Hallo zusammen,
ein einsamer Cortinarius begegnete mir vorgestern im Mischwald. Als mögliche Baumpartner kommen Buche und Fichte eventuell noch Birke infrage. Nach der jüngsten Diskussion um die Phlegmacien denke ich, dass dieser auch zu der Gruppe gehört. Am nächsten kommt dem Pilz m. E. Cortinarius variicolor
Hutdurchmesser ca. 7 cm, hellbraun mit Trockenrissen, ziemlich glatt, bei Befeuchtung klebrig, nicht eingerollt
Stiel 9 cm keulenförmig, Stielbasis rübig, Stielspitze weißlichviolett, Stielbasis cremeweiß, Stielmitte bräunlich gefärbt, nicht klebrig
Geruch erdig, unangenehm
Geschmack grausig muffig, bitterlich
Lamellen violett-bräunlich ausgebuchtet angewachsen, dunkelfleckig
Fruchtfleisch weiß mit violetten Tönen besonders oberhalb der Lamellen und an der Stielspitze
Fraßstellen bräunlich
Reaktion mit 20%igem KOH gelb mit orangegelbem Rand, nach Stunden braun
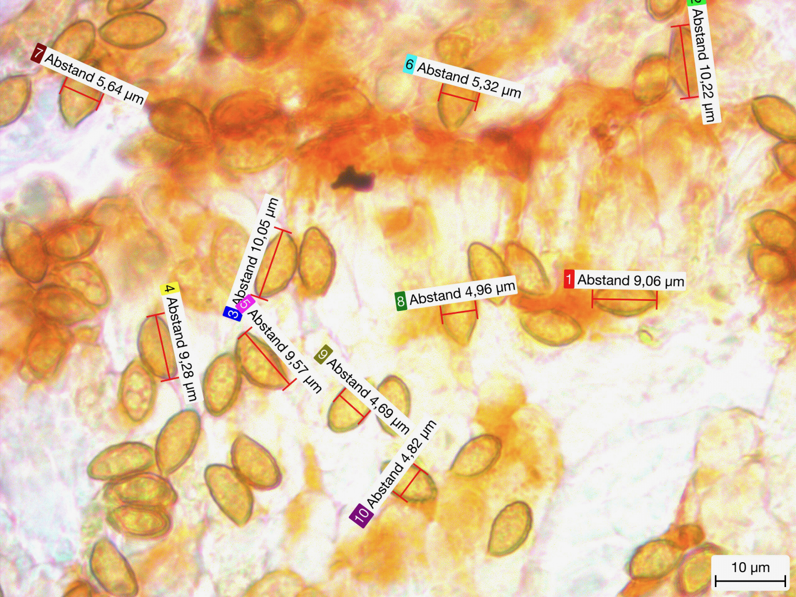
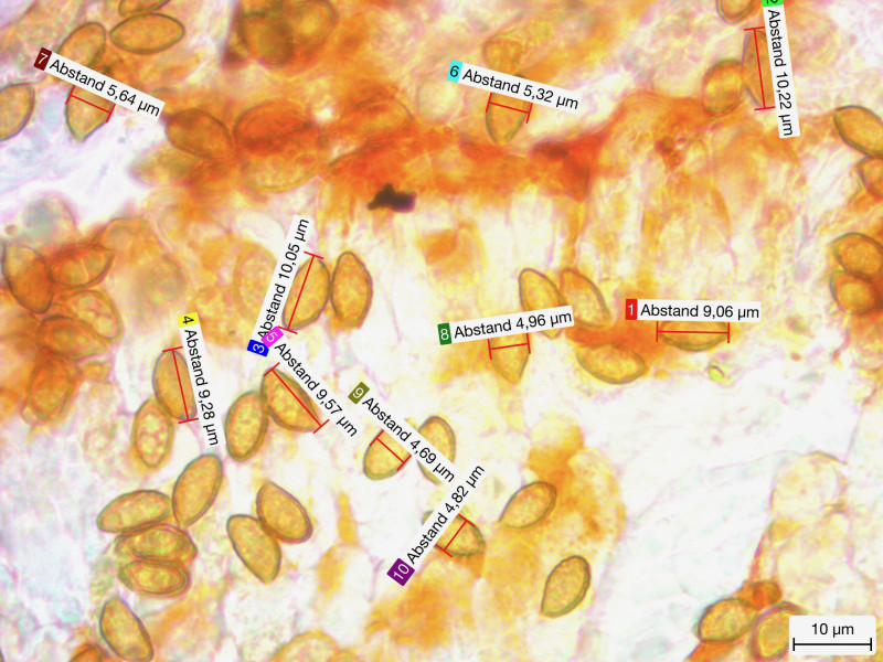
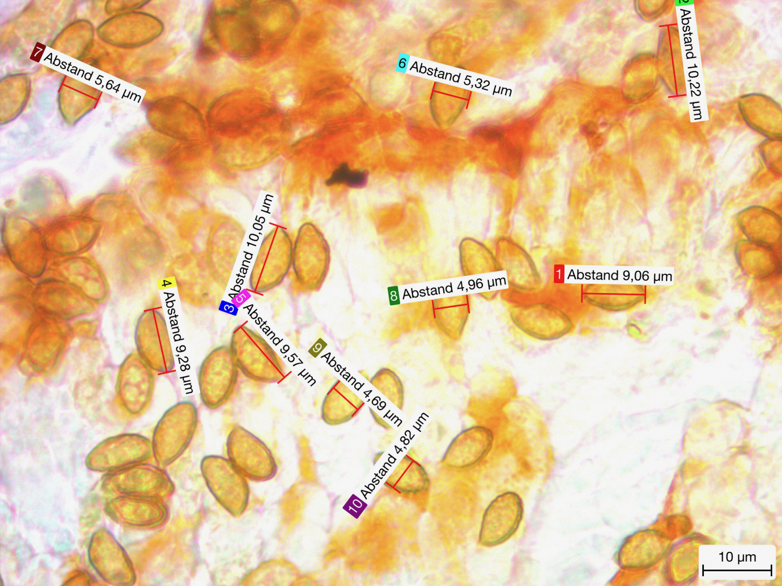
Sporen mandelförmig breitwarzig 5x10
Über Bestätigung oder aber bessere Ideen freu ich mich.
1
2
3
4
5
6
7
6
9
