Hallo Ihr Lieben!
Am Samstag war ich noch einmal auf der Brandstelle, Karl hatte mich zu einer gemeinsamen Exkursion eingeladen. Mit von der Partie waren außerdem noch RaDa und Rainer Wald, meine drei persönlichen Erstfunde waren mir also schon einmal gewiss. Hier im typischen Mykologengang bzw. Mykologen-Foto-Haltung Karl W Rada
Später traf noch Zühli zu einer Stippvisite ein. zuehli
Es war schön, mit mehreren Kennern der Materie unterwegs zu sein, meine Kernkompetenz ist immer noch nicht das Bestimmen von Pilzen… manchmal ein bisschen unangenehm. Jedoch sind ja meist nette Leute da, die mir weiterhelfen.
Nun aber zu den Pilzen. Ich konnte meine Funde von letzter Woche durch weitere Funde und die Bestimmung der anderen bestätigen und auch zwei besondere Funde machen.
Aber sehr selbst!
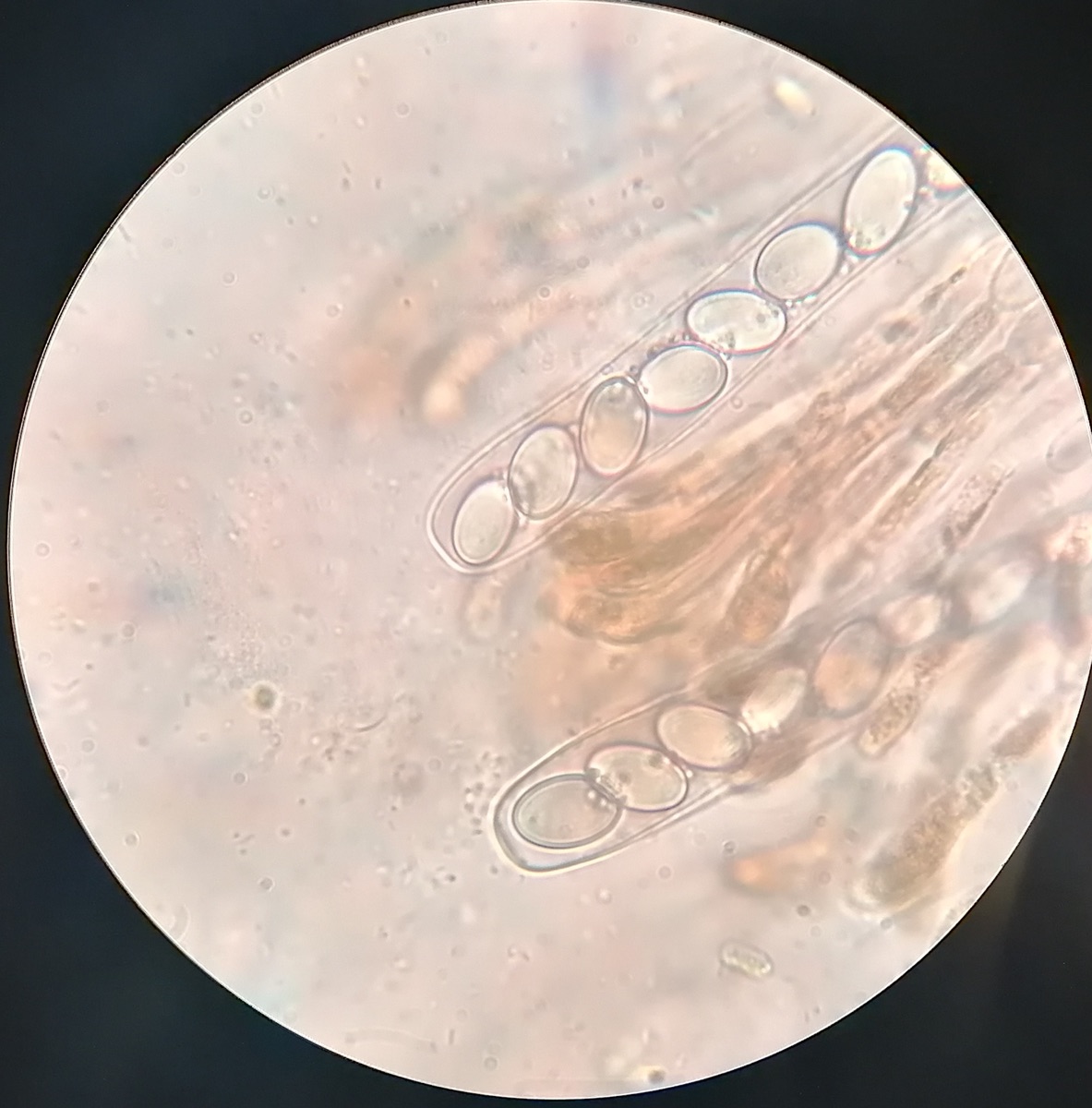
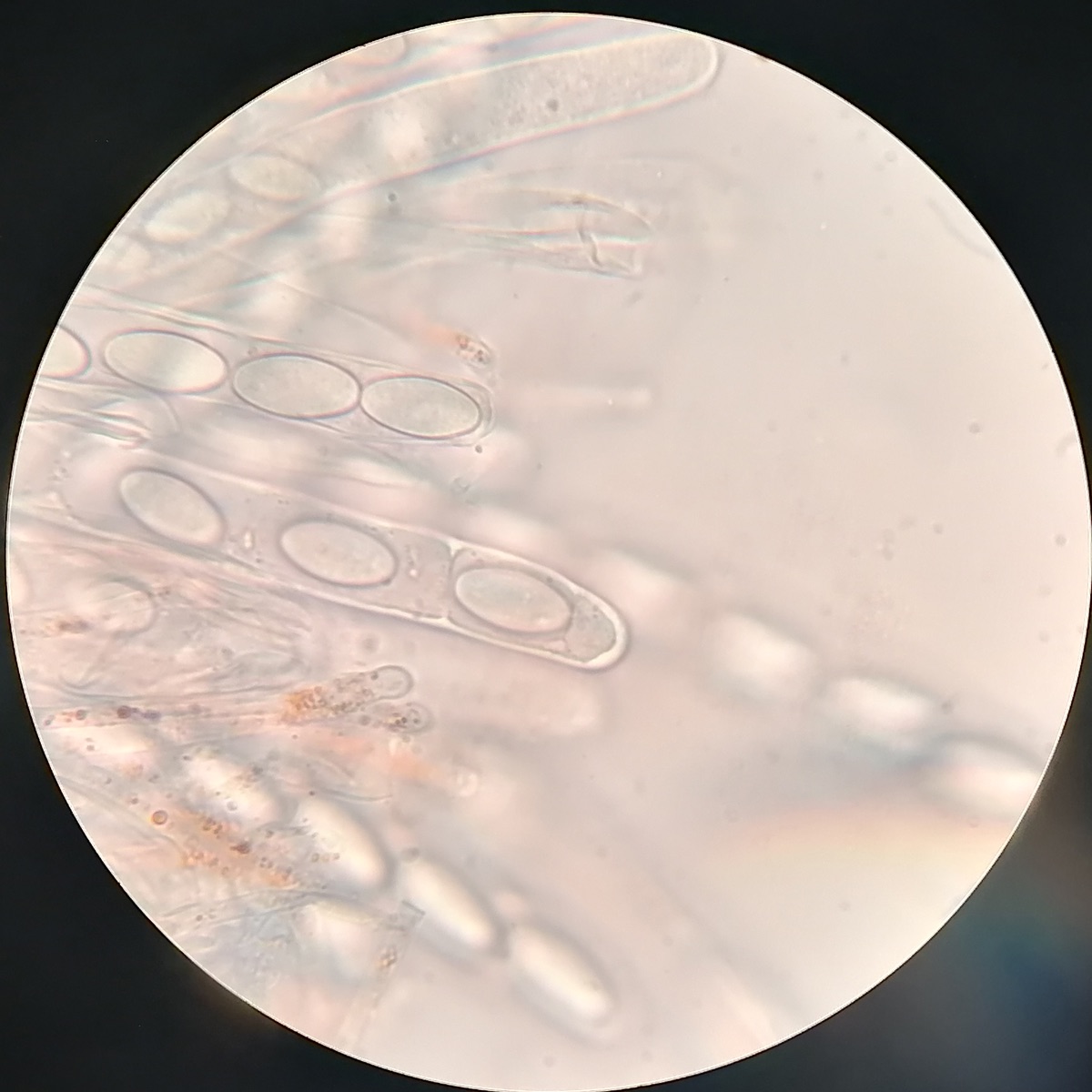
01. Bei der letzten Tour fand ich Geoscypha tenacella, den Braunvioletten Kohlenbecher. er unterscheidet sich von G. violacea besonders durch die ornamentierten Sporen. Ich wiederhole ihn hier nur wegen der Mikro-Bilder
02. Gezeigt wurde mir das Tranige Kohlengraublatt, Lyophyllum atratum
dieses schöne Arrangement war nicht von mir
