Sirobasidium albidum

Es gibt 13 Antworten in diesem Thema, welches 7.770 mal aufgerufen wurde. Der letzte Beitrag () ist von boccaccio.

  • Hallo zusammen,


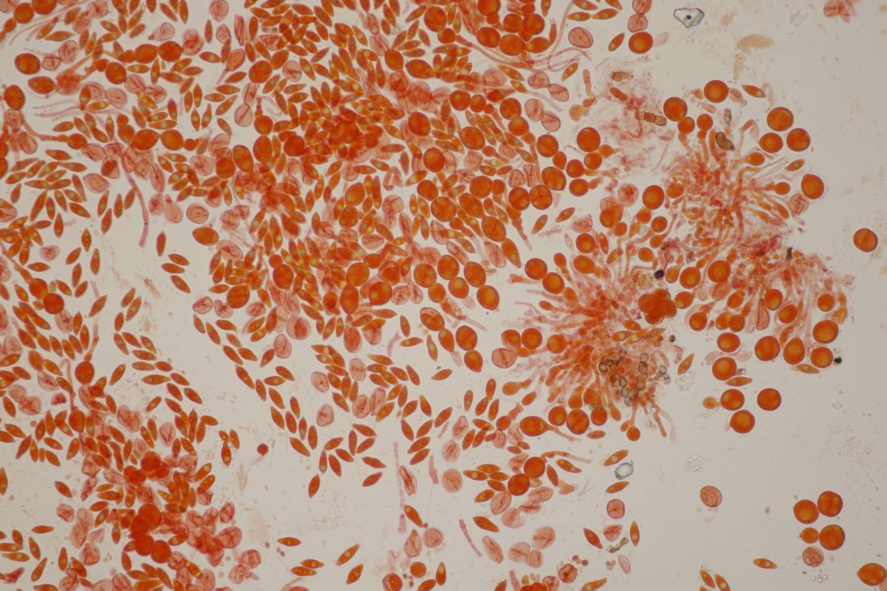
    vor ein paar Tagen hatte Ralf G. auf Facebook kleine, weiße Glibberpunkte auf einem Holzstückchen präsentiert, die er in Viersen auf der Süchtelner Höhe gefunden hatte und bei denen er im Mikroskop nur Sporen über Sporen gesehen hat. Ich hatte ihm angeboten, daß er mir das gute Stück gerne mal übergeben kann, was er dann auch bei der gemeinsamen Exkursion in Mönchengladbach am Sonntag tat. Mit dem Mikroskop zeigte sich dann schnell, daß er hier (mal wieder) einen absoluten Glücksgriff getätigt hat, denn es handelt sich um Sirobasidium albidum, einen Heterobasidiomyceten, bei dem die runden Basidien in Ketten gebildet werden, was unterm Mikro sehr hübsch aussieht. Dazu kommt noch, daß der Pilz bis jetzt in Deutschland erst dreimal nachgewiesen wurde. Das ist aber nicht verwunderlich, weil so kleine Pilze, die bei Trockenheit bis zu Unkenntlichkeit zusammenschrumpeln natürlich schnell übersehen sind.


    Jetzt aber genug der Worte und ein paar Fotos des tollen Fundes:



    Björn

  • Hallo Björn,


    schöner Fund von Ralf G. und sehr schön von dir Mikroskopiert :)

    Ein Sirobasidium steht ganz oben (wie so vieles andere) auf meiner Wunschliste.


    VG : Thorben

  • Hallo Thorben,


    als Ralf bei FB seine Mikrofotos gezeigt hatte, habe ich aus gutem Grund sofort hier geschrien. So ein Sirobasidium macht schon was her und ich glaube, daß ich selber nie die Geduld hätte, um so etwas alleine zu finden.


    Björn

  • Hallo Björn,


    so etwas findet man auch nur zufällig und dann muss es auch noch feucht sein.

    Hast du davon einen Beleg aufbewahrt ?


    VG : Thorben

  • Hallo Ralf,


    das glaube ich, dass du sie wieder gefunden hast :)

    Aber man sollte immer Mikroskopieren, denn vielleicht ist es auch die Sirobasidium brefeldianum.


    VG : Thorben

  • Hi Thorben,


    das mit dem Mikro hab ich schon öfter gehört.. ^^


    ..und von S. brefeldianum hab ich vorhin auch irgendwas gelesen (sehr schade, dass die wie so viele nicht unverwechselbar sind)..


    Doof ist halt, wenn man die Bilder wie ich nicht unbedingt interpretieren kann. Aber ich denke ich werds mit diesem Ästchen trotzdem nochmal versuchen. Was Björn da an Bildern rausgekriegt hat ist schon der Hammer..


