Hallo liebe Pilzfreunde,
gerade fünf Tage war es her als an der gleichen Fundstelle jede Menge R. velutipes hier standen.
Und was soll ich euch sagen... diesen hielt ich bis zur genaueren Untersuchung zu Hause auch für einen, packte ihn also ein, war froh über den Fund und die Hutfarben bei Täublingen sind ja immer so eine Sache. Dazu hatte er auch noch überflüssigerweise nach dem Sporenpulverabwurf auch Ib und schmeckte mild, nur die Chemie und die Mikroskopie sagten mir dann was anderes. ![]()
Die Funddaten zum Pilz:
R20-011 vesca - Fleischroter Speisetäubling
05.07.2020 - 14:38
Standort: Rhön
Eingestuft - Name: velutipes
Anz. Exemplare: 5
Haupt Baumpopulation: Bu+Fi
--------
FUNDORT, Mischwald, Laubwald, Nadelwald, Laubschicht, trocken, Kollin 440 m,
BÄUME 20m UMKREIS, Buche (Fagus), Eiche (Quercus), Fichte (Picea),
EXEMPLARE, jung, mittel, gesellig,
HUT GRÖSSE, 4 - 6 cm,
HUT FARBE, rosa/rot, braun/grau, gefleckt,
HUT OBERFLÄCHE, gedrückt/vertieft, matt,
PEELING, 1/2 abziehbar,
UNTER HUTHAUT, durchgefärbt, rötlich, bräunlich,
--------
LAMELLEN, spröde, weiss bis creme, Y-gabelig, queradrig,
--------
STIEL OBERFLÄCHE, weisslich/creme, ockerlich/bräunlich, fleckend, runzelig/geriffelt,
STIEL KONSISTENZ, fest, voll, wattig,
--------
GERUCH, neutral,
GESCHMACK, mild, verzögert, leicht bitter
SpP Farbe: Ib
FeSo4: neg, schwach bräunlich nach Zeit
Guajak: pos 2sec, +++
Phenol: neg
KOH Stielbasis: neg
SV: neg
NH3:
Sonst. Angaben:
1) die Fundstelle, links ältere Fichtenparzelle, rechts Buchenwald, alles ist schon eingepackt...
2) zwischen Laub und Fichtennadeln gut getarnt gewachsen
3) beim Freilegen kamen noch weitere zum Vorschein
4) Lamellen engstehend und creme-ockerfarben, in Stielnähe gegabelt
5) der Stiel fest und leider abgebrochen, die Verfärbung unklar
6) die Huthaut bis 1/2 abziehbar und darunter rötlich-braun
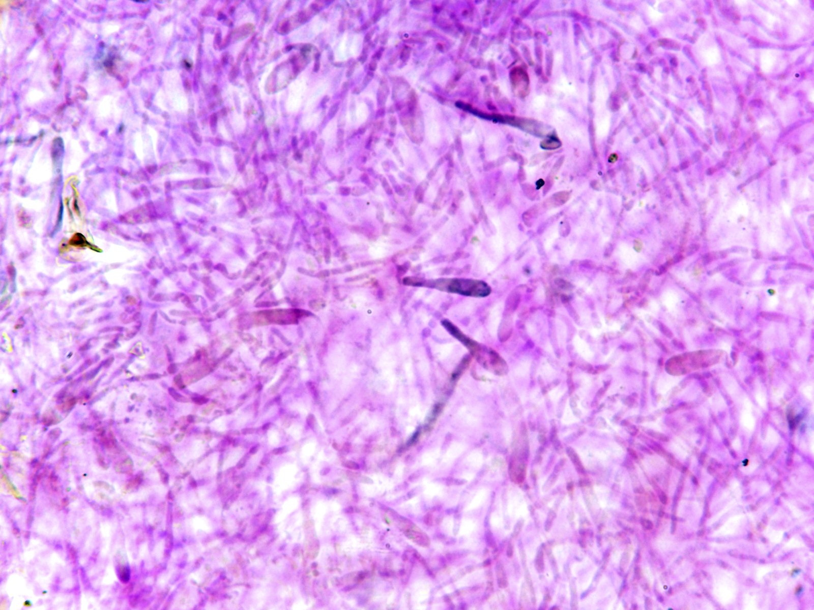
7) in SV nicht sehr viel aber gut angefärbte Pileozystiden zu erkennen
8) in Kongo sind die Zystiden nur schwer zu erkennen und gegenüber den Haaren zu unterscheiden
9) Kongo, spätestens hier bei Sichtung der "Crins" ist klar: das ist so gut wie R. vesca
10) die Sporenform überwiegend oval, das Ornament kaum bis 0,5mü hoch
11) Sporen grösstenteils isoliert mit einzelnen Verbindungen, insgesamt sehr schwach amyloid
12) Messprotokoll der ansonst doch sehr kleinen Sporen
Fazit:
den hätte ich besser gegessen als mikroskopiert, aber auch eine Russula vesca hat nicht immer eine zurückgezogene Huthaut und ist dadurch als solche zu erkennen.
Liebe Grüsse und bis bald...
claus
