MAB-Exkursion Leyerbachtal 20.01.20 Teil 2

Es gibt 10 Antworten in diesem Thema, welches 12.512 mal aufgerufen wurde. Der letzte Beitrag () ist von boccaccio.

  • Hallo zusammen,


    weiter geht es mit dem zweiten Teil der MAB-Exkursion ins Leyerbachtal. Es folgen Ascomyceten und Schleimpilze.


    1. Ein Schleimpilz, den Jan-Arne auch mitgenommen hat. Sporengröße (9.0+-0.5) µm


    2. Hier hatte Jan-Arne nicht mal eine Idee, ob Asco- oder Basidiomycet. Ich hatte zwar auch etwas mitgenommen und reingelinst, aber es war weder erhellend, noch sah es hübsch aus.


    3. Der Schleimpilz hatte wohl eine schwere Kindheit...da ist bei der Fruchtkörperbildung scheinbar was schiefgelaufen.


    4. Den Schleimer hat Jan-Arne eingepackt.


    5. Ein unreifer Ascomycet auf Riesenbärenklaustängeln


    6. Noch ein Schleimpilz. Sporengröße (10.2+-0.8) µm


    7. Noch mal ein Ascomycet auf Riesenbärenklau. Sporengröße (12.9-15.1) µm x (4.5-5.4) µm


    8. Hier lande ich bei Trichia scabra. Sporengröße (10.8+-0.5) µm


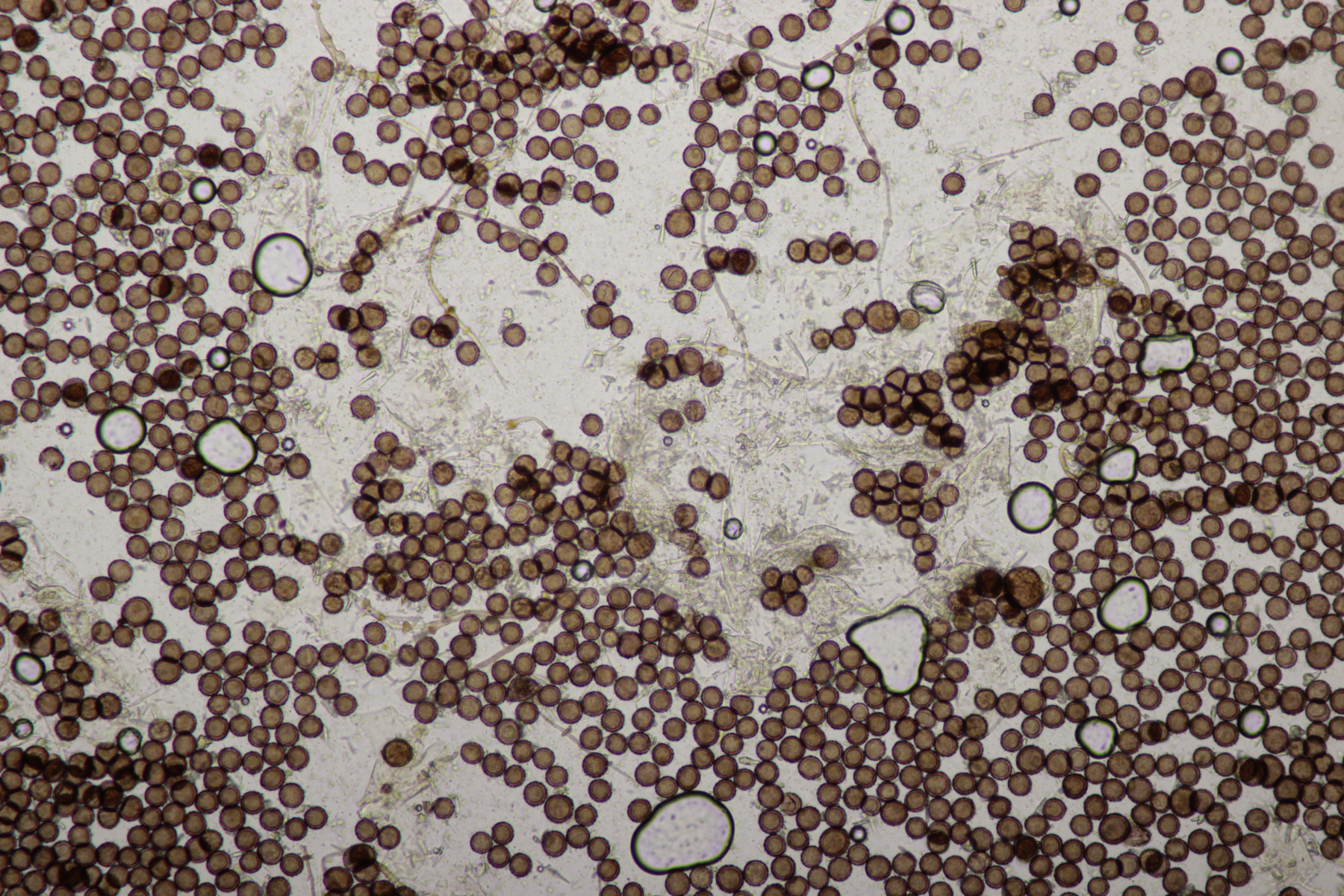
    9. Ein Ascomycet auf Efeublättern. Sporengröße (19-21) µm x (5-6) µm. Auf den Fotos sieht es teilweise so aus, als hätten die Sporen eine hyaline Hülle.