    LG, Ralf

  • Hallo Ralf,

    Doof ist halt, wenn man die Bilder wie ich nicht unbedingt interpretieren kann. Aber ich denke ich werds mit diesem Ästchen trotzdem nochmal versuchen. Was Björn da an Bildern rausgekriegt hat ist schon der Hammer..

    Verstehe ich das richtig du hast ein Mikroskop, aber du weißt nicht wie du die beiden Arten S. albidum und S. brefeldianum unterscheiden sollst ?

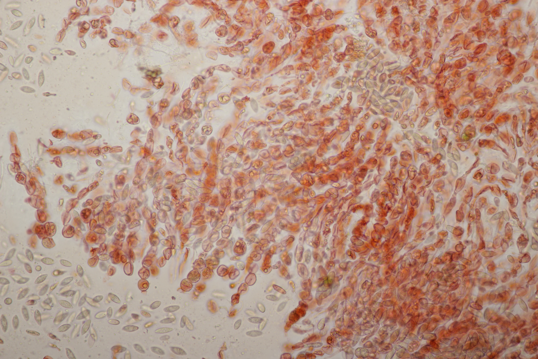
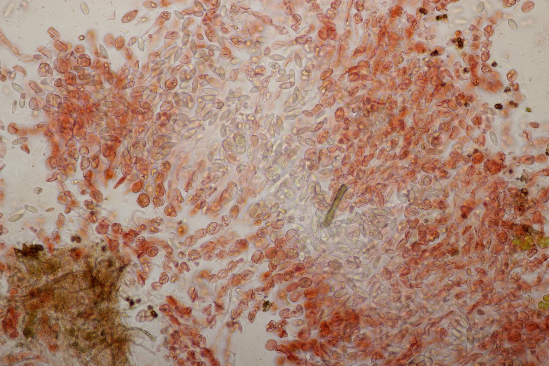
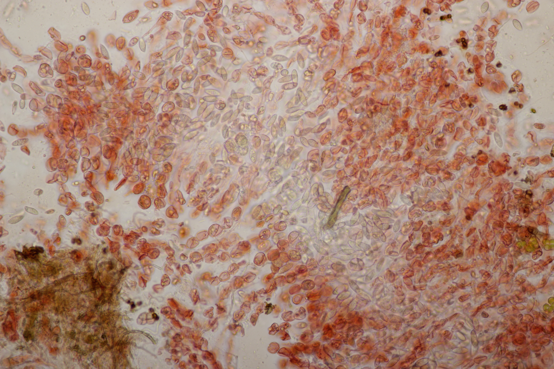
    Wenn das so sein sollte, dann schaue dir bitte hier die Abb. 6 an. Die "Sporen" (=Epibasidien) spielen bei der Unterscheidung keine Rolle.

    Es sei denn deine Epibasiden sind nicht ellipsenförmig, dann spielen sie wieder eine Rolle ;)


    VG : Thorben

  • Hallo zusammen,


    du kannst ja mal reinschauen, Ralf. Ansonsten einfach trocknen und gut aufheben. Da hätte ich sowieso nichts gegen, weil ich dann noch mal bessere Bilder von dem Pilz machen kann. Das da oben vom letzten Jahr ist sicher noch nicht das Optimum.


    Björn

  • ...Verstehe ich das richtig du hast ein Mikroskop, aber du weißt nicht wie du die beiden Arten S. albidum und S. brefeldianum unterscheiden sollst ?

    Wenn das so sein sollte, dann schaue dir bitte hier die Abb. 6 an. Die "Sporen" (=Epibasidien) spielen bei der Unterscheidung keine Rolle.

    Es sei denn deine Epibasiden sind nicht ellipsenförmig, dann spielen sie wieder eine Rolle ;)


    VG : Thorben

    Hi Thorben,


    korrekt, ich weiß es nicht.. ^^


    Vielen Dank für deinen Link. Ich werd mal versuchen, daraus schlau zu werden. In Sachen Mikro bin ich generell noch nicht bewandert. Ich sträub mich da ein bisschen, weil mir das einfach nicht so viel Spaß macht wie Pilze zu fotografieren. Aber ich versuch mich da gaaanz langsam anzunähern.. :)


    LG, Ralf

  • Hallo zusammen,


    du kannst ja mal reinschauen, Ralf. Ansonsten einfach trocknen und gut aufheben. Da hätte ich sowieso nichts gegen, weil ich dann noch mal bessere Bilder von dem Pilz machen kann. Das da oben vom letzten Jahr ist sicher noch nicht das Optimum.


