Rötling - E. plebejum?

Es gibt 10 Antworten in diesem Thema, welches 3.117 mal aufgerufen wurde. Der letzte Beitrag () ist von Nosozia.

  • Hallo Zusammen,


    diese Rötlinge habe ich auf der Erde zwischen Sträuchern und Laubbäumen gefunden.


    Hut: 3 - 5 cm, feinfaserig, trocken

    Stiel: 3 - 4,5 x 0,5 - 0,7 cm; hell von der Basis her leicht bräunlich, längsfaserig, zur Basis verjüngend und direkt an der Basis teileise wieder etwas verdickt

    Lamellen: breit angewachen teilweise mit Zahn herablaufend

    Geruch: neutral - nur beim Quetschen leicht mehlig

    Zystiden: keine gefunden

    HDS: wenige Schnallen; teilweise intrazellulär Pigmentiert

    Stielfleisch Guajak negativ




    SPP: rosa - Hut abgetrocknet


    HDS in Kongorot (NH3): intrazellulär Pigmentiert


    und teilweise mit Schnallen


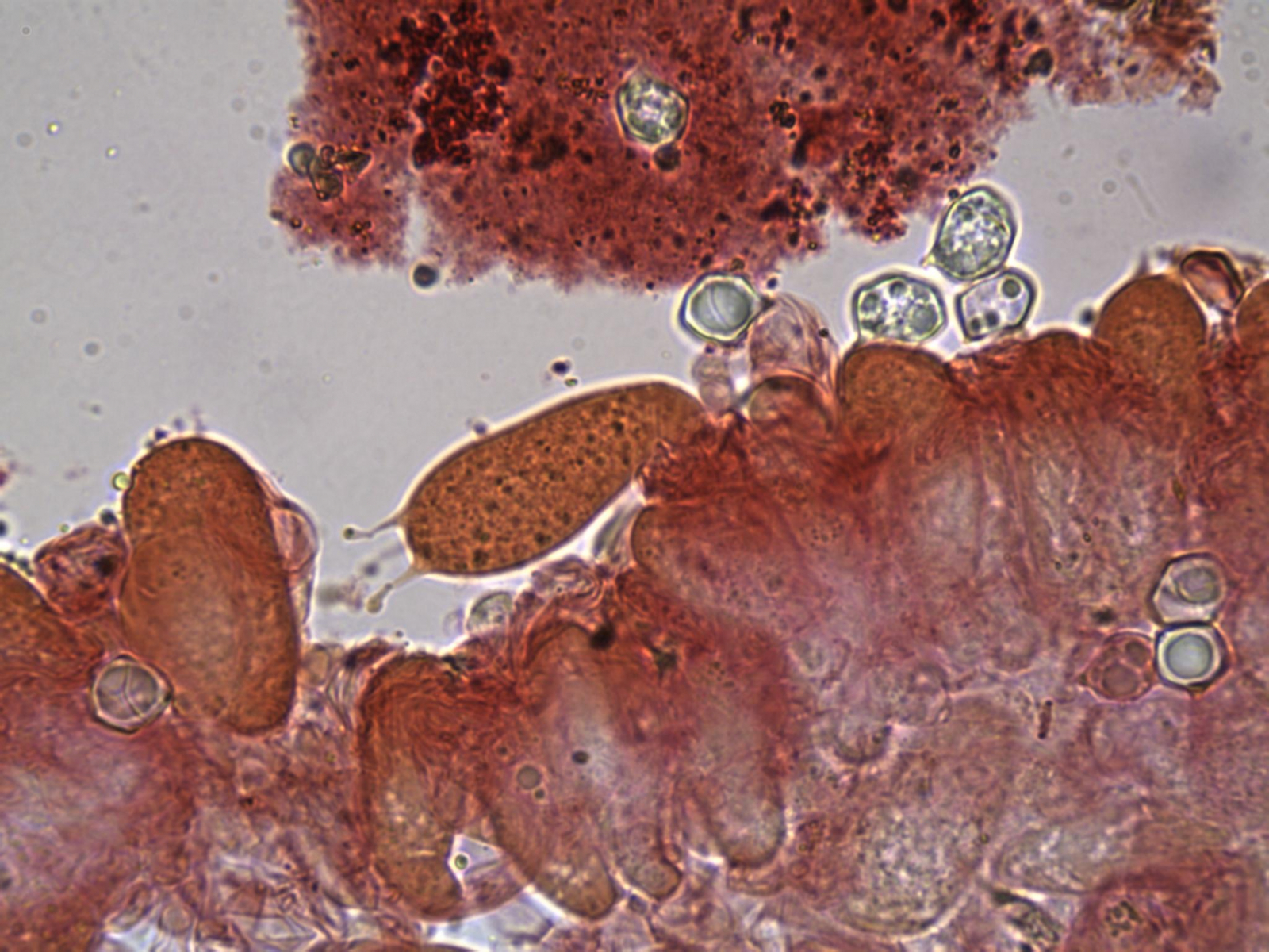
    Basidien: 4 sporig


    Sporen in Wasser:


    Alles deutet auf E. plebejum hin, bis auf die Sporenform. Die sieht für mich eher 5-7 eckig aus und weniger wellig als angegeben.

    Was denkt ihr?


    Gruß Nosozia

  • Hallo Werner,


    das wäre die Alternative. Da passen die Sporen besser. Nur sollte hier der Geruch deutlich ranzig-mehlig sein.

    Da ich den Schildrötling noch nie gefunden habe, weiß ich nicht, wie der Geruch sich wirklich verhält.

    Und ich dachte, der wäre etwas stabiler - also mit dickerem Stiel.


    Gruß Nosozia

    Frei nach dem Stenkelfeld Motto: Pilze braten - Symptome raten!

  • Hallo Nosozia,


    beim Schildrötling bin ich bei meinem Erstfund auch verzweifelt. Die wollten einfach nicht mehlig riechen. Da war das Wetter übrigens auch sehr nass.


    VG Jörg

  • Hallo Schupfnudel,


    erwischt! Ich habe nicht genau hingesehen.

    Aber dort gibt es Buchen, Ahorn, Kastanien, Kirschen und Eichen. Aber auch irgendwas mit Dornen. Könnte ein Rosengewächs gewesen sein.


