Ich schnall's nicht - Pluteus --> Pluteus cervinus (var. albus)

Es gibt 10 Antworten in diesem Thema, welches 3.044 mal aufgerufen wurde. Der letzte Beitrag () ist von Schupfnudel.

  • Hi.


    Einer noch von heute. Ein wenig Bedenken hatte ich ja, einen größeren Pluteus einzupacken, aber man muss ja auch mal was wagen.

    Den hier fand ich heute also auf Holzresten am Boden wachsend, müsste Laubholz gewesen sein. Mittelgroßer silbrig-grauer Dachpilz auf Laubholz, Hutmitte leicht braunschuppig, Geruch schwach nach Rettich.






    Nimmste halt mal mit und guckst ihn dir im Mikro an, wird schon Pluteus salicinus sein - so nennste die Dinger ja immer. Der Funga Nordica Schlüssel ist übersichtlich. Schlüssel A, Hut weiß-grau - bleiben P. petasatus (Geruch passt nicht), P. salicinus und P. pellitus. Übersichtliche Auswahl also.


    Stattdessen guckt man im Pilzforum und findet so was hier.

    Als Literatur kann ich dringendst empfehlen:

    ALFREDO JUSTO, EKATERINA MALYSHEVA, TATIANA BULYONKOVA, ELSE C. VELLINGA, GERRY COBIAN, NHU NGUYEN, ANDREW M. MINNIS & DAVID S. HIBBETT (2014): Molecular phylogeny and phylogeography of Holarctic species of Pluteus section Pluteus (Agaricales: Pluteaceae), with description of twelve new species. Phytotaxa 180(1): 1–85.

    dx.doi.org/10.11646/phytotaxa.180.1.1

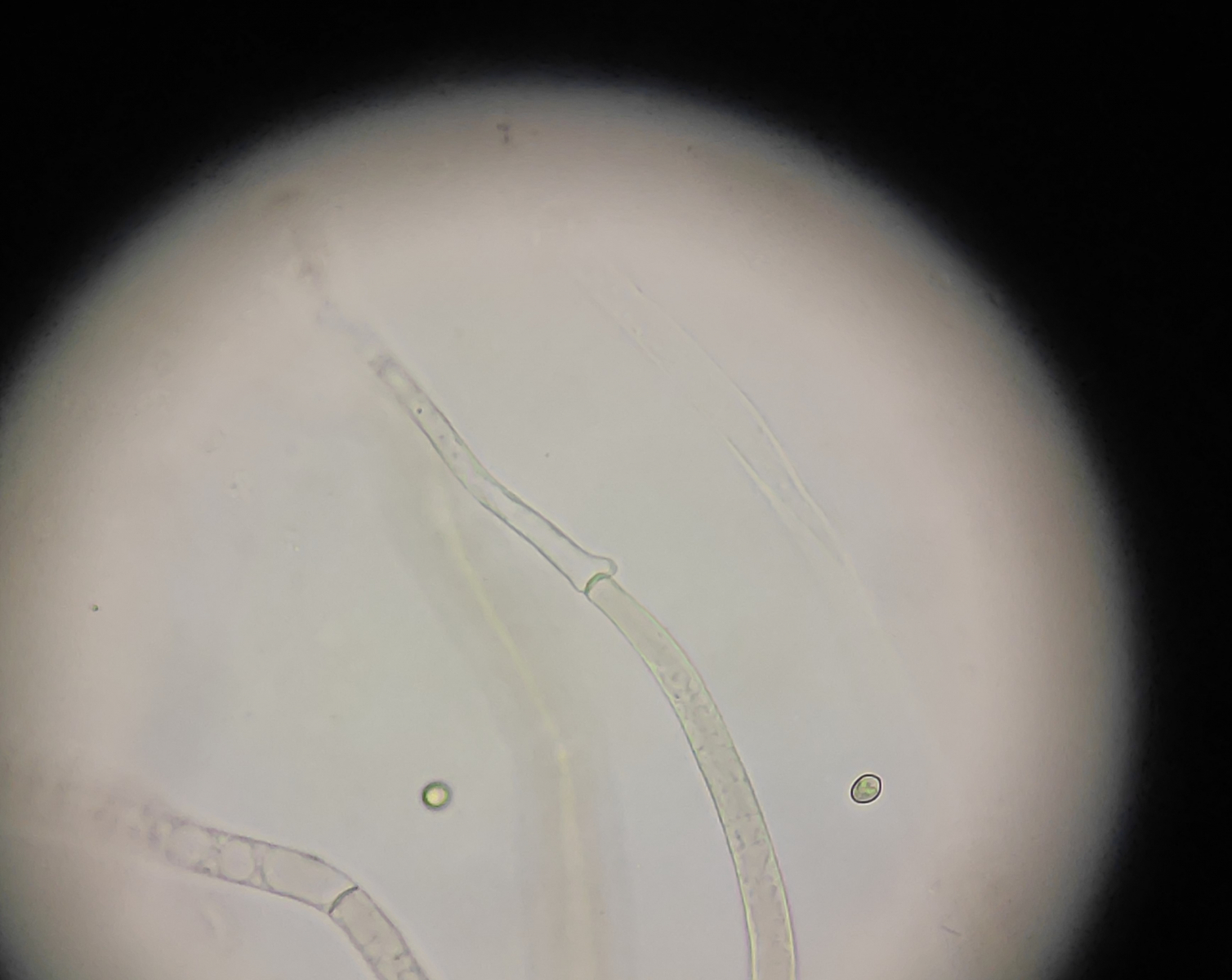
    Erste Frage - Schnallen vorhanden in der Huthaut?


