Hallo Uve, so ohne mikroskopische Untersuchung wird wohl nichts, eine möglichkeit wäre Dacryobolus karstenii aber ist dann nur ein Rate Spiel ohne auflösung.
Beiträge von Trino
-
-
Hallo Pilzfreunde,
ich habe mit KI unterstützung dieses Beitrag erstellt, eigentlich habe ich nicht viel gemacht ausser ein paar Bilder eingeben und vielleicht etwas hilfe Stellung. Ich finde schon nicht schlecht was die Dinger mittlerweile können und eine gute Bestimmung Hilfe sind die auch finde ich. Tatsächlich ging mir die Frage auf den Kopf ob diese rosa Färbung bei G. pannocinctus sein darf? Aber liest selbst wenn ihr mögt.
"
Hallo zusammen,
ich möchte euch einen Fund zeigen, der mich makroskopisch zunächst auf eine falsche Fährte gelockt hat, sich aber unter dem scharfen Glas als Lehrbuchbeispiel für Gloeoporus pannocinctus (ehem. Gelatoporia pannocincta) entpuppte.
Funddaten:
- Substrat: Vermutlich Moor-Birke (Betula pubenscens), stehend.
- Makroskopie: Resupinater Fruchtkörper, Poren unregelmäßig bis leicht irpexoid aufbrechend. Auffällig war die deutlich lachsfarbene bis rosabräunliche Färbung, die mich zunächst an Ceriporiopsis gilvescens denken ließ.
- Konsistenz: Frisch zäh-wachsartig, trocken eher hornartig fest.
Mikroskopische Befunde: Beim Mikroskopieren zeigten sich jedoch Merkmale, die C. gilvescens klar ausschließen:
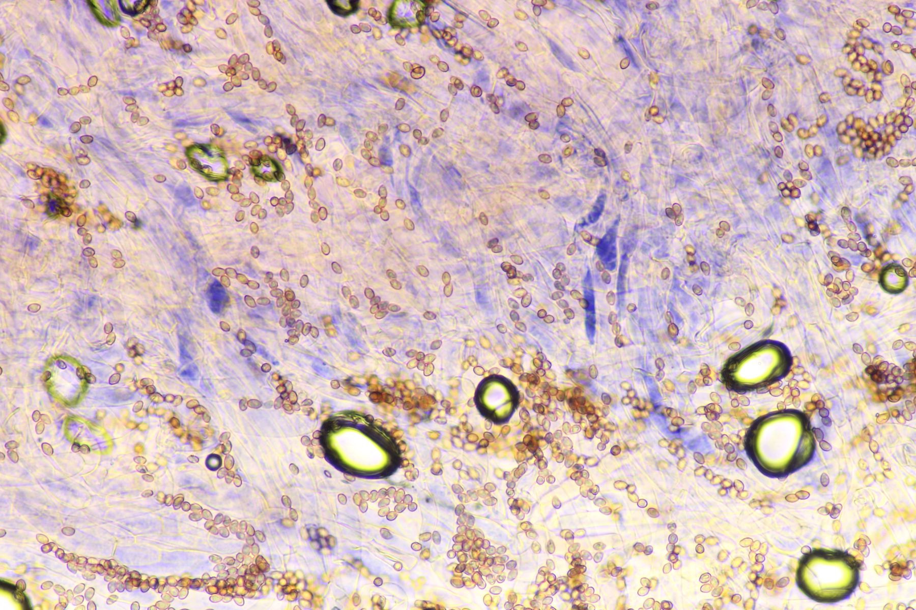
- Sporen: Extrem schmal und deutlich gekrümmt (allantoid).
- Messwerte: (3,7)3,8−4,8×0,7−0,9μm
- Qav≈5,2
- C. gilvescens hätte hier deutlich breitere Sporen (1,5−2,0μm).
- Hyphensystem: Monomitisch mit Schnallen.
- Anatomie (Schnitt): Im Vertikalschnitt zeigte sich zwischen dem lockeren Subiculum und dem Röhrentrama die artdiagnostische, dunkle gelatinöse Trennschicht ("pannocinctus" = gürtelartig).
- Trama: Die Hyphen der Röhrenwände wirken stark verleimt/gelatinisiert und lichtbrechend.
Fazit: Trotz der untypischen Farbe (oft eher als gelb-oliv beschrieben) nageln die Sporenmaße (< 1 µm Breite) und die gelatinöse Trennschicht den Fund auf Gloeoporus pannocinctus fest. Ein schönes Beispiel dafür, dass man sich auf die Farbe bei Porlingen nicht verlassen darf.
