Hallo zusammen,
ich habe am Sonntag auf dem Ausflug mit dem APR in die Borkenberge eine Inocybe gefunden, die ich mit der FN als I. pusio geschlüsselt habe. Ganz überzeugt bin ich aber nicht.
Stiel: 2 - 4cm d; radialfaserig; gebuckelt; kein Velumzu sehen?
Stiel: 3 - 4,5 x 0.4 - 0.5; leicht längst gefasert; Rot-/Violetttöne nicht zu erkennen im Nachhinein, bzw. nur sehr schwach an einem Exemplar in der Stielspitze
Geruch: spermatisch
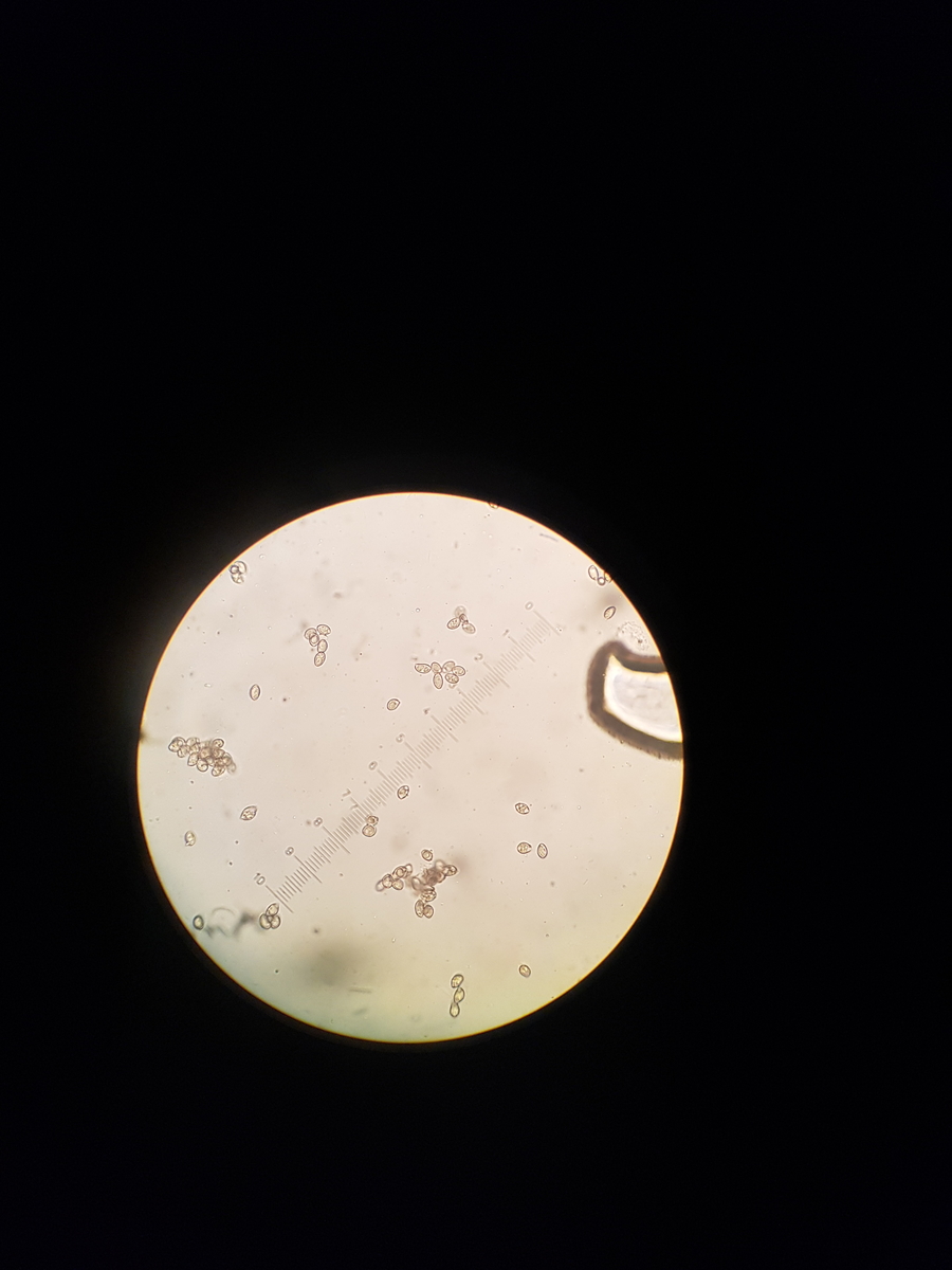
Sporen: 8 - 10 [11] - [4.5] 5 - 6 [7]; glatt
PleuroZ: 50 - 65 x 14 - 16
CheiloZ 40 - 45 x 16 -19
CauloZ: im obersten Drittel, nicht aber bei der Hälfte oder drunter
Alle Zystiden metuloid
1. Leider sind die Stiele überbelichtet
2. Sporen
3. PleuroZ
4. CheiloZ
5. CauloZ
So das war's. Ich kann natürlich noch weiteres nachliefern, wenn nötig. Außer den Sporen wurde alles in KOH mikroskopiert. Ich hoffe, Climbingfreak Ditte, ihr könnt mir helfen.
Danke im Voraus und beste Grüße
Oliver