    Öhm. Naja. Ma gucken. Ich zupfe mir drei Stückchen mit der Pinzette aus der Huthaut und suche. Ich finde mehr oder weniger nix. Müsste aber zumindest "pileipellis a cutis" sein denke ich.



    Ich bräuchte die Schnallen aber um zu meinem schönen, einfachen FN-Ergebnis zu schlüsseln.


    Nach ewiger Suche finde ich genau ein einziges Dingsi was vielleicht, eventuell eine Schnalle sein könnte, wenn ich's schnalle. Vlt. aber auch nicht. Was weiß ich schon.

    Also ist das eine Schnalle?



    Und reicht eine Schnalle in 3 Zupfpräparaten um Schnallen als gegeben anzusehen?


    Danke. Fortsetzung folgt hoffentlich.


    LG,

    Schupfi

    Posts sind nicht als Essensfreigabe zu verstehen. :-]
    93 Chibs - APR-Gebühr 2024 = 83 Chibs

  • Hallo Schupfi


    Ja das ist ne Schnalle. Die Schnallen findet man bei vielen Arten nicht an jeder Septe.

    Ich würde noch Cheilos und Pleuros sehr genau anschauen. Mit dem Dokument das du zitierst sollte die Bestimmung dann eigentlich ganz gut gelingen.


    Der Schlüssel in der FN ist leider nicht auf dem neuesten Stand und deshalb für diese Gruppe von Dachpilzen nicht mehr wirklich geeignet.


    Gruss Raphael

    • Offizieller Beitrag

    Hi,


    das ist die Gretchenfrage. Wie mir unlängst gesagt wurde, ist eine Schnalle, keine Schnalle. Zumindest bei Pluteus mit Schnallen+ müsstest du in der Huthaut in 3 Präparaten mehr Schnallen sehen als nur eine,...


    l.g.

    Stefan

    Risspilz: hui; Rissklettern: bisher pfui; ab nun: na ja mal sehen...


    Derzeit so pilzgeschädigt, das geht auf keine Huthaut. :D


    Meine Antworten hier stellen nur Bestimmungsvorschläge dar. Verzehrsfreigaben gibts nur vom PSV vor Ort.

  • Hi Schupfi,


    jaja, man kann sich wirklich selbst kasteien...