    Björn

  • Hallo Björn,


    dein Fund Nr. 7 hat gewissen Ähnlichkeiten mit dem Ascofrance-Fund hier.

    Deine Sporen scheinen auch einfach septiert zu sein, hattest du eventuell auch mehrfach septierte Sporen gesehen ?

    Hatten die Asci Haken ?

    Die letzte entscheidende Frage: Hast du einen Beleg angefertigt ?

    Du kannst auch mal Zotto anschreiben, vielleicht hat dieser eine Idee zu deinem Fund.


    VG : Thorben

  • Hallo Björn,

    ich möchte zwar Jan-Arne nicht vorgreifen, da er die Belege ja mitgenommen hat und sicher auch auf ein Ergebnis gekommen ist, aber hier meine Vermutungen:

    Beim 1. Schleimi würde ich an Didymium squamulosum denken. Man sieht auf Deinem Foto gut die weißen Stiele und auf dem letzten Foto der Art die typischen Capillitium-Fäden von einer Didymium-Art. Sporengröße und Skulptur würden auch passen.

    Nr. 3: ist sicher auch eine Didymium-Art. Man sieht auf dem Mikrofoto, dass die Peridie braunfleckig ist. Das und das Vorkommen auf Moos könnte auf Didymium melanospermum zutreffen. Die Sporen sind ja leider gestört. Man sieht auch nicht ob die Fruchtkörper gestielt sind. Bei D. melanospermum müßten sie einen schwarzen Stiel haben.

    Nr. 4: sieht mir von der Wuchsform wie eine Badhamia aus. Mehr kann man leider nicht sagen.

    Nr. 6: scheint auch eine Didymium-Art zu sein. Auf den Mikrofotos sieht man Kalkkristalle und das Capillitium hat keine Kalkknoten.

    Der Stiel ist rötlich. Mit der Sporengröße gibt es ein paar Arten, die ebenfalls einen rötlichen Stiel haben. das muß man genauer untersuchen.

    Nr. 8 ist Trichia scabra. Die netzigen Sporen und das Capillitium sind typisch.

    LG Ulla

    • Offizieller Beitrag

    Hi Björn & Ulla,


    tolle Dokus!

    Und ich freue mich immer über deine Meinung, Ulla. :)


    1) Didymium squamulosum hatte ich bereits im Feld so angesprochen, aber zur Absicherung auch noch mal eingepackt. Passte ohne Zweifel.


    Zur 2 kann ich auch nicht viel sagen. Ich konnte zwar einige Strukturen erkennen (so etwas wie harz- oder kristallbesetzte Paraphysen/Zystiden/Haare und etwas baumartig Aufspaltendes), aber wirklich weiter kam ich damit nicht: Keine Sporen, keine Asci, keine Basidien. Wenn ich raten müsste, würde ich sagen, dass es irgendetwas Befallenes war und die "Bäume" ein Hyphomycet waren.


    Nummer 4 war für mich durch die Kombination aus vollends unverklumpten feinwarzigen Sporen mit leicht ovaler Form sowie Sporengröße (12,4-13,3 x 10,8-11,5 µm) und Capillitium-Form Badhamia panicea. Eine rotbraune Stielbasis, die die Art ja z. T. hat, konnte ich leider keine erkennen.


    LG, Jan-Arne

  • Hallo zusammen,


    erstmal wieder herzlichen Dank für eure zahlreichen Rückmeldungen zu den Funden. Was die Schleimpilze angeht, hattest du auch etwas von Nr. 6 mitgenommen Jan-Arne? Sonst würde ich dir da mein Material noch mal weiterreichen.