03. Dafür war Faerberia carbonaria, der Kohlenleistling ein Erstfund für mich. Karl hat ihn für mich aus der Hand bestimmt. Über diesen Fund freuten wir uns alle
04. Geoscypha violacea, der Violette Brandstellenbecherling war immer noch reichlich zu finden, wenn auch schon älter und wenig violett…
05. genau wie Geopyxis carbonaria, der Gemeine Kohlenbecherling
Hier fand ich bemerkenswert, dass die einzelnen Sporen teilweise so ein bisschen wie in einzelnen Kammern saßen
06. Und wenn man schon mal auf den Knien durch die Kohle krabbelt, sieht man manchmal auch gaaanz winzige Dinge. Wie diese hier. Ich habe sie zwar gefunden, aber natürlich nicht gewusst, was ich da vor mir hatte. RaDa hat ihn mitgenommen und mikroskopiert und bestimmt ![]()
Anthracobia maurilabra, der Schwarzgesäumte Brandstellenbecher. Zühli sagte, das sei ein Erstfund für Hessen - jippieee!
08. Psathyrella pennata
immer wieder schön anzusehen
Hier noch mit zwei Untermietern
09. Und immer wieder schön die Pholiota highlandensis, Kohlenschüpplinge
10. Immer wieder bin ich begeistert von der Kraft der Natur, wie sie sich ihren Platz wieder erobert
11. Aber die Schnecken sind auch wieder auf dem Vormarsch
Schön wars mit der Herrenrunde.
Ich freue mich, wenn der eine oder die andere mit durch die Kohle gestromert ist.
Liebe Grüße, Eure Tuppie
