gelber Rindenpilz
- romana
- Erledigt
Es gibt 12 Antworten in diesem Thema, welches 6.351 mal aufgerufen wurde. Der letzte Beitrag () ist von romana.
-
-
Hallo
Trichoderma sulphureum hab vor 1 Jahr gefunden und nach ähnliche Kandidaten googelt , bin nach Gloiothele citrina getroffen , den ist an dein Fund ähnlich , ob passt ?
LG
-
Hallo beli,
danke für deine Antwort! Teichoderma citrinum schließe ich hier aus, der Pilz hat nicht diese Punkte und ist nicht so fest. Mit Gloiothele citrinum hab ich auch schon verglichen, soll eher auf Nadelholz vorkommen. Ich werde den Pilz bei Gelegenheit mikroskopieren, da hätte ich schon gerne einen Namen.
LG
romana
-
Hallo, Romana!
Hübsch, aber den Namen gibt es trotzdem wohl erst nach dem Mikroskopieren.

Eine Trichoderma / Hypocrea ist das sicherlich nicht, das ist schon ein Basidiomycet.
Gloiothele citrina muss zwar nicht ausschließelich an Nadelholz vorkommen, aber ich kenne die Art im Aussehen schon ein wenig anders. Hier scheinen die Fruchtkörper eher nicht wachsartig, sondern mehr ledrig / wattig zu sein, stimmt das?Ui, und ist das ok, wenn ich das Thema in die Baumpilz - Spezialabteilung veschiebe?
Da geht es nicht so rasch unter, und wir finden es bei bedarf wieder?LG; Pablo.
-
Hallo
Klar das Trichoderma sulphureum kommt nicht in frage , ich hab geschrieben das bei mein Unbekanntes Fund ( später als T. sulphureum Mikroskopisch bestimmen ) Bestimmung ich habe durch googelt an Gloiothele citrina getroffen , den ist an Romanas Fund ähnlich ( nicht T. sulphureum ) und durch Rumänische Mykowebsite auch kann an Laubholz wachsen
LG
-
Hallo Pablo,
natürlich darfst du das Thema verschieben! ich vergesse immer wieder, ins richtige unterforum zu posten...
ja, der pilz ist eher wattig lederig. Schon klar, mikroskoppflichtig - ich hoffe ich komm heute Abend zum mikroskopieren.
LGromana
-
Beorn
Hat das Thema aus dem Forum Pilzbestimmung u. Bestimmungshilfe nach Porlinge und Rindenpilze verschoben. -
Hallo, Romana!
Ist verschoben, und ich bin schon mal gespannt, was der mikroskopisch so zu bieten hat.
LG; Pablo.
-
-
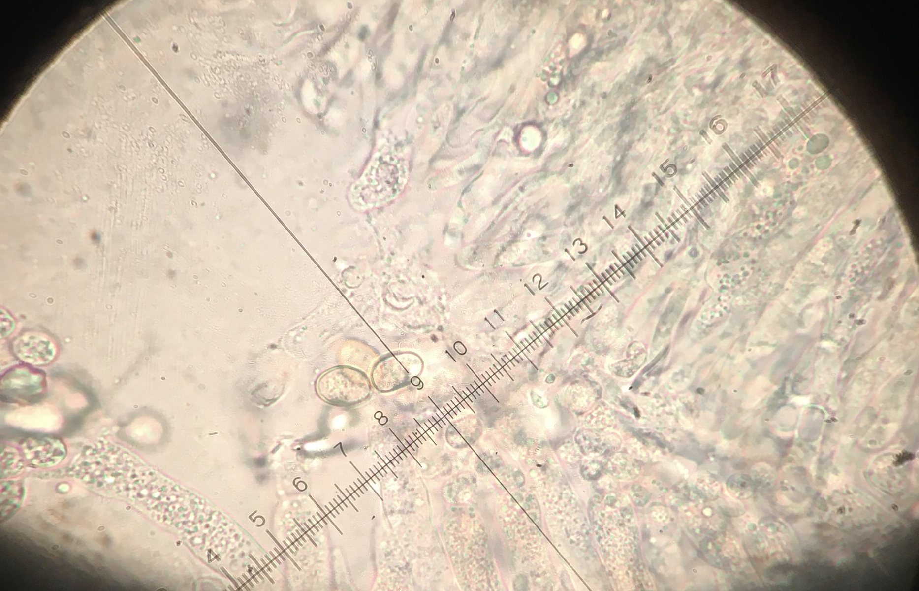
Hallo, Romana!
Eben hatte ich kurz den Verdacht, daß die Sporen mittig im letzten Bild Fremdsporen sein könnten.
Die sind ja etwas pigmentiert, dazu auch leicht dickwandig. Allerdings: Wenn die dazu gehören, dann könnte das ein sehr junger Fruchtkörper einer Coniophora sein.
Dazu passen würden auch die inkrustierten Hyphen (keine Schnallen, oder?) und die tubulären Basidien.
Am besten mal ein Präparat in melzer machen, dann könnte man erkennen ob's da schon einzelne destrinoide Sporen gibt.Zum vergleich mal junge Fruchtkörper von Coniophora puteana, die wäre schon etwas weiter entwickelt als dein Fund, aber die Ähnlichkeit ist schon irgendwie gegeben.
LG, Pablo.
-
Hallo Pablo,
du dürftest recht haben - schon wieder Coniophora puteana... Den kenne ich schon aus diesem Wald, aber so gelb hab ich ihn noch nie gesehen. Er war überall auf den liegenden Stämmen zu finden, sehr schön anzusehen. Da werde ich wohl in nächster Zeit nochmals hingehen und schauen, ob er schon nach braun verfärbt.
Ich hänge die Mikrofotos an, weißt du vielleicht, zu welcher pilzgattung diese dreizipfelige Spore gehört? Die ist sehr interessant.
Vielen Dank fürs auf die Sprünge helfen!
LG
romana
-
Hallo Romana!
Diese Spore sieht makaber aus.

Ich würde jetzt vermuten daß das was Anamorphes ist, sieht jedenfalls nicht wie eine Asco- oder Basidiospore aus. Es gibt wohl Kernpilz - Anamorphen, die so oder so ähnlich aussehen können, aber davon habe ich leider keine Ahnung.
LG, Pablo.
-
-
Hallo Björn,
sehr spannend, das heißt da lag irgendwo ein Ästchen mit solchen Sporenlagern rum. Es ist anscheinend sehr oft so - je unscheinbarer ein Pilz, desto hübscher im Mikroskop. Die Mikrofotos in deinem Beitrag sind wirklich sehr gelungen und schön!
Danke jedenfalls, wieder was Neues gelernt!
LG
romana
