Hallo zusammen,
Im Moment tauchen ja einige Threads mit Scheibenlorcheln hier auf. Ich verfolge mit Interesse den Diskurs über die Sporenentwicklung in Abhängigkeit des Reifestadiums und die Bemühungen und Schwierigkeiten rund um den Artkomplex. Sehr spannend.
Ich habe die Tage auch mehrere Gyromitra ancilis gefunden, wie ich meine. Mikroskopiert habe ich nämlich in der Tat nur einen der Funde (aus Zeitgründen).
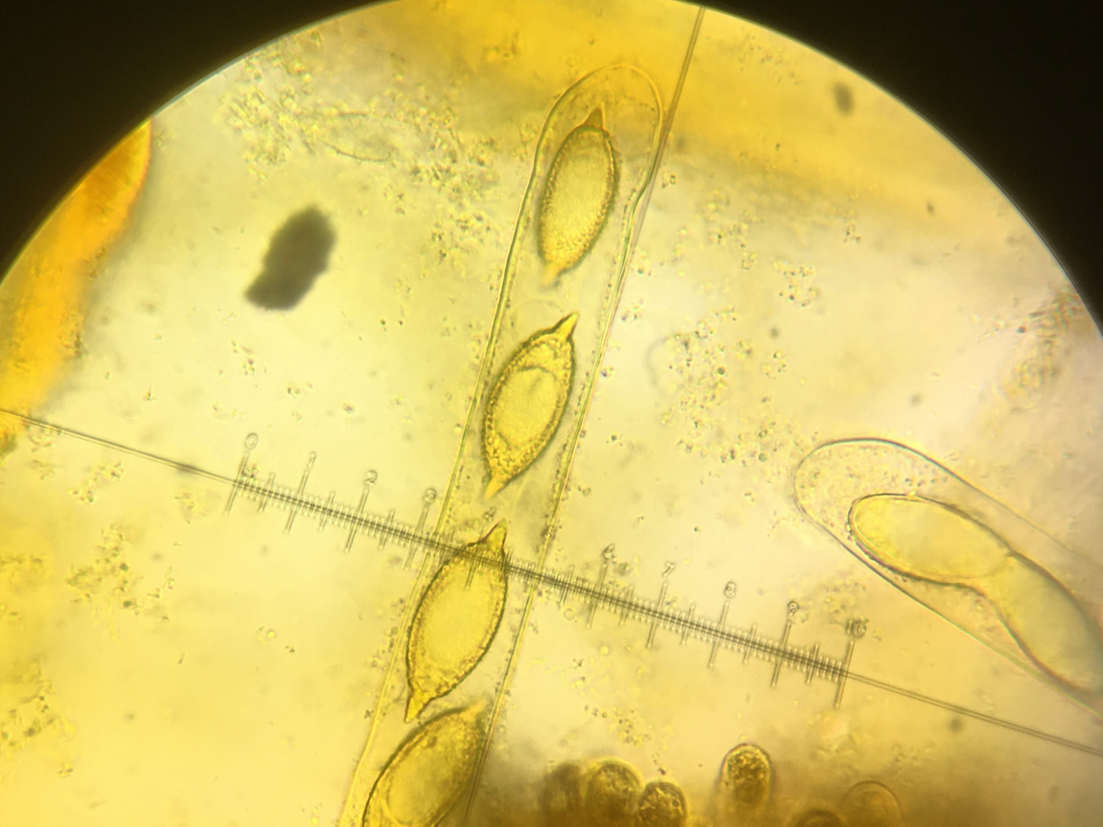
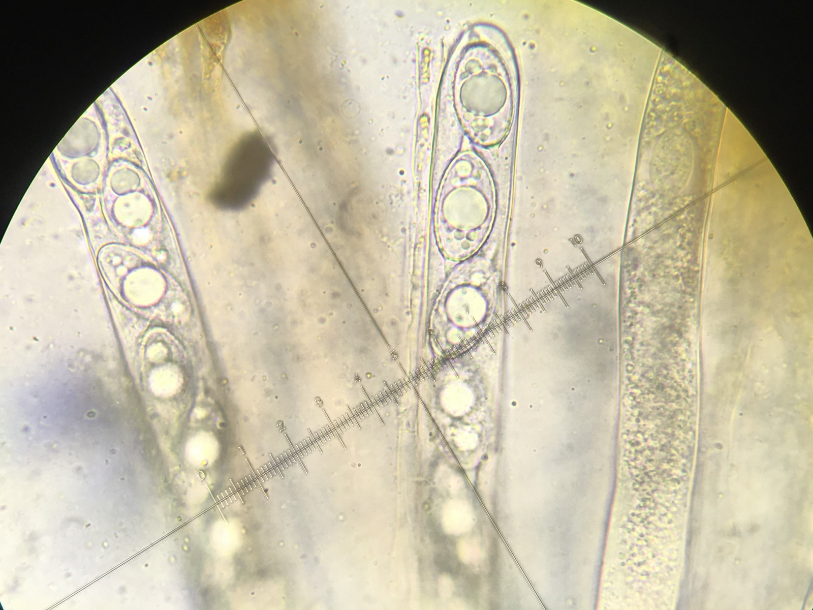
Die Anhängsel ließen sich hier problemlos darstellen. Interessant war noch etwas anderes. Nicht wenige Sporen hatten eine Art Hülle. Das habe ich so noch nicht bewusst wahrgenommen sonst. Hat jemand eine Idee zu diesem Phänomen und kann mich aufklären.
Die Sporen hatten ohne Anhängsel 27x13ym. Sie zeigten sich in Melzer zart rauh bei 1000mm.
Hier noch weitere Eindrücke von den Funden
Die weiteren unmikroskopierten FK aus einer Fichtenschonung:
LG Sebastian
