Etwas Klugscheißerei am Rande: Diese Art gehört seit 2012 zur Gattung Atheniella, wie ehem. Mycena adonis und Athenielle ulmariae.
Thema
Sarcoscypha austriaca
Sarcoscypha austriaca (Beck ex Sacc.) Boud.1907
Classification:
Fungi, Ascomycota, Pezizomycotina, Pezizomycetes, Pezizomycetidae, Pezizales, Sarcoscyphaceae, Sarcoscypha
Synonyme:
1.Lachnea austriaca Beck ex Sacc. 1889
2.Peziza austriaca Beck 1884
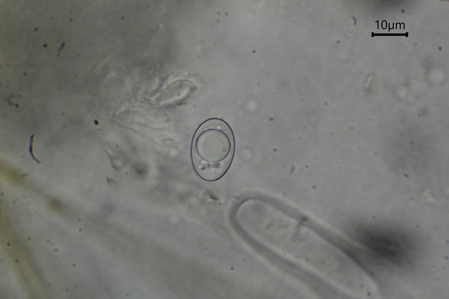
Als wichtige Bestimmungsmerkmale möchte ich die "korkenzieherartig" gewundenen Haare auf der Aussenseite, sowie die Konidienabschnürung bei Überreife (Keimung) erwähnen.
pilzforum.eu/attachment/67161/
pilzforum.eu/attachment/67162/
Mfg Sven
P.S. Falls jemand…
Classification:
Fungi, Ascomycota, Pezizomycotina, Pezizomycetes, Pezizomycetidae, Pezizales, Sarcoscyphaceae, Sarcoscypha
Synonyme:
1.Lachnea austriaca Beck ex Sacc. 1889
2.Peziza austriaca Beck 1884
Als wichtige Bestimmungsmerkmale möchte ich die "korkenzieherartig" gewundenen Haare auf der Aussenseite, sowie die Konidienabschnürung bei Überreife (Keimung) erwähnen.
pilzforum.eu/attachment/67161/
pilzforum.eu/attachment/67162/
Mfg Sven
P.S. Falls jemand…
antilocal
