Hallo,
heuer habe ich am 25. August im südlichen Waldviertel an einem wärmegetönten, sehr steilen Hang zwei Korallen gefunden, die mich doch sehr interessieren. Grundsätzlich ist im Waldviertel der boden sauer, Untergrund ist Granit und Gneis, doch kommen an diesem Hang auch Totentrompeten vor. Weiters gibt es dort Tricholoma matsutake, Cantharellus cinereus, craterellus sinusosus, Rheubarbariboletus armenicolor und auch Butyriboletus regius.
Die erste Koralle wuchs direkt neben einer alten Buche in der Laubstreu und hat mich sehr begeistert. So schöne Farben! Zuerst dachte ich an Ramaria fennica var. fumigata, doch nachdem ich mikroskopiert habe und die Bilder nochmals angesehen habe, gehe ich eher davon aus, dass das Ramaria fennica var. fennica ist, denn ich denke da sind schon deutlich geglich-olive Farbtöne in den Ästen und die Sporen sind auch eher klein.
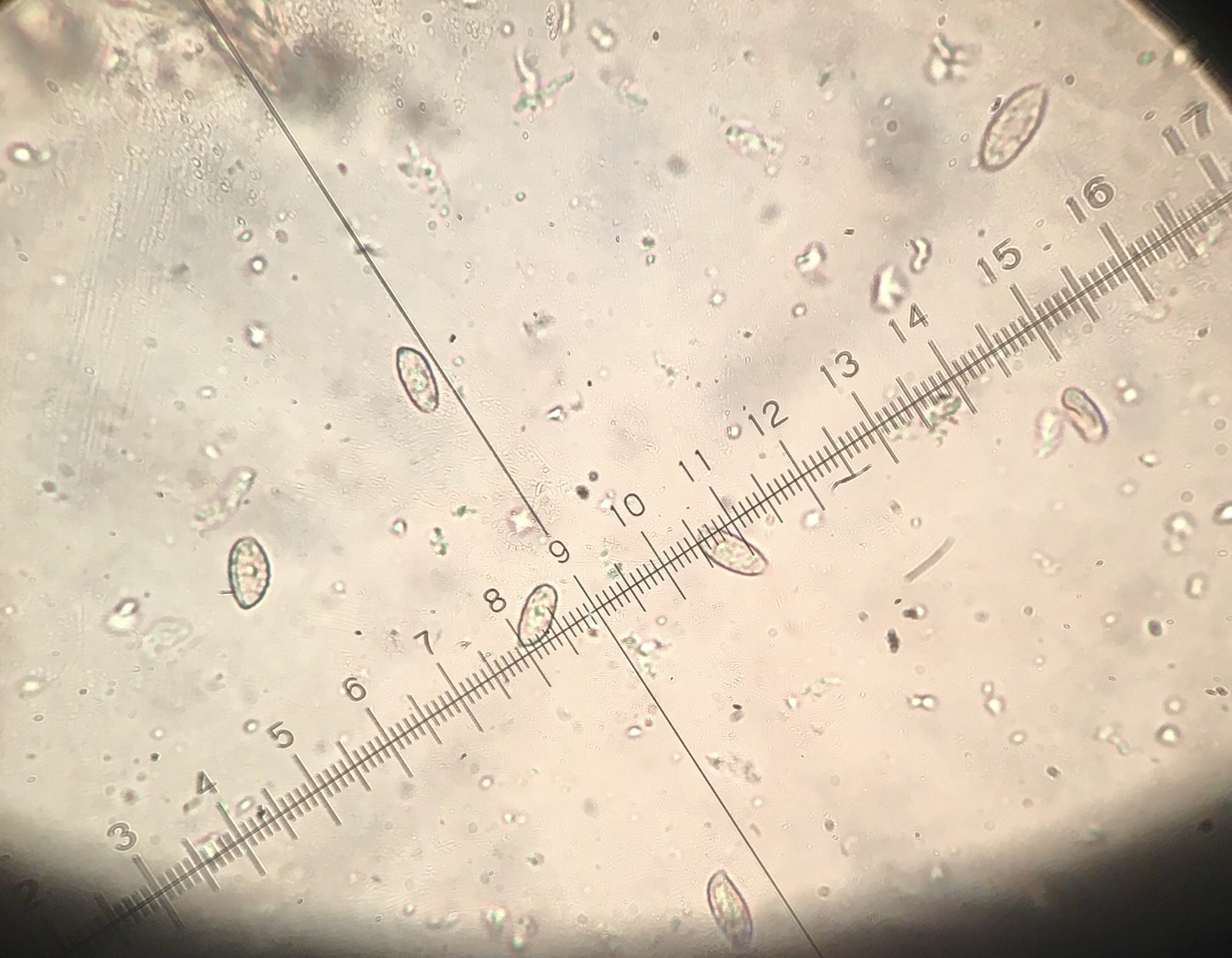
Sporen: 7 - 9 - 10 x 3,5 - 4, deutlich höckerig bzw. warzig-wulstig
Die zweite wuchs direkt neben einem Fichtenstumpf, aber es gibt dort vorwiegend Buchen, dann und wann auch Föhren und Lärchen. Die Äst sind lachsfarben, die Spitzen gelb und bitterlich, das Fleisch ist weiß, in den Ästen Astfarben, der Strunk ist weiß. Eigenartig war der Geruch, denn der war irgendwie fruchtig, nach Mais, Maschinenöl und nach frisch geerntetem Getreide in einer Halle - also sehr diffizil.
Die Sporen hatten in Wasser ein undeutliches Ornament, in BWB war es doch deutlich zu sehen. Ich würde es als warzig mit wenigen kurzen Wulsten beschreiben. Sie messen 8 - 9 - 10 x 3,8 - 4 - 5.
Meine erste Idee ist Ramaria formosa, aber so ganz überzeugt bin ich nicht davon
Ich hoffe, jemand von euch kann mir weiterhelfen, denn für die beiden hätte ich wirklich gerne eine Bestimmung!
LG
romana
