Vielen Dank für eure Rückmeldungen.
Ich werd mal schauen, ob ich aus den Resten noch ein Hds-Präparat hinbekomm, und ihn derweil S. suptuosa cf. nennen.
Herzliche Grüße
Andreas
Vielen Dank für eure Rückmeldungen.
Ich werd mal schauen, ob ich aus den Resten noch ein Hds-Präparat hinbekomm, und ihn derweil S. suptuosa cf. nennen.
Herzliche Grüße
Andreas
Hi,
was spricht denn gegen Simocybe sumptuosa?
LG.
Servus,
die Sporenmaße passen nicht, sind zu klein. Wobei mir grad gesagt wurde, ich solle das nicht überbewerten 🤷♂️
LG
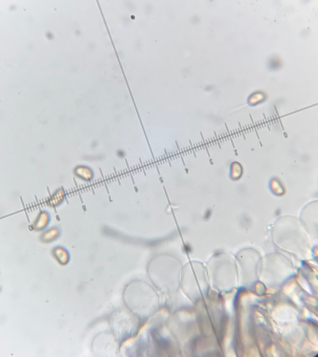
Servus beinand,
vor ein paar Tagen habe ich einen Lbm auf finalmorschem Laubholz (eventuell Buche, da Kalkbuchenwald) gefunden, den ich als Simocybe centunculus angesprochen habe.
Das Schwammerl hat ca. 2 cm Hutdurchmesser und einen knapp 2 mm dicken, zäh-festen Stiel, die Huthaut ist samtig.
Die Sporen passen zu der Art, glatt, dünnwandig, bohnenförmig, ohne Keimporus, 6,5-7 x 3,5-4 my.
Was nicht zu passen scheint, sind die dichtstehenden, teilweise über 40 my großen Cheilozystiden mit sehr großen, ballonförmigen Enden. Keine Pleurozystiden. Ich finde aber auch keine andere Art mit dieser Merkmalskombination.
Hat jemand eine Idee? Dürfen die Cheilos so groß sein bei S. centunculus?
Danke schonmal und Grüße
Andreas
Servus,
Russula integra wird das sein mit den erst hellen, dann gelben Lamellen
LG
Alles anzeigenHallo zusammen,
leider gibt es kein scharfes Foto von der Stieloberfläche, aber ich meine da viel wollig-fädiges Velum zu sehen. Diesem Fact hat bisher noch niemand Beachtung geschenkt.
FG
Oehrling
Servus Oehrling
du hast völlig recht. Auf dem zweiten Bild doch recht gut zu sehen: wattig-fädiges Teilvelum, kein Ring.
Beste Grüße
Andreas
Servus,
nein, Rosatöne hatten die nicht, aber das kann - denke ich - variieren. Mir geht’s eher drum: können die Sporen so klein sein? Und kann der frisch so auffällig nach Vanille duften? Ich hab noch nie bei einem Pilz einen vergleichbaren Geruch gehabt und hatte gehofft, dass es da bei dem ein oder anderen sofort klingelt.
Beste Grüße
Servus beinand,
diese hübsche, mit bis zu 7/8 cm Hutdurchmesser recht große Lepiota haben wir in einem Kalkbuchenwald in der Laubstreu gefunden. Makroskopisch passt sie am ehesten zu L. brunneoincarnata, aber die Sporen sind mit 4-5 x 7-8 my etwas klein. Und der Geruch: frisch ganz intensiv nach Vanille, mit der Zeit verblassend, nach zwei Tagen eher der bei L. brunneoincarnata beschriebene schwach fruchtige Geruch.
Jemand eine Idee?
Danke schomal für eure Vorschläge und Anregungen.
Herzliche Grüße
Andreas
Hallo Zusammen,
nochmals herzlichen Dank an alle, die hier wertvolle Hinweise gegeben haben.
