Hallo zusammen,
ich möchte euch gerne etwas über die Sphaerobolus stellatus zeigen, die ich am 08.10.21 finden konnte.
Wer denkt, dass dieser Pilz langweilig ist, der irrt sich. Er mag zwar Makroskopisch für den ein oder anderen ein 0815 Pilz sein, aber dafür hat er Mikroskopisch viel zu bieten.
Hier sind die Bilder:
1. Zuerst einmal sind die Pilze unreif. Der weiße glibber (Gleba) sind noch nicht die Sporen.

2. wirklich reif sieht es dann so aus. Der Pilz bekommt eine orangene Farbe und hat in der Mitte ein gelbes "Ei" (Gleba), dass besitzt die reifen Sporen.

3.
unreif findet man Hyphen

4.

5.
unreif findet man auch so welche Gebilde, wahrscheinlich die Exoperidie (?)

6.
im Reifen Zustand findet man so welche Gebilde. Wer glaubt das sind Sporen der irrt sich, denn das sind Zystiden 
Ich bin leider auch reingefallen und froh, dass ich noch weiter Mikroskopiert habe.

7. keimende Zellen

8. keimende Zellen

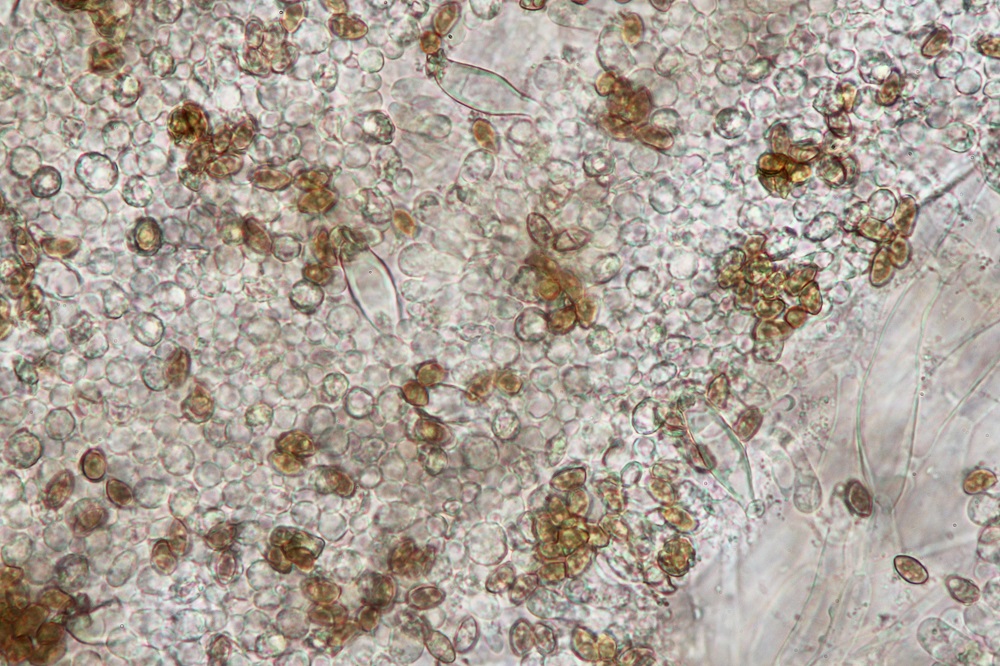
9. Sporen

Diese keimenden Zellen haben mich stutzig gemacht, wo doch auf der Seite von marn, die Sporen an Basidien zeigen.
Selbst im Pilze der Schweiz (kurz PdS> Band 2 Seite 380-381) werden Basidien mit Sporen gezeigt, also wie bei der Seite marn gezeigt.
Das Bild 5 könnte die Exoperidie sein, wie auch in PdS gezeigt wird.
Von kugeligen-eiförmigen Zystiden ist keine Rede.
Bis ich auf die Arbeit "The glebal mass of Sphaerobolus " (C. T. Ingold 1971) gestoßen bin.
Diese Arbeit kann man auf cybertruffle finden.
cybertruffle > journals > Transactions of the British Mycological Society > 56 > 56(1) Seite 105
In dieser Arbeit werden verschiedene keimende Zellen gezeigt, aber auch verschiedene Zystiden und Sporen.
Die gezeigten Merkmale sind mit meinen ähnlich.
Hat jemand von euch, auch schon einmal diesen Pilz mikroskopiert und vielleicht ähnliche Erfahrungen gemacht ?
VG : Thorben