Welcher Rübling?

Es gibt 8 Antworten in diesem Thema, welches 1.941 mal aufgerufen wurde. Der letzte Beitrag () ist von Schupfnudel.

  • Hi!


    Gestern ist mir ein Einzelexemplar eines Rüblings über den Weg gelaufen, der frisch glaube ich ein wenig nach Kohl (Freundin sagt als Geruchseindruck Rettich) riecht, allerdings war es kalt und nass also kein geruchsoptimales Wetter. (Nach einer Nacht im Kühlschrank nicht mehr wirklich Geruch wahrnehmbar).

    Er wuchs auf einem Stück verrottendem Laubholz auf einigermaßen kalkhaltigem Boden. Ca. 2cm hoch, Stiel und Hut schwach weiß bepudert.


    Stielbasis feinfilzig.


    Hut ungerieft


    Stiel mit Längsfurche, Lamellen gezähnelt (was bei meinen Verdächtigten aber nirgends erwähnt wird?)


    Ich schwanke nun zwischen G. impudicus und G. brassicolens, falls ich nicht völlig falsch unterwegs bin. Hat jemand einen Tipp, wie ich die auseinander bekomme?


    LG,

    Schupfi

    Posts sind nicht als Essensfreigabe zu verstehen. :-]
    93 Chibs - APR-Gebühr 2024 = 83 Chibs

  • Hallo Schupfi,


    Zusammengefasst nach: Antonin V, Noordeloos ME (2010) A Monograph of marasmioid and collybioid Fungi in Europe. IHW, 481 S


    Die Sporen von G. impudicus können etwas größer sein und bei G. impudicus finden sich keine Schnallen im Gewebe. Bei G. brassicolens kann man überall Schnallen finden.


    Beste Grüße

    Stefan F.

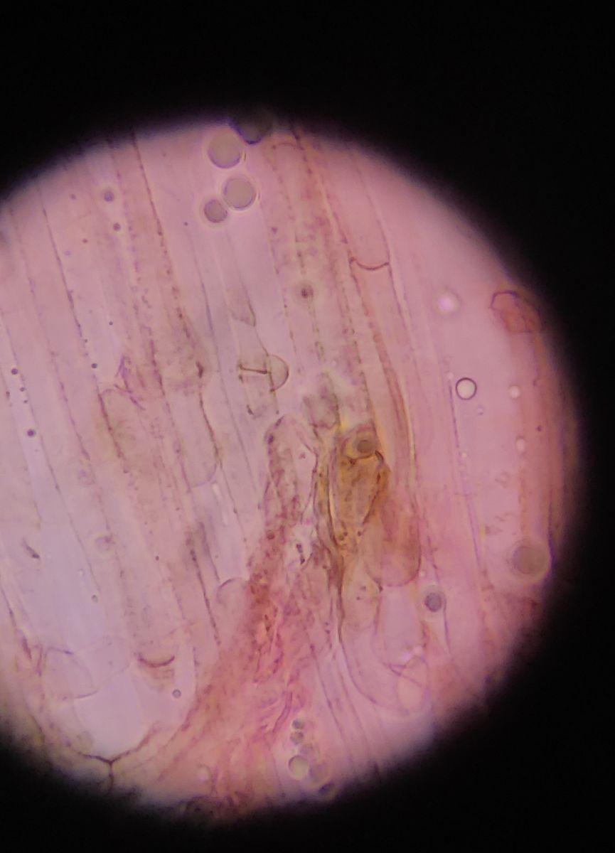
  • Hi Stefan.


    Danke, das Buch habe ich nicht.


    Mit Schnallen habe ich so meine Probleme. Sind das welche?

    Stieltrama:



    Lamelle:



    Sporenmaße:

    N=24

    5,4-6,1-7,1x2,9x3,4x4

    Qav=1,78


    LG,

    Schupfi

    Posts sind nicht als Essensfreigabe zu verstehen. :-]
    93 Chibs - APR-Gebühr 2024 = 83 Chibs

  • Hallo,

    Also das im letzten Bild ist ganz sicher eine.

    Gruß

    Norbert

    ------------------------------------------------------
    Pilzchips = 100 -5 APR 2015 +12 APR 2016 = 107 -7 Für APR 2017 = 100 + 5 APR 2018 =105 +5 APR 2019 =110+6 APR 2020=116+5+4 APR2021=125

    -15 für APR 2022 = 110. -15 für APR 2024 = 95 +5 APR2024 Platz und einschätzung = 100

    Pilzbestimmung im Netz ist keine Essfreigabe

    ------------------------------------------------------

  • GriasDi Schupfi,

    rein makroskopisch schaut das viel mehr nach G. impudicus aus. G. brassicolens ist in unseren Buchenwäldern häufig, immer in großen Trupps, oft büschelig und direkt im Laub und darauf aufsitzend. Den würd ich hier ausschließen wollen.

    An liabn Gruaß

    Werner

  • Hallo Schupfi,


    so ist das halt, mit den lieben Einzelexemplaren. Nach Antonin solltest den nun G. brassicolens nennen, aber auch nur, wenn deine Auswahl G. impudicus oder G. brassicolens tiptop richtig ist.


    Beste Grüße

    Stefan F.

  • GriasDi Stefan,

    das stimmt so nicht ganz.

    Bei G. impudicus steht " abundant in all tissues". Bei G. brassicolens einfach nur " present".

  • Hallo Werner,


    ooh, dann bin ich wohl mit einer falschen Übersetzung völlig auf dem falschen Dampfer und trete erst mal einen ganzen Schritt zurück.


    Beste Grüße

    Stefan F.

  • Hallo an alle!


    Danke für eure Hinweise. Schwierig mit so Einzelexemplaren halt. In der Tendenz wäre ich insgesamt wohl auch eher bei G. impudicus, aber die Lamellenschneide, die frühe Erscheinungszeit und der recht kleine durchschnittliche Sporenquotient passen eigentlich nicht so richtig bei beiden. Ich denke ich lege den mal als cf. impudicus ab und hoffe, dass sich da nochmal ein paar mehr finden lassen.


    LG,

    Schupfi

    Posts sind nicht als Essensfreigabe zu verstehen. :-]
    93 Chibs - APR-Gebühr 2024 = 83 Chibs