Hallo zusammen,
alle Jahre wieder macht sich der Arbeitskreis Pilzkunde Ruhr auf ins Siegerland um dort ein pilzkundliches Wochenende zu verbringen. So auch dieses Jahr wieder und wie immer ging es am ersten Tag auf das Geländer der ehemaligen Grube Littfeld. Das Pilzaufkommen war diesmal famos und wir hatten bei jeder Exkursion mindestens 150 Arten auf der Fundliste.
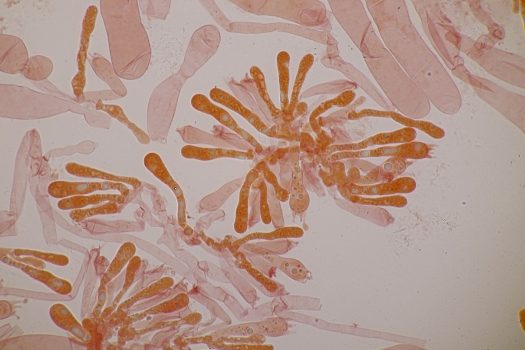
1. Der erste Fund im Herbst ist immer dieser kleine Pilz, der in der Vergangenheit als Arrhenia rustica auf der Liste gelandet ist. Als ich mir dann letztes Jahr die Sporen angeschaut habe, war schnell klar, daß es eine Lichenomphalia sein muß. Also habe ich den Pilz dieses Jahr einmal komplett mikroskopiert. Die Sporen messen 6,8±0,5 µm × 3,9±0,4 µm, Q=1,7±0,2; 6,1-7,6 µm × 3,1-4,5 µm, Q=1,5-2,1, Schnallen sind nicht vorhanden, Cheilozystiden fehlen ebenso, die Basidien sind 1- bis 4-sporig. Leider habe ich jetzt immer noch keine gute Idee, um welche Art es sich hier genau handelt; es scheint auch wenig gute Literatur zu dieser Gattung zu geben.
Sporen
Algen
Huthaut
Lamellentrama
Basidien
Stielbekleidung
2. Der nächste mysteriöse Pilz. Eine Keule, die von den Sporen her zu C. falcata passen würde, aber die sollte ja nicht so einen Gelbstich haben. Sporenmaße 8,1±0,5 µm × 6,9±0,5 µm, Q=1,2±0,1; 6,9-9 µm × 5,6-7,7 µm, Q=1,1-1,3
3. Entoloma sericellum
4. Amanita muscaria
5. Gymnopus perforans
6. Gloeophyllum sepiarium
7. Amphinema byssoides
8. Pholiota squarrosa
9. Clavulina coralloides
10. Amanita rubescens
11. Lactarius deterrimus
12. Chalciporus piperatus
13. Cortinarius camphoratus
14. Gloeophyllum odoratum
15. Hygrophorus unicolor
16. Das sollte Octaviania lutea sein
Sporen
Goldschimmel-Konidien
Peridie
17. Hygrophorus eburneus
18. Pholiota gummosa
19. Ramularia coleosporii ex Coleosporium tussilagini II ex Tussilago farfara
20. Inoyces petiginosa
21. Boletus edulis
22. Rhodocollybia butyracea var. asema
23. Sarea resinae
24. Aleuria aurantia
25. Kuehneromyces mutabilis
26. Entoloma infula
Björn