    Gruß Nosozia

    Frei nach dem Stenkelfeld Motto: Pilze braten - Symptome raten!

  • Also ich habe mir nochmal die Sporen angesehen und es läuft dann wohl alles auf einen etwas schmächtigen, wenig mehligriechenden Schildrötling raus.


    Sporen in Wasser: Me = 9.4 × 8.2 µm ; Qe = 1.1

    (8.5) 8.7 - 9.9 (10.7) × (7.3) 7.6 - 9 (9.6) µm; Q = (1) 1.1 - 1.2 (1.3) ; N = 30



    Gruß Nosozia

  • Hat jemand schon die schlanke Varietät gesehen?

    Entoloma clypeatum var. hybridum (Romagn.) Noordel.


    Gruß Nosozia

    Frei nach dem Stenkelfeld Motto: Pilze braten - Symptome raten!

  • Hallo Nosozia


    R. plebejum ist das sicher nicht mit diesen Sporen.

    E. clypeatum kann gut sein, sogar sehr wahrscheinlich.

    Den Geruch nimmt man am ehesten wahr, wenn man den FK halbiert. Dann entweder zerreiben oder eine halbe Stunde in eine luftdichte Dose tun, öffnen und sofort dran schnüffeln. Gestern habe ich E. saepium gefunden, da kam der Mehlgeruch auch erst dieser Behandlung.


    Gruss Raphael

  • Entoloma aprile fällt wohl wegen der negativen Guajak-Reaktion auch aus. Müsste nach 10min blaugrün werden und hätte wohl auch einen stärker gestreiften Hut. Sporen und Spitzbuckel würden sonst auch gut dahin passen.


    So bleibt wohl clypeatum. Ich hatte Clypeatum neulich auf dem Kinderspielplatz bei Felsenbirne. War noch heller und etwas flacher (was aber gar nichts heißen muss).



    Gruß Sebastian

  • Super - ja ich denke es bleibt bei E. clypeatum.

    Entoloma clypeatum var. hybridum soll auch Guajak positiv sein und fällt damit weg.


    Vielleicht sollte ich mal ein Stück unter unsere Felsenbirne im Garten werfen :/ und sehen was passiert.


    Gruß Nosozia

    Frei nach dem Stenkelfeld Motto: Pilze braten - Symptome raten!