Hi.
Sorry für die Bildqualität aber ich hatte im Wald heute mein Makro-Objektiv vergessen und musste mir mit Zwischenring behelfen. Zudem war es zappenduster und hohe ISO mag meine Cam nicht so sehr.
Ich würde die hier bei Simocybe verorten. Fundort auf Laubholzstückchen neben großem vermorschtem Stamm. Liege ich da richtig? Hatte ich bisher erst einmal.
Hut feinfilzig
Gut 3cm hoch, Hutdurchmesser knapp 1cm.
Hier noch ein zweites Exemplar, das 2 Meter daneben wuchs. Leider nur ein Handyschnappschuss, die Kamera-Bilder sind nix geworden von dem.
Beide Exemplare haben extrem viel Myzelfilz(?) im Holzstückchen.
Die sind denke ich leider noch recht jung von daher vermute ich, werde ich keinen Abwurf bekommen. Ich könnt's aber beim zweiten Exemplar versuchen.
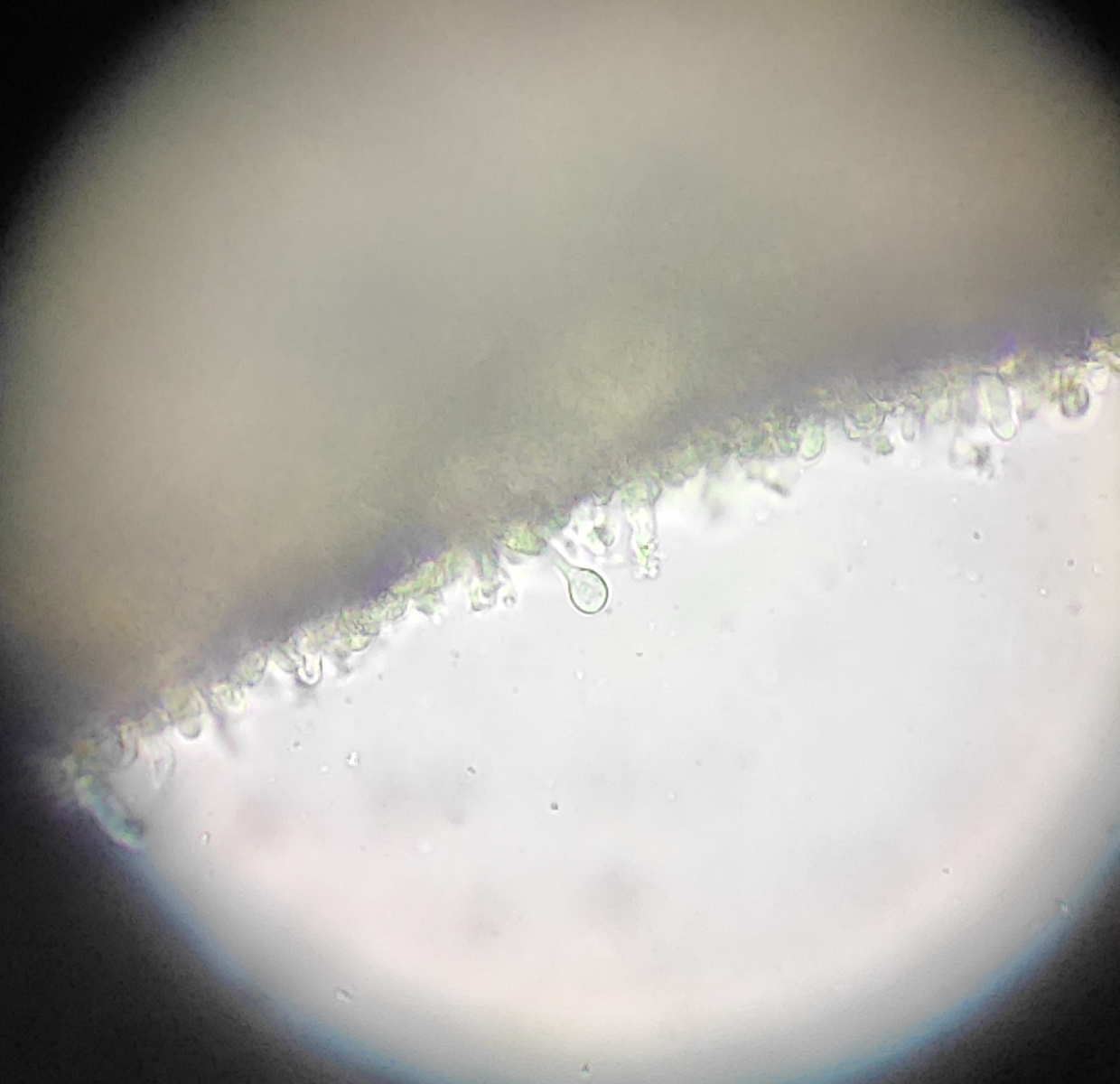
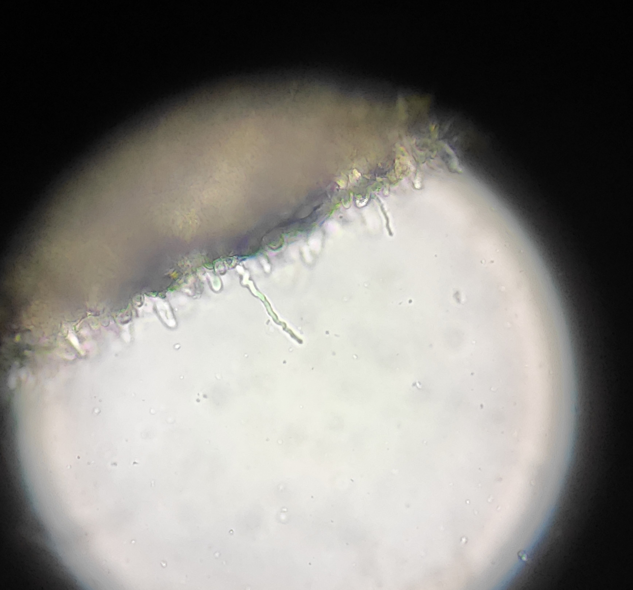
Wenn ich bei Simocybe richtig bin, habe ich jetzt gelesen, dass ich wohl die Pileozystiden angucken müsste, die bei S. sumptuosa kopfig sein sollen und bei S. cenctulus (den ich vermute) nicht. Ist das das relevante Merkmal zur Unterscheidung oder sollte ich was anderes angucken? Da ich nur zwei Exemplare habe, bin ich etwas vorsichtig hier. ![]()
Danke.
LG,
Schupfi
