irgendwas vom Reh
- Hagen Graebner
- Erledigt
Es gibt 2 Antworten in diesem Thema, welches 1.546 mal aufgerufen wurde. Der letzte Beitrag () ist von Hagen Graebner.
-
-
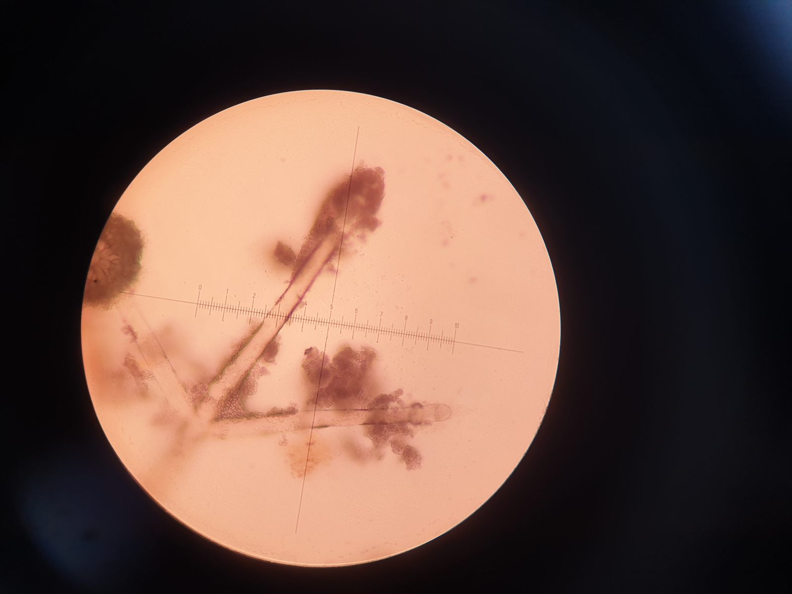
Viel sieht man da leider nicht, Hagen.
Und die Maße verrätst Du uns leider auch nicht.

Aber vielleicht geht es ja in Richtung Rhopalomyces?
LG, Nobi
-
Maße sind überbewertet
Das war in 400 fach - sind noch genug da - ich messe morgen mal . 
