Lamellenschnitt

Es gibt 12 Antworten in diesem Thema, welches 6.019 mal aufgerufen wurde. Der letzte Beitrag () ist von Oliver.

  • Hallo zusammen,


    wie schon von vielen prophezeit, kommt ein Mikroskop meist schneller als gedacht. So schnell hätte ich es mir aber nicht vorgestellt. Durch Hilfe und Ermutigung meines ehemaligen Biologielehrers, gehöre ich jetzt wohl auch zu den Mikroskopikern.


    Ich bin zur Zeit fleißig am Üben. Pileocystidien, Basidien und Sporen finde ich schon. (übe hauptsächlich an Russula zur Zeit)


    Bei den Basidien - also dem Betrachten der Lamellen - sind Quetschpräparate ziemlich hilfreich. Jedoch würde ich gerne den Lamellenschnitt üben, um die Lamellen im Querschnitt zu beobachten.


    Habt ihr da Tipps oder Anleitungen, wie ich das gescheit anstellen könnte?


    LG

    Oliver

    • Offizieller Beitrag

    Hi,


    scharfe, frische Rasierklinge nehmen und einen "Kammschnitt" machen.


    l.g.

    Stefan

    Risspilz: hui; Rissklettern: bisher pfui; ab nun: na ja mal sehen...


    Derzeit so pilzgeschädigt, das geht auf keine Huthaut. :D


    Meine Antworten hier stellen nur Bestimmungsvorschläge dar. Verzehrsfreigaben gibts nur vom PSV vor Ort.

  • Hallo Oliver


    Ich nehme immer eine ganze Lamelle mit der Pinzette raus und lege die flach auf ein Brett. Dann zwei möglichst frische Rasierklingen aufeinander legen und vorsichtig einen Schnitt über die Lamelle machen (möglichst schneiden, nicht drücken).

    Danach hat man zwischen den Rasierklingen ein Lamellenfragment, das schiebe ich mit einer Nadel auf den Objektträger.

    Klappt je nach Konsistenz der Lamelle besser oder schlechter.