    Björn

    Hi Björn,


    Den heb ich dir auf jeden Fall auf (wenn er heut nicht durch den Wind vom Balkon geweht wird).. :)


    Irgendwann werden wir uns ja hoffentlich auch wieder treffen dürfen..


    LG, Ralf

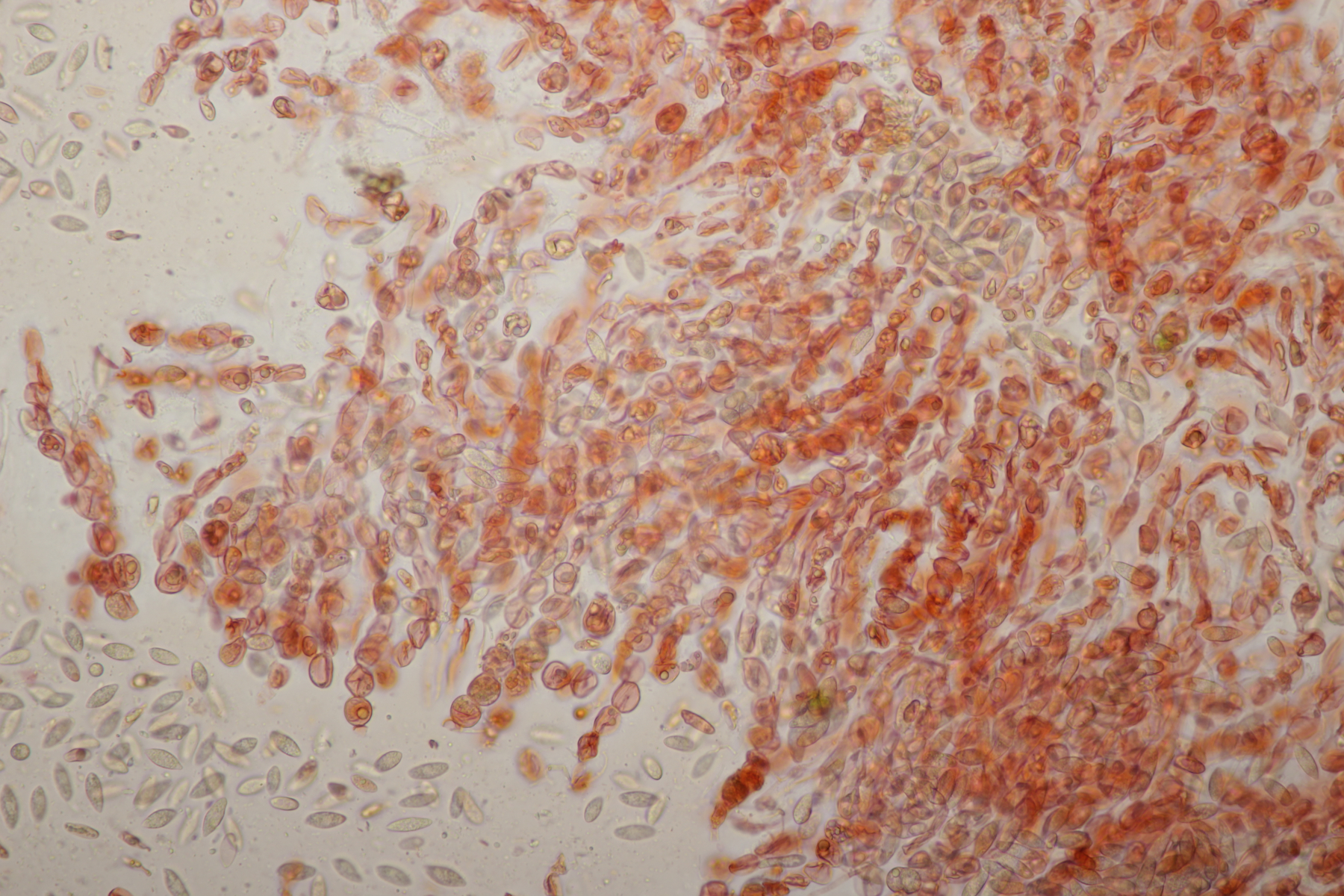
  • Hallo zusammen,


    da Ralf und ich uns seit seinem letzten Sirobasidium-Fund immer noch nicht wieder bei Exkursionen getroffen haben, hat er mir den Ast jetzt einfach per Post zugeschickt. Der Fund ist dann natürlich auch direkt unters Mikroskop gewandert und ich denke, daß ich diesmal Bilder machen konnte, die etwas zufriedenstellender als die von 2020 sind.



    Björn