Hallo Pilzfreunde (besonders Frank
),
ich habe hier noch ein paar Tomentella Funde die ich mir gerne bestätigen lassen möchte.
Tomentella Nr1
Gefunden auf den Boden.
Sporen
Junge Basidien aufgeblasen Maße 8 bis 10 µm.
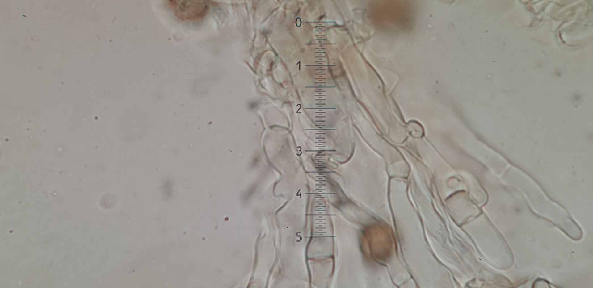
Die Hyphen am Subhymenium sind hin und wieder aufgeblasen, in Subikulum finden sich aber mehr davon.
Subhymenium
Subikulum dickwandig
Die dickwandige Subikulum Hyphen und die blasige Basidien bringen mich zu Tomentella terrestris.