    In den guten alten Zeiten wäre das einfach ein etwas hellerer cervinus gewesen, aber jetzt...

    Ich habe mich zugegebenermaßen auch noch nicht intensiver mit der neueren Literatur befasst, das hebe ich mir für mein Rentendasein auf. Und dann bin ich gespannt, wann die Sequenzierer endlich mal den plautus-Komplex auseinander friemeln.

    Es steht uns noch viel bevor.


    In diesem Sinne

    Harald

  • Hallo liebe Helfer,


    schön, dass sich die Dachpilz-Fans hier einfinden.

    Gut, dann haben wir immerhin schon mal eine Schnalle (=keine Schnalle laut Stefan :giggle: ). Das ist natürlich suboptimal, dass ich nur eine finde, wenn der Schlüssel danach fragt. Ich hätte das ja gern eindeutiger gehabt. Das wäre auch meine nächste Frage gewesen, ab wann man eine Huthaut denn als "abgesucht" ablegen kann, aber in 3 Präparaten eine einzige könnte man demnach eher als schnallenlos werten. Wo dann der Cut-Off ist zwischen "schnallig und schnallenlos" fände ich aber trotzdem schwierig zu beurteilen. Wenn's nun in den 3 Präparaten 2 Schnallen gewesen wären, wüsste ich auch nicht, ob ich das nun mit oder ohne Schnallen schlüssele. Mit einer tendiere ich wie Stefan sagt eher zu "keine".


    Dann gucke ich nachher mal die Zystiden an.

    Ich habe mich zugegebenermaßen auch noch nicht intensiver mit der neueren Literatur befasst, das hebe ich mir für mein Rentendasein auf. Und dann bin ich gespannt, wann die Sequenzierer endlich mal den plautus-Komplex auseinander friemeln.

    P. plautus gab's da auch. Den habe ich wohlwissentlich kurz gestreichelt und ihm ein s.l. verpasst. Der durfte stehen bleiben.


    LG,

    Schupfi

    Posts sind nicht als Essensfreigabe zu verstehen. :-]
    93 Chibs - APR-Gebühr 2024 = 83 Chibs

  • So weiter geht's.


    Ich schlüssele mal ohne Schnallen weiter.


    1.a) Intermediate cystidia predominantly fusiform and non-hooked

    1.b) Intermediate cystidia variable, without a predominant morphological type


    Sind "Intermediate cystidia" das gleiche wie Pleurozystiden, also an der Lamellenfläche?


    An der Lamellenfläche finde ich jede Menge Pleurozystiden, wobei die meisten mehrere Haken haben.


    Die finde ich aber auch direkt an der Lamellenschneide und darüber hinausragend:



    Dann denke ich mal, dass das die Cheilos sind?



    Die sind nur vereinzelt an der Lamellenschneide und würde ich nicht als fusiform ansehen sondern als keulig.


    Dann wäre ich bei Schlüsselpunkt 10.


    10a) Stipe usually with conspicuous longitudinal fibrils and/or squamules. Hooks on the pleurocystidia predominantly entire = P. cervinus

    10b) Stipe usually without conspicuous longitudinal fibrils and/or squamules. Hooks on the pleurocystidia predominantly bifid = P. hongoi


    Hier stehe ich ein wenig auf dem Schlauch. Was heißt denn "Hooks on the pleurocystidia predominantly entire"? "Hooks on the pleurocystidia predominantly bifid" hätte ich jetzt vermutet, dass die meisten Pleuros zwei Haken haben? Ist das richtig?

    Viele haben durchaus zwei Haken, aber es gibt auch diverse mit 3 Haken.


    Dann käme ich hier mit Ächzen und Würgen also bei P. cervinus raus, der mal 'ne Schnalle gebildet hat.


