Hallo Pilzfreunde,
hier eine Tomentella mit bitte um Bestätigung.
Gefunden auf der untere Seite des Stammes, was das war konnte ich nicht mehr sagen das holz war jedenfalls weich.
In frischen Zustand war der Filz her so graubraun in getrockneter Zustand wie auf den Bild unten
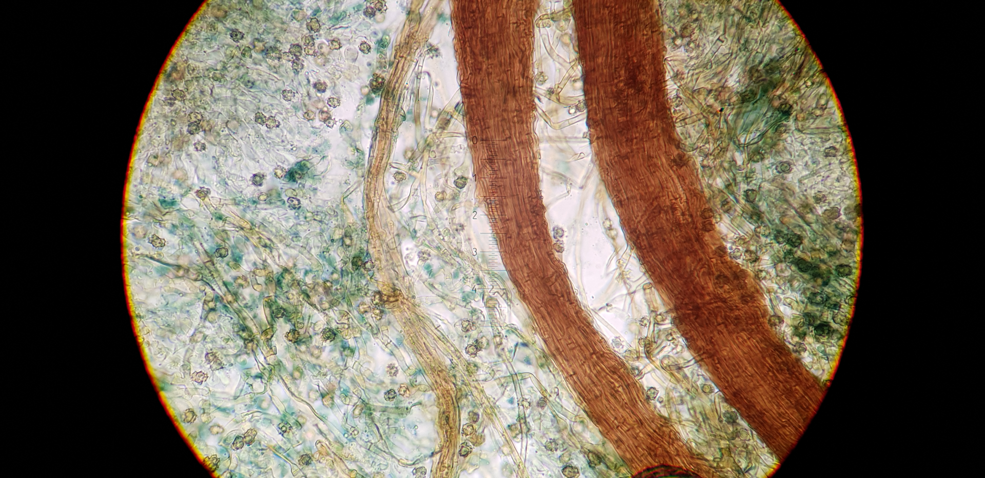
Mikroskopisch konnte man die Blaue reaktion auf 3 prozentiger KOH.
Sporen
Rhizomorphen vorhanden und dimitisch
Liege ich richtig?