Anbei die Bilder der Sporen und des Schnitts.
Diskussion & Literaturabgleich: Besonders interessant ist bei diesem Fund die Farbgebung. Während Standardwerke (Ryvarden & Gilbertson; Bernicchia) die Art meist als weiß-creme bis (trocken) olivgrün/gelblich beschreiben, zeigte dieser frische Fruchtkörper deutliche Lachs-Töne. Dies führe ich auf die starke Hygrophanität und den "Gelatoporia-Charakter" zurück: Das frische, gelatinöse Trama ist halb-translucent, wodurch die rötlich-braune Unterlage der Birkenborke durchscheint und makroskopisch eine Ähnlichkeit zu Ceriporiopsis gilvescens vortäuscht. Die Sporenbreite (< 1 µm) und die im Schnitt sichtbare dunkle Trennschicht schließen C. gilvescens (Sporen > 1,5 µm) oder Skeletocutis-Arten (inkrustierte Hyphenenden, Dimities) jedoch zweifelsfrei aus.
Es zeigt sich einmal mehr: Bei resupinaten Porlingen führt am Mikroskop kein Weg vorbei – Farben sind oft nur "Schall und Rauch".
"
Ist sicher nicht Perfekt aber die schreibt sicher besser Deutsch als ich

Grüße Mario
-
Hallo Thorben, das musste Callystosporium sein. Ich habe die Sporen Masse gerade nicht Parat, ich würde aber auf luteo-olivaceum tippen.
-
Hallo Helmut, vielen Dank fürs drüber schauen, also doch I. grammata? Ok dann werde ich so ab speichern.
-
Ditte vielleicht eine Idee?
-
Hallo Pilzfreunde,
letze Woche habe ich diese Inocybe gefunden in ein Friedhof, Begleitbäume waren Kiefer und einige andere Laubbäume.
Hier schon mal ein Standort Bild.
So auf den ersten Blick dachte ich an eine Psathyrella bis ich den Pilz umgedreht habe, die Lamellen waren typische Inocybe Lamellen. Auffällig waren der helle Buckel, das Velum am Hutrand, und ein hauch rosa an der Stielspitze. Leider gab es keine Jungen Exemplare.
Der Aufgeschiermte FP hat einen Durchmesser von etwa 6 cm.
Hier kann man das rosa am Stiel sehr schön erkennen.
Der Stiel ist an der Spitze stark bereift Caulos sind aber überall am Stiel zu finden.
Spitze
Untere Hälfte
Die Sporen
Cheilos und Pleuros ähnlich.
Die Wandstärke geht bis 5 µm
Hier noch mal die Caulozystiden
Könnte es grammatoides sein oder ist es doch was anderes?
Danke schon mal für die Hilfe.
-
Ich lass mich auch blicken Heute und ein bisschen zu zeigen hätte ich auch, ein paar Fragen habe ich auch.
-
Hallo Reinhard, vergleiche mal mit Mycena rosella. A. adonis hat weisse Lamellen die var. coccinea kenne ich aber nicht.
-
..Sporenstatistik..
Deine Statistik sieht spannend aus. Welche Software nutzt Du?
Den Makroaufmaßprogramm von Jens Rüdig.
-
-
Hallo Pilzfreunde,
früher war alles viel einfacher mit den Pilze.
Hier ein Fund von Heute den ich eigentlich C. semisanguineus benamst hätte. Doch heisst er jetzt her C ominosus?
ich habe gehört die KOH reaktion soll zur unterscheidung bei tragen.
Huthaut färb sich violett in KOH sieht echt hammer aus.
Was meinen die Experten?
-
Hallo Daniel, wo genau hast du Hohlfuss rohrlinge gefunden? Innerhalb des Friedhof oder her daneben hinter den Tor?
-
Ne habe ich jemanden geschickt der sich mit Psathyrelle besser auskennt und hat es mikroskopiert. Andreas Jendral, kennst du?
-
Endlich gibt es hierfür ein Namen.
P. pertinax
-
-
Ich schupse einmal hoch.
-
Hallo Pilzfreunde,
Letzte Woche habe ich dieser Pilz an Holz gefunden und versuche ich mich bei der Bestimmung, ich befurchte nur das es eine Sachgasse wird.
Ich denke das es sich um eine Psathyrella handelt, eine der etws robustere Arten.
Hier ein Paar Bilder, leider von zu hause.
Hier kann man schön sehen das der Pilz Velum hatte, das war leider der enzige exemplar.
Einen Sporen Abdruck habe ich nicht bekommen sorry.
