Hallo zusammen,
am letzten Sonntag ging es mit dem APR und den BoBos auf den Bochumer Hauptfriedhof. Nach dem es in letzter Zeit ja doch immer mal wieder geregnet hatte, zeigten sich dort etliche Pilze:
1. Lactarius cf. semisanguifluus
2. Galerina clavata
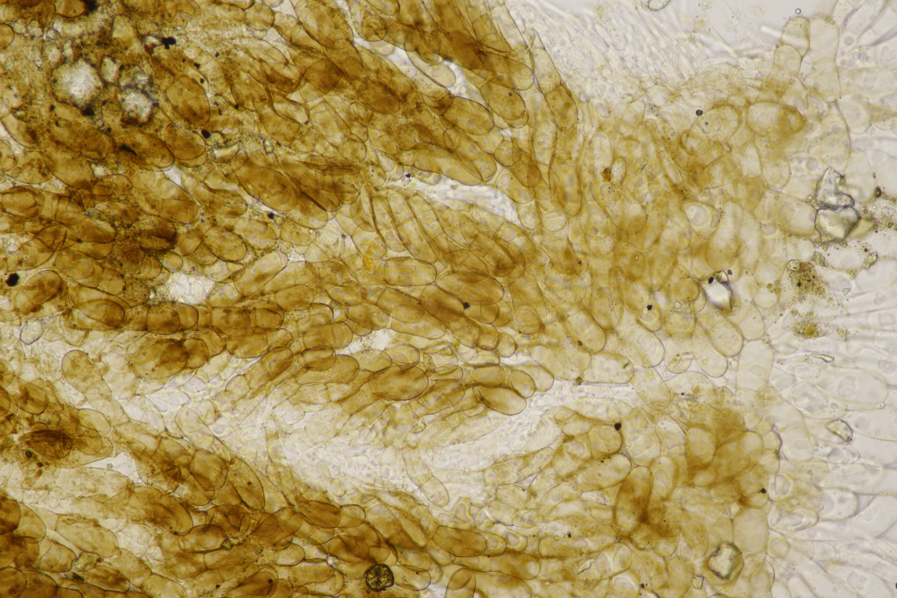
3. Phyllactinia orbicularis ex Fagus sylvatica
4. Melastiza cornubiensis
5. Lactarius circellatus
6. Amanita muscaria
7. Russula queletii
8. Tricholoma terreum
Und auf einer Obstwiese in Bochum dann noch
9. Hygrophorus pustellatus
10. Ramularia ajugae ex Ajuga reptans
11. Und vom Friedhof Lactarius controversus
Björn