    Vergleiche ich nun mit dem Ludwig so beschreibt er eine Varietät von P. cervinus namens P. cervinus var. albus:

    Gut würde dort das hier passen:

    "Metuloiden dicht an die LS. heranreichend und diese teilw. sogar überragend". Wenn der Hut auch silbrig-grau sein darf, statt reinweiß würde mir das gut gefallen.


    Wie seht ihr das?


    LG.

    Posts sind nicht als Essensfreigabe zu verstehen. :-]
    93 Chibs - APR-Gebühr 2024 = 83 Chibs

    • Offizieller Beitrag

    MoinMoin!


    Ich habe bestimmungstechnisch hierzu nichts beizutragen.

    Aber ein kleiner Hinweis zum letzten Bild im Startbeitrag: Eine Schnalle kann ich da nicht erkennen. Das sieht vielmehr aus wie eine Hyphe, die sich kurz vor dem Septum verzweigen möchte. Solche Auswüchse an einer Zelle direkt am Septum zur nachbarzelle können gerne mal eine Schnalle vorgaukeln, die aber gar keine ist.

    Was so einer der Gründe sein dürfte, warum "eine Schnalle" ebenso zu behandeln ist wie "eine Spore" (also für morphologische Bestimmungen zu ignorieren ist).



    LG; Pablo.

  • Hi!

    Das deckt sich ja mit dem was ich oben gemeint habe.


    Grüße Harald

    Ja, du hast den wohl intuitiv gleich richtig benannt im Gegensatz zu mir. :)


    Sehr hilfreich ist aber auch der Kommentar von Pablo. Weil, wenn die vermeintliche Schnalle gar keine Schnalle ist, wird's, zumindest mit dem verwendeten Schlüssel und sofern ich die komischen Formulierungen im 10. Schlüsselpunkt richtig kapiert habe, doch eigentlich ohne große Probleme auf P. cervinus hinauslaufen. Ob's dann sogar die von Ludwig erwähnte Varietät ist, ist mir eigentlich gar nicht so wichtig. Das Epithet freut mich schon ausreichend. In diesem Sinne herzlichen Dank an alle Helfer.


    LG,

    Schupfi

    Posts sind nicht als Essensfreigabe zu verstehen. :-]
    93 Chibs - APR-Gebühr 2024 = 83 Chibs

  • Hallo Schupfi,


    >>Hooks on the pleurocystidia predominantly bifid = P. hongoi <<


    Weil ich den Satz auch nicht verstanden habe und das Epithet hongoi nicht kenne, habe ich eben einfach mal nach Bildern gegoogelt, und da werden Zystiden abgebildet, bei denen jeder der 3 Haken sich selbst wieder in 2 Spitzen verzweigt.


    Das mit der Schnalle sehe ich wie Pablo.


    Insofern kommst Du mit dem Schlüssel doch zu einem klaren Ergebnis.


    Gruß,

    Wolfgang

  • Hi Wolfgang,


    aha! Ja, das einfach zu googeln wäre natürlich die logische Version gewesen. Manchmal kommt man nicht auf die naheliegende Lösung, wenn man ohnehin schon diverse Bücher und Dokumente offen hat und einem der Kopf schwirrt. Aber so ergibt das natürlich mehr Sinn und ich habe mir die Bilder jetzt auch nochmal angeschaut, so sahen meine Pleuros nicht aus.


    Danke dir. Ich nenne den Pilz jetzt Rehbrauner Dachpilz. Und nehme zukünftig vlt. doch noch mal welche aus der Ecke mit, jetzt wo ich den Schlüssel einigermaßen verstanden habe und für Pseudoschnallen sensibilisiert wurde. :)

    Versuchsobjekte habe ich ja genug in meinem Auwald.


    LG,

    Schupfi

    Posts sind nicht als Essensfreigabe zu verstehen. :-]
    93 Chibs - APR-Gebühr 2024 = 83 Chibs

  • Schupfnudel

    Hat den Titel des Themas von „Ich schnall's nicht - Pluteus“ zu „Ich schnall's nicht - Pluteus --> Pluteus cervinus (var. albus)“ geändert.