    Ich habe in der Zwischenzeit noch mal die beiden Ascomyceten genauer unter die Lupe genommen. Zunächst einmal die Nr. 7 vom Riesenbärenklau. Ingo W hatte bei FB nachgefragt, ob die Fruchtkörper Stiele haben. Das fällt mir etwas schwer zu sagen. Jung sind scheinbar extrem kurze Stiele vorhanden, die dann aber im Alter unter dem Fruchtkörper komplett verschwinden. Ich habe auch insgesamt 2 Sporen finden können, die zweifach septiert sind. Es sieht so aus, als wäre die Spore erst in der Mitte septiert und dann noch mal eine der beiden Hälften in deren Mitte septiert. Die Asci hatten Haken. Ich habe auch noch Material im Kühlschrank.


    Bei Nr. 9 wurde zwischenzeitlich bei FB Lambertella tetrica vorgeschlagen. Da Pilzler 13 gerne die Paraphysen sehen wollte, hier auch noch einige weitere Mikrobilder.

  • Hallo Björn!


    Interessantes Pilzlein, der Riesenbärenklaubewohner!

    Ich denke, dass der zu denen gehört, die Zotto im Verzeichnis Iridinia-Hyalocrotes abgespeichert hat. Andere Möglichkeiten wären Unguiculella und Hyalopeziza.

    Genau deine Art konnte ich nicht finden, aber da sind etliche Vermittelnde im VZ Iridinia dabei.

    Wie bei deinem Fund gibt es dort hemiamyloid reagierende Asci, durchsichtige Gelhüllen bei den Sporen, reif septierte Sporen und massive, spitz zulaufende Haare.

    Schätze, wenn du das wesentliche zusammenfassen könntest, dann würde sich Zotto auch darüber freuen.

    Der ähnlichste ist provisorisch benamt im Verzeichnis "mercurialis".


    Hier der Link ins Zotto-Verzeichnis:

    https://drive.google.com/drive/folders/0b5seyoekxxzheuxqrhzgrm1nn0e?tid=0b5seyoekxxzhyvzub0n1agy5ytg


    VG Ingo W

    ________________________________________________________________
    "Pilz nur von oben ist wie Käfer nur von unten"

    145-15 (Teilnahme APR 2023) = 130+3 (10. Platz) = 133+3 (Unbewusst-Phal) = 136+5 (Lupus-Wette-APR-Sieger=ü300) = 141+5 (GnE-Gewinnsteuer-APR23) = 146+7 (Phalplatz 1) = 153-20 (Teilnahme APR 2024) = 133+5 Honorar APR = 138+8 (APR-Treppchenwette 2.Pl.) = 146+4 (APR-Früh-Joker-Bonus 1.Pl.) = 150+15 (Phalprämierung 2. + 5. Pl) = 165-20 (Teilnahme APR 2025) = 145+4 (8. Pl. APR2025) = 149+3 (GnE-Prozent-Gewinnabstaube) = 152+9 (2.Platz Phalprämierung) = 161


    Link: Gnolmengalerie

    Link: Auflösung APR 2025

    Link: Nanzn 2025

    Link: APR 2025

    • Offizieller Beitrag

    Hi Björn,


    den Schleimer kannst du mir gerne weiterreichen. :)

    Sehen wir uns morgen?


    LG, Jan-Arne

  • Hallo zusammen,


    ich hatte die Nr. 7 gerade auch bei AscoFrance eingestellt, wo Zotto sie dann in Windeseile als Unguicularia/Naevia diaphana identifiziert hat. Ist bis dato in Deutschland wohl nur von einem Fund aus Mecklenburg-Vorpommern bekannt.


    Björn

  • Hi Björn!

    Na, dann hat ja das Verzeichnis sogar gepasst, das ich oben verlinkt habe.

    VG Ingo W

    ________________________________________________________________
    "Pilz nur von oben ist wie Käfer nur von unten"

    145-15 (Teilnahme APR 2023) = 130+3 (10. Platz) = 133+3 (Unbewusst-Phal) = 136+5 (Lupus-Wette-APR-Sieger=ü300) = 141+5 (GnE-Gewinnsteuer-APR23) = 146+7 (Phalplatz 1) = 153-20 (Teilnahme APR 2024) = 133+5 Honorar APR = 138+8 (APR-Treppchenwette 2.Pl.) = 146+4 (APR-Früh-Joker-Bonus 1.Pl.) = 150+15 (Phalprämierung 2. + 5. Pl) = 165-20 (Teilnahme APR 2025) = 145+4 (8. Pl. APR2025) = 149+3 (GnE-Prozent-Gewinnabstaube) = 152+9 (2.Platz Phalprämierung) = 161


    Link: Gnolmengalerie

    Link: Auflösung APR 2025

    Link: Nanzn 2025

    Link: APR 2025

  • Hallo zusammen,


    anbei auch noch mal ein paar Bilder von der vermeintlichen Lambertella tetrica. Die Sporen sind mittlerweile teilweise reif und braun gefärbt. Außerdem wimmelte es nur so von ganz hübschen oktaedrischen Kristallen.



    Björn