Hallo,
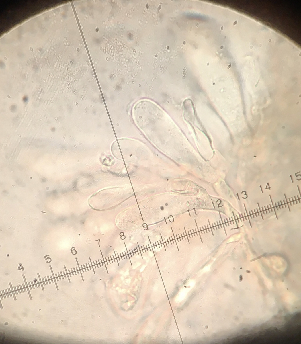
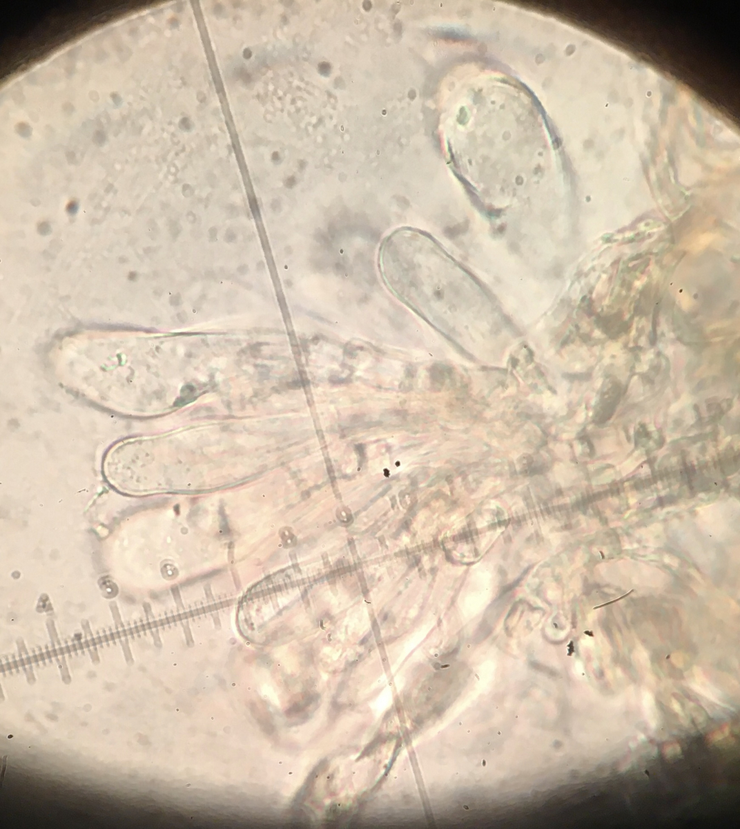
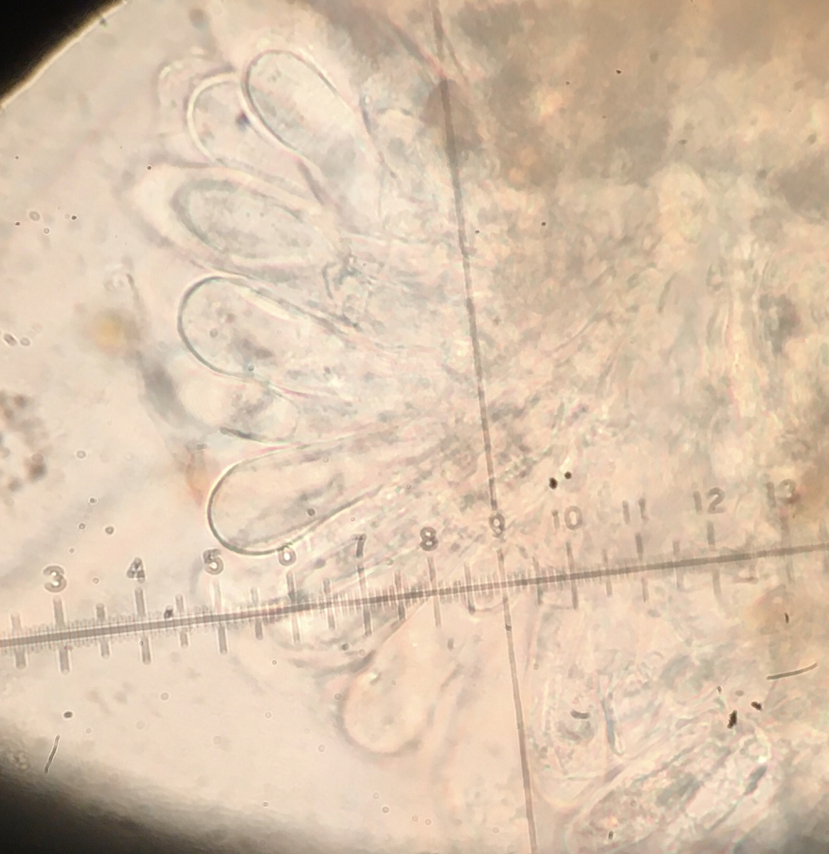
heute fand ich am Wegrand eine Inocybe mit ca. 2,5 cm Durchmesser, die bei Fagus wuchs. Der Geruch ist für mich schwer definierbar, irgendwie chemisch-würzig. Die Sporen messen 9-11 x 5-6, die Zystiden sind teilweise geteilt und messen bei der dicksten Stelle 12.
Kann mir hier jemand bei der Bestimmung helfen?
LG
romana
