Sporen von Gyromitra ancilis

Es gibt 6 Antworten in diesem Thema, welches 3.407 mal aufgerufen wurde. Der letzte Beitrag () ist von Sebastian_RLP.

  • Hallo zusammen,


    Im Moment tauchen ja einige Threads mit Scheibenlorcheln hier auf. Ich verfolge mit Interesse den Diskurs über die Sporenentwicklung in Abhängigkeit des Reifestadiums und die Bemühungen und Schwierigkeiten rund um den Artkomplex. Sehr spannend.


    Ich habe die Tage auch mehrere Gyromitra ancilis gefunden, wie ich meine. Mikroskopiert habe ich nämlich in der Tat nur einen der Funde (aus Zeitgründen).


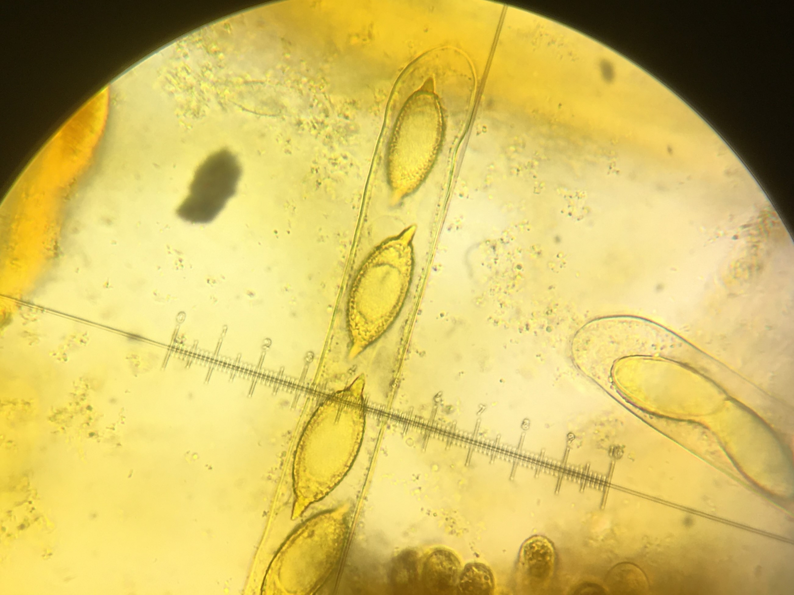
    Die Anhängsel ließen sich hier problemlos darstellen. Interessant war noch etwas anderes. Nicht wenige Sporen hatten eine Art Hülle. Das habe ich so noch nicht bewusst wahrgenommen sonst. Hat jemand eine Idee zu diesem Phänomen und kann mich aufklären.


    Die Sporen hatten ohne Anhängsel 27x13ym. Sie zeigten sich in Melzer zart rauh bei 1000mm.


    Hier noch weitere Eindrücke von den Funden



    Die weiteren unmikroskopierten FK aus einer Fichtenschonung:



    LG Sebastian

  • Servus Sebastian, schöne Bilder und Gratulation dass du gleich auf Anhieb Sporen finden konntest;) Das Phänomen der feinen Hülle konnte ich bei meinen Sporen nicht feststellen. Es sieht aber sehr schick aus! Interessant ist dass zwischen Hülle und Wand absolut nichts zu sehen ist, man kann ja einfach durchschauen auf den Hintergrund. Färbt sich da mit Melzer oä. was an im „Zwischenraum“? Ich stell mal die Theorie auf dass die Sporen vielleicht doppelwandig sind und dann möglicherweise durch ein hypotones Medium Wasser einlagern? Denn im Ascus ist diese Hülle ja noch nicht vorhanden und sie sieht schon ziemlich „prall“ aus. VG Ogni

  • Hallo zusammen,


    diese "Hülle" ist mir bei meinem Fund an den Sporen nicht aufgefallen. Hier ein paar Bilder von Gyromitra ancilis:



    Sporen gabs von diesen knackfrischen Fruchtkörpern natürlich keine. Einen großen alten hab ich daheim unter einer Schüssel 3 Tage bei Raumtemperatur nachreifen lassen und hatte Erfolg (und ersten Schimmelbefall). :)


    x1000(Öl) in Wasser



    x1000(Öl) in MELZER


    VG Thiemo

    Bestimmungen anhand von Fotos sind immer unter Vorbehalt und mit Restrisiko!

    Sichere Freigabe zum Verzehr können nur Pilzsachverständige vor Ort geben!

  • Hallo Sebastian,

    öffne doch einmal die Aperturblende deines Mikroskops und schaue dann, ob die "Hülle" noch vorhanden ist. Eine zu stark geschlossene Aperturblende kann Artefakte verursachen.

    FG

    Oehrling

    PSVs dürfen weder über I-Net noch übers Telefon Pilze zum Essen freigeben - da musst du schon mit deinem Pilz zum lokalen PSV!

  • Hallo zusammen,


    ogni volta: das die Hülle aufgetrieben ist, ist ein interessanter Gedanke. Andere Sporen haben das nicht so "prall" gezeigt.


    @ Stefan ... ein Artefakt kann ich ausschließen. Aperture stand auf 0,8 und die Hülle zeigte sich auch in anderer Form an weiteren Sporen.



    LG Sebastian

  • Hallo,


    viele Ascomyceten, vor allem inoperculate (z.B. Sclerotiniaceae), haben so eine Hülle. Bereits im Ascus, aber da kann man sie meist schlecht wahrnehmen. Zotto nennt sowas "Schlupfhülle" und ist im Regelfall an frisch abgeschossenen Sporen am besten zu sehen.


    beste Grüße,

    Andreas