zweifel habe ich ganze Absätze ins Deutsche übersetzt, um sicher zu gehen, dass ich alles richtig verstanden habe. Am Ende kam ich bei Mycena vitilis oder polygramma raus, was Beides nicht passt 😓
Kann jemand vielleicht helfen?
Makrofotos:
Hut ca. 1,5 cm Durchmesser, Hut und Stielfarbe einheitlich grau, Stiel hohl
Gewachsen auf stark vermodertem und mit Moos bewachsenem Laubholz/ umgestürzter Baumstamm (selbst wenn ich im Schlüssel von Nadelholz ausgehe, falls ich mich vertan habe, komme ich nicht zu einem passenden Ergebnis). Nur ein Fk vorhanden.
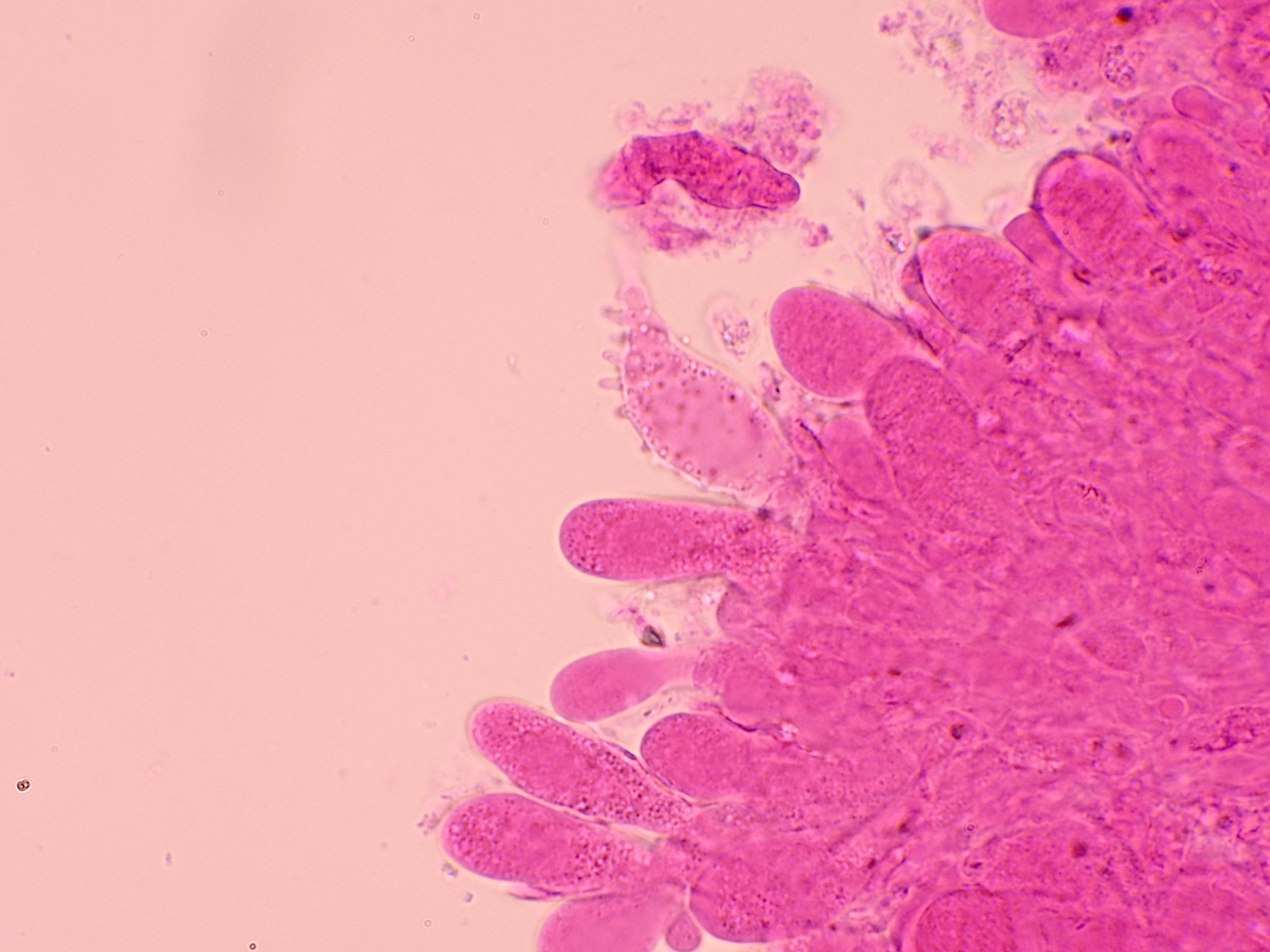
Sporen amyloid und 9,8-12,5 x 8,3-9,4 Mikrometer
Zystiden siehe Mikrobilder
Geruch nicht vorhanden (mehrfach getestet)
Die Lamellentrama färbte sich mit Melzer - für mich überraschend - violett. Das habe ich noch nie gesehen.
Ideen? 💡
Lg
Sandra