    Gruss Raphael

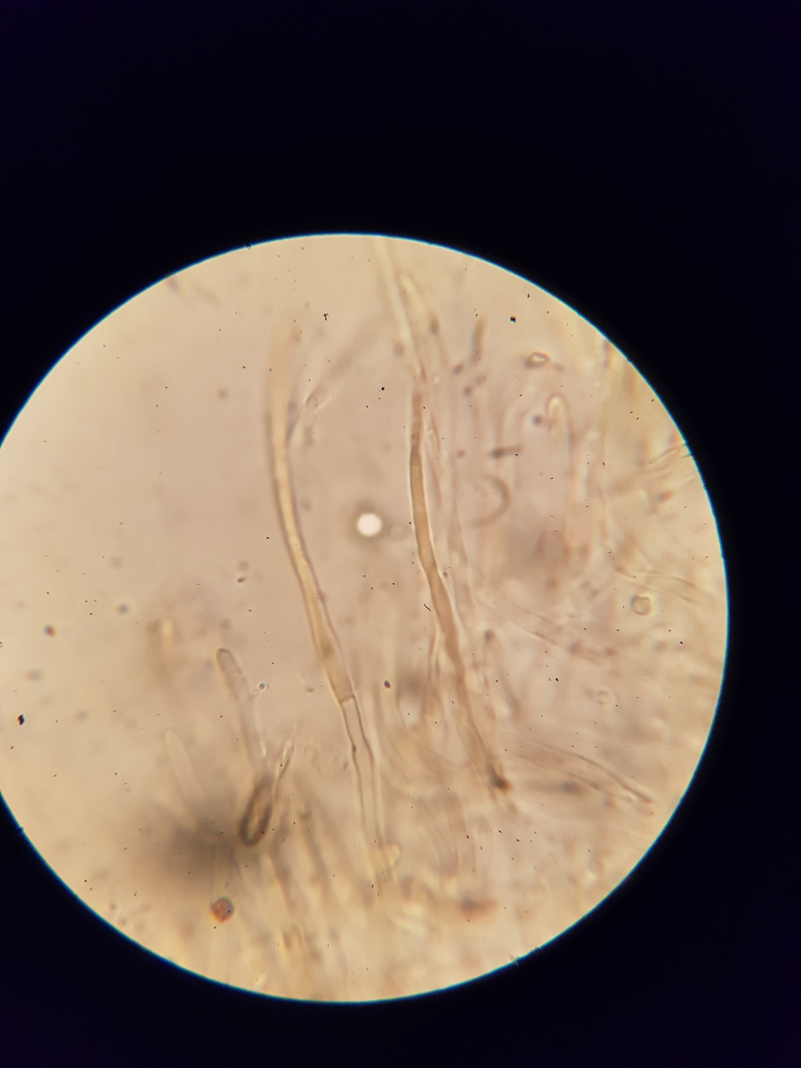
  • Hallo Stefan,


    vielen Dank dir. Ich glaube, ich habe es auf Anhieb geschafft - Anfängerglück.

    Das Foto hab ich mit meinem Handy bei einer Vergrößerung von 100x gemacht. Das untere Stück scheint sich über den Längsschnitt geschoben zu haben.

    Ich habe es mit Melzers Reagenz eingefärbt und ich denke mal, dass die helle Mitte ein - für Russula typisch - untermischtes Lamellentrama zeigt.


    LG

    Oliver

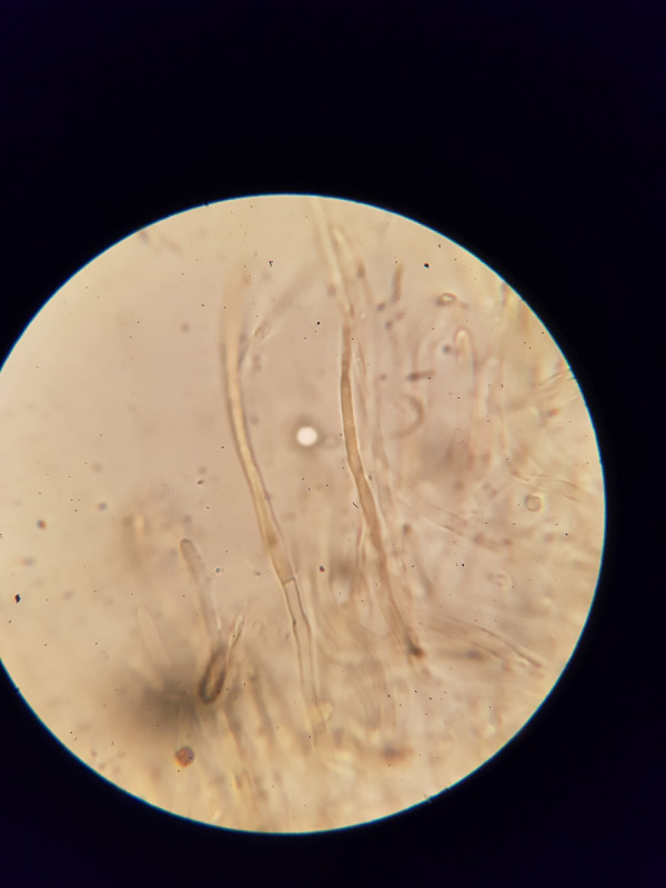
  • Hier noch ein Foto (720x). Die Färbung zeigt schön, dass das Präparat in der richtigen Lage ist, aber ich weiß nicht, ob ich bei dieser dicke des Präparates gescheit das Trama beurteilen können werde. Hier weiß ich ja, was zu erwarten ist.

    LG

  • Hallo Raphael,


    deine Methode funktioniert auch super. Der Schnitt, den ich mikroskopiert habe, war bis jetzt der beste. Danke dir

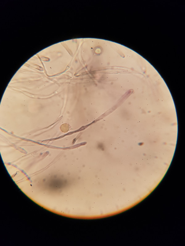
    Ich werde euch das letzte mal noch mit Bildern nerven:S

    160x

    720x


    LG

    Oliver

  • Hallo Oliver,


    erstmal Glückwunsch zum Mikroskop, deine Übungen und Aufnahmen können sich jedenfalls sehen lassen!