Wir sind schon bemüht, die Nomenklatur zumindest mit Pilze-Deutschland (= DGfM TaxRef-Liste) möglichst einheitlich zu halten. Von daher wird das im kommenden Nachdruck geändert in Desarmillaria tabescens (Syn. Armillaria tabescens). Der Verkauf läuft noch besser als erwartet, sodass voraussichtlich relativ bald im ersten Quartal 2024 die Nachdrucke mit Korrekturen an den Handel gehen.
Schöne Grüße, Peter
Schön, dass es gut läuft.
Wird es dann für die erste Auflage auch eine entsprechende Errata geben?
Herzliche Grüße
Andreas
Danke Sebastian_RLP,
auf der Seite von Ditte war ich schon. Das einzige, was mich etwas irritiert, - neben dem fehlenden Geruch - ist die ausgeprägte Rotfärbung meiner Kollektion. Das hab ich so nirgends gesehen oder gelesen. Andererseits: er heißt ja trivial Grünroter Rißpilz… Möglicherweise hat sich auch die Färbung durch den leichten Frost der letzten Nächte verstärkt.
Wir waren zu dritt. Zwei konnten nichts riechen, einer hat einen undefiniert unangenehmen Geruch wahrgenommen.
Herzliche Grüße
Andreas
Alles anzeigenHallo Andreas,
den hatte Thomas schon selbst vorgeschlagen.
Liebe Grüße
Reinhard
Ah, nicht gesehen. Oder editiert. Egal, dann passt’s ja 👍
Servus,
vergleich doch mal mit Rhodocollybia prolixa.
Herzliche Grüße
Andreas
Servus beinand,
heute haben wir diese hübsche, auffällige Inocybe bei Hasel gefunden, die ich gerne I. haemacta nennen würde. Geruch konnte ich keinen wahrnehmen, auch kein Röten im Fleisch, jedenfalls nicht innerhalb der letzten zwei Stunden (siehe Schnittbild). Sporen 4-5 x 10-11my.
Danke für eure Einschätzungen.
Herzliche Grüße
Andreas
Die Bilder:
Seite 481 Schlüsselnummer 14
Von (2) kommend ist falsch. Müsste von (9) kommend heißen.
Seite 304/2 Entoloma undatum:
Lamellenansatz ist „aufsteigend, (breit) angewachsen“ angegeben. Sämtliche anderen mir verfügbaren Quellen geben ihn mit „herablaufend“ an, was vermutlich auch zutrifft. Sicher weiß ich es aber nicht.
Servus,
das ist Daedaleopsis tricolor, Dreifarbiger Blattwirrling. So steht es zumindest im Dörfelt.
Herzliche Grüße
Andreas
Danke Raphael,
damit kann ich was anfangen. Das schau ich mir nochmal in Ruhe an. Ich hoffe, es wird da eine Richtigstellung in irgendeiner Form geben.
Und Sabotage, vorsätzlich ja. Kann aber natürlich auch ein unwohl gesonnener Dritter sein. Dass jemand sein eigenes Ding sabotiert, hab ich natürlich nicht gemeint.
Heutzutage ist es übrigens im Verlagswesen oft gängige Praxis, sich das Lektorat zu sparen und die Arbeit von den Erstkäufern erledigen zu lassen. Ob das hier genauso war, oder ob der Fehler durchgerutscht ist, kann ich natürlich nicht sagen.
Herzliche Grüße
Andreas
Clavaria Servus Raphael,
natürlich unterstelle ich das weder dem Verlag, noch den Autoren. Wie kommst du da drauf. Und vermutlich wird es auch irgendeine Erklärung geben, warum bei diesem einen Schlüssel so gut wie nichts stimmt. Aber einfach nur ein Nummernfehler ist das nicht. Bevor du da mit mir drüber diskutierst, wäre es gut, wenn du dir den besagten Schlüssel mal anschaust. Dann wirst du sicher auch nicht mehr von einem „ja mei, Nummernfehler“ sprechen, sondern dich - genau wie ich - fragen, wie so ein Chaos hat entstehen können. Ich hab dir die betreffende Seite mal eingefügt. Und ja, auch ich finde das Buch insgesamt toll.
Herzliche Grüße
Andreas
Mir ehrlich gesagt ein Rätsel, wie sowas passieren kann.