Die Lamellen schneiden sind aber sehr hell vielleicht ist das ein Merkmal der hilft?
Sporen in Wasser und KOH, ich denke das die ein keimporus haben auch wenn es kaum sichtbar.
Maße
Cheilocystiden und pleurocystiden sind vorhanden und ähnlich.
Pleuro
Manche Pleuros sind etwas köpfig hier zusammen mit den Basidien.
Cheilos sind manchmal etwas bauchig und kleiner. Aber nicht sehr oft.
Hier noch ein paar Bilder in Kongo
Hier sieht man an einige Cheilos so eine Art Schopf, sind aber die einzigen die ich sehen konnte.
Das mussten marginal Zellen auf die LS
Ist es hier eine Bestimmung möglich?
Exikat habe ich noch da.
-
Bin heute auch dabei, zu zeigen habe ich aber nöt.
-
Vielen Dank Peter, ich muss sagen das ich zwischenzeitlich echt am Zweifeln gewesen bin, wegen den fehlenden Grübchen, besonders weil ich irgendwo gelesen hatte das die ein muss sind.
-
Hallo Pilzfreunde,
hier ein Fund aus der Ohligser Heide vom 8.8.25 Unter Eiche am Wegesrand mit Schotter, ich schätze daher das da Kalk sein muss.
Ein bisschen KI Arbeit
Bestimmung eines Milchlings aus der Section Zonarii
Bei meinem Fund handelte es sich um einen Milchling mit folgenden auffälligen Merkmalen:
-
Milch: weiß und unveränderlich
-
Fleisch: verfärbt sich im Schnitt zunächst rosa/lachsfarben, später grau
-
Hut: deutlich konzentrisch gezont, gelblich-ocker bis orange-ocker, Rand fein filzig
-
Lamellen: cremefarben, gedrängt, teils gegabelt
-
Stiel: weißlich bis ockerlich, ohne Grübchen (Kann das sein?)
-
Geruch: fruchtig
-
Geschmack: scharf
Für die Eingrenzung habe ich die Arten der Section Zonarii aus Geoffrey Kibbys British Milkcaps sowie zusätzliche Literatur und Onlinequellen verglichen.
( leider fehlen da einige angaben)
Zuerst wurden alle Arten ausgeschlossen, deren Milch sich verfärbt (L. chrysorrheus, L. citriolens, L. resimus, L. scrobiculatus).
Von den verbleibenden (L. acerrimus, L. controversus, L. evosmus, L. zonarius) konnte ich durch die charakteristische rosa → grau-Verfärbung des Fleisches im Schnitt und die Kombination aus Zonierung, filzigem Rand und Standort (Eiche, kalkreicher Boden) die Bestimmung auf Lactarius zonarius eingrenzen.Das ist natürlich etwas vereinfacht da gestellt da wir ja wissen das da noch ein paar Arten mehr da sind von denn die KI erstmal nichts weiß.
Hier ein paar Bilder.
Standort
Zu Hause
Mir kam auch einer der Birkenreizker kurz in den Sinn aber irgendwie waren die Pilze doch nicht flaumisch genug.
Auffällig fand ich dieses graugrüner ring um die Stiespitze.
Die Lamellen waren teilweise auch queradrig
Hier die Verfärbung des Fleisch kurz nach dem Schnitt, gut kurz ist relativ schon ne gute halbe Stunde.
hier einige Stunden später
Hier noch ein Bild der Sporen.
Messebene
Ornament
Die Ornamente sind mM nach zu groß für evosmus, micht stört nur die fehlende grübchen.
Was meint ihr kann ich es so abspeichern?
-
-
Ich werde euch gleich auch mal besuchen kommen.
-
Hallo Björn, von der Sporen Form würde ich deine Phlebia, P. livida nennen. Die Cystiden sind nicht einfach zu finden.
-
Alles anzeigenAlles anzeigen
Hallo Mario,
interessanter Fund, der bisher in NRW noch nicht kartiert wurde.
LG KarlHallo Karl,
leider ist der Fund nicht aus NRW sondern aus Niedersachsen.
LG Mario
Umso besser! Wir nehmen auch gerne den vierten nieders. Fund.
Grüße Axel
Aha, und wem soll ich den Fund geben?
Liebe Grüße
Mario
-
Hallo Mario,
interessanter Fund, der bisher in NRW noch nicht kartiert wurde.
LG KarlHallo Karl,
leider ist der Fund nicht aus NRW sondern aus Niedersachsen.
LG Mario
-
Bin Heute dabei und habe ein bissel was zu zeigen wenn hier es sehen möchtet naturlisch