    Ich werde euch das letzte mal noch mit Bildern nerven

    Nix da, wir würden uns freuen wenn noch weitere Bilder deiner Untersuchungen gezeigt werden.

    Hast du eigentlich die Huthaut deines R. ochroleuca Exsikkats schon drunter gehabt?


    LG

    claus

  • Hallo Claus,


    schon, dass sie dir gefallen. Die Bilder sind jedenfalls brauchbar um das Lamellentrama bestimmen zu können. R. ochroleuca hatte ich kurz drunter, aber den muss ich noch genauer untersuchen. Heute waren paar Ascomyceten unterm Objektiv.

    Ich werde die Tage R. ochroleuca drunter legen und dir berichten!


    LG

    Oliver

  • Hallo Claus,


    heute war es endlich soweit. Ich hab mir die Huthaut von R. ochroleuca unter dem Mikroskop angeschaut. Echt spannend!

    Da waren aber echt viele Sporen dabei. Liegt wohl daran, dass ich mit der Huthaut auch Lamellen in KOH eingeweicht habe. Das erste Bild ist in KOH 3% und die anderen beiden sind in Kresylblau, um den Kontrast hervorzuheben.

    Die Bilder sind in 1600x Vergrößerung. Ich weiß, dass stark vergrößernde Okulare irgendwann keinen Sinn mehr ergeben, aber das ist das einzige Okular, durch dass ich gescheit Bilder machen kann. Aber ich denke, man erkennt gut die Haare und ihre Färbung. Jetzt muss ich mir bald mal Pileocystidien bei einer anderen Russula angucken, damit ich lerne, die auseinanderzuhalten.


    LG

    Oliver


  • Aber ich denke, man erkennt gut die Haare und ihre Färbung.

    ...

    Ich hab mir die Huthaut von R. ochroleuca unter dem Mikroskop angeschaut. Echt spannend!

    Hallo Oliver,


    spannend ist an einer R. ochroleuca so gut wie nix, ausser der rötlichen KOH-Färbung am Stiel. ==Gnolm13

    Aber man sieht hier bei deinem ersten Bild schon was der EINHELLINGER immer und immer wieder im Schlüssel damit meint:

    "Hyphen der HDS an bestimmten Stellen mit gelblichbraunen membranären Pigment"


    Ich hänge mal zwei Bilder von heute mit dran (Exsikkat aus 2018) die das nochmals verdeutlichen.

    1) KOH 3%, 100fach, gelbliche Hyphen stellenweise in der HDS zu sehen


    2) KOH 3%, 400fach, meistens in Klumpen, manchmal auch nur in einer "Membran" gelb/braun zwischen den Septierungen


    3) KF, 400fach, was auch immer wieder zu sehen ist sind diese zebra-artigen Muster in Karbolfuchsin


    Klappen wir diesen Pilz zu es gibt noch viel spannenderes zu sehen.

    Hier ist noch ein interessanter LINK zur Täublings Mikroskopie, viel Erfolg damit

    Danke nochmals für deine Bilder und gerne mehr davon!


    Liebe Grüsse

    claus

  • Jetzt weiß ich endlich, wie das geht! Danke!

  • Hallo Claus, Hallo Tuppie,


    ich werde mir die Huthaut die Tage nochmals angucken, besonders auch in Karbolfuchsin. Mal sehen, was ich da entdecken kann. Kann das sein, dass im Bild Nummer zwei Haare (Crins?) zu sehen sind? Die sind nämlich so dünn und lang.

    Ich habe heute einen Täubling gefunden, der sehr schön nach Apfelkompott riecht. Ich werde ihn untersuchen (leider nicht vermessen) und meine Ergebnisse morgen oder übermorgen vorstellen, um abzukkären, was ich da wirklich sehe unterm Mikroskop. Ich werde aber davor noch in deine Datei gucken. Danke!


    Und zu dir Tuppie,

    mit zwei Rasierklingen und manchmal etwas quetschen, geht der Lamellenschnitt echt gut. Ich bin verwundert. Spätestens beim zweiten Mal habe ich einem brauchbaren Schnitt, um mir sowohl das Trama, aber aich andere Strukturen der Lamellen anzugucken.


    LG Oliver