Sowas passiert, wenn man als kleines Team unter dem Zeitdruck des Verlags das Buch fertig machen muss.
Servus Raphael,
das weiß ich schon auch. Aber hast du dir den Schlüssel mal angeschaut? Ich hab versucht, irgendeine Regelmäßigkeit hinter den Fehlern zu finden - keine Chance.
Mein Kommentar war auch nicht als Vorwurf gedacht. Es ist mir schlicht unerklärlich, außer Sabotage fällt mir da nicht wirklich was ein.
Würde mich tatsächlich interessieren, wie das zustande gekommen ist.
Herzliche Grüße
Andreas
Alles anzeigenHallo zusammen
Bin auch daran das neue Kosmos Handbuch für Pilze auszuprobieren. Leider muss ich feststellen, dass der Bestimmungsschlüssel für Schirmlingsartige und Champignons ab Seite 330 in meinem Buch fehlerhaft ist. Da scheint irgend ein Durcheinander bei den Verweisen passiert zu sein.
Beispiel: sucht man nach Lepiota catanea Seite 336.2 (und andere Schirmlinge der Seiten 336 bis 346?) und beginnt man im Schlüssel bei 1, kommt man über 1a nach 2, dann nach 6 und bestenfalls von 6d noch nach 10 und bleibt dann bei den Mehlschirmlingen hängen. Auch ander Arten haben nicht funktioniert. Ein einfaches System den Schlüssel zu korrigieren habe ich noch nicht gefunden. Schade
Weitere Schlüsselprobleme:6a verweist auf 6, 8b auf 8, 9b auf 9, 11a auf 11, 13a auf 13, 14a auf 14, 16b auf 16, 18a auf 18, 19b auf 19, 22b auf 22, 24a auf 24, 26a auf 26, 27b auf 27, 29b auf 29, 30b auf 30, 31b auf 31
Oder stehe ich total im Schilf?
Ja, stimmt. Das ist ein arges Durcheinander. So ist der Schlüssel nicht brauchbar.
Schade...
Da stimmt leider gar nix. Auch die Pfade sind falsch, also die Zahlen in Klammern, wo man angeblich herkommt. Mir ehrlich gesagt ein Rätsel, wie sowas passieren kann.
GriasDi Andreas,
könnte evtl C. urbicus, der Weidendickfuß sein.
Weidenblätter sind zu sehen.
An liabn Gruaß
Werner
Danke Werner,
du wirst wohl Recht haben. Die nach dem Regen frisch gewachsene Kollektion ist deutlich heller, als die zuerst gefundenen, was wahrscheinlich an der extremen Trockenheit gelegen hat. Die helleren Farben passen sehr gut zu der Beschreibung im Kibby. Büscheliges Wachstum ist dort allerdings nicht erwähnt, und die Stielbasis meiner Kollektion ist nicht verdickt. Eine Weide stand auf jeden Fall dort, das hatte ich vergessen zu erwähnen.
Liebe Grüße
Andreas
Hallo
Konntest du auf dem Querschnitt noch KOH auftragen? Wie war die Reaktion? Ist es korrekt, dass nirgends violettliche Farbtöne ersichtlich sind. BG Andy
Servus Andy,
nein, keine Violett-Töne. KOH negativ, würde ich sagen.
Herzliche Grüße
Keiner eine Meinung dazu?
Die Farbe ist aber wahrscheinlich trotzdem kein Erkennungsmerkmal!?
Servus,
diese Farbe können Perlpilze so ähnlich auch. Aber sie haben nicht diese sockenartige Velumstrukturen an der Stielbasis, kein weißes, sondern graues Hutvelum und vor allem praktisch immer irgendwo Rottöne: am Hut, am Stiel, häufig an der Knolle oder auf jeden Fall an verletzten Stellen/Madengängen. Auch wenn du sie anschneidest, Röten sie. Das dauert allerdings ein, zwei Stunden. Aber das macht kein anderer Wulstling.
Herzliche Grüße
Andreas
