Hallo Phillip,
die Präpariernadeln sind mir auch oft zu grob. Ich helfe mir da mit dickeren Akkupunkturnadeln. Die gibts im 50er Pack für wenig Geld.
Es gibt 99 Antworten in diesem Thema, welches 45.098 mal aufgerufen wurde. Der letzte Beitrag () ist von PhilEsc.
Hallo Phillip,
die Präpariernadeln sind mir auch oft zu grob. Ich helfe mir da mit dickeren Akkupunkturnadeln. Die gibts im 50er Pack für wenig Geld.
Grüezi
Pilidium acerinum mit Händi durchs Okular fotografiert... Dem Namen nach auf Ahorn, nach Lit. aber auch auf anderem Laub. Hier auf Buche. Bestimmt mit Ellis&Ellis.
Wieso merke ich erst jetzt dass es auch winzige Pflanzen gibt? Das ist ja herzig! Das sollte das Frühlings-Hungerblümchen Draba verna, die häufigste mitteleuropäische Art aus der Familie der Brassicaceae sein. Man sieht sogar ein Schötchen. Die Familie hab ich selbst erkannt, auf die Art bin ich mit ner Händi Äpp gekommen. ![]()
Jetzt wo ich das Standardwerk über Pflanzenparasitische Kleinpilze gekauft habe müsste ich eigentlich noch nachschlagen ob da auch ein Pilz drauf wächst. ![]()
Hallo Philipp,
auf Draba verna lohnt es sich auch nach falschen Mehltauen zu schauen. Die zeigen sich durch gelblich verfärbte Blätter ab:
Es gibt zwei Arten von Hyaloperonospora, die jeweils einen weißlichen Rasen aus Konidienträgern auf der Blattunterseite bilden. Hier H. praecox, die die Pflanze nicht deformiert. Die andere Art ist H. erophilae, die die Pflanze deformiert und auch einen dichteren Rasen ausbildet.
Seltener findet man Albugo candida s.l., der weiße Krusten auf der Blattunterseite bildet.
Björn
Hallo Philipp,
ich bin mir ziemlich sicher, daß du nach Mikro- und Makrofotografie nun auch die Astrofotografie für dich entdeckt hast.
Diese Aufnahme eines bisher unbekannten Jupitermondes ist dir jedenfalls wunderbar gelungen!
Die Astronomen werden ihn sicherlich Pippo nennen.
Und ich habe in deinem Thread noch weitere "Himmelskörper" entdeckt...![]()
Anm.: Um das Bild unverzerrt und in voller Auflösung zu sehen, bitte Original anschauen (Lupe anklicken)! Irgendwie trickst mich die Software immer aus, so daß alle meine Fotos "breitgequetscht" im Forum zu sehen sind. Kann aber auch sein, daß ich das nur auf dem ipad so sehe...
![]()
Du bist ja ein Vassspögelchen! ![]()
Klasse ! Spitzenaufnahme, Phillip. Ja, das mit den Phytos wird dir noch zum Verhängnis werden, ich bin auch schon angefixt! Da hockt man dann oft in der Wiese und wird müd von Passanten belächelt, was man da so tut.... Kräucht auf den Pilzwanderungen den anderen hinterher, weil man ja viel langsamer ist, brennt sich die Finger an den Nessel usw usw......Aber Spaß macht es allemal, vor Allem weil man nicht nur (über) die Pilze, sondern die Pflanzen gleich mitlernt! Doppelt gewonnen sozusagen. Von der Freude endlose lange, lateinische Namen lernen zu dürfen, rede ich jetzt mal gar noch nicht ![]()
Ich freu mich jedenfalls, dass du mit einsteigst!
@Grüni Topp Fund! Der Himmelskörper kommt mit bekannt vor!
Du bist ja ein Vassspögelchen!
Jaaa, ich bearbeite gerne Pilzbilder und mache was Anderes, was Lustiges oder Schräges draus...ein paar Beispiele davon kannst du in meinem Forumsprofil sehen, in der Bilderleiste oben, oder einfach in meinem Thread 🤪🍄Grünis/Kagis verrückte Pilzwerkstatt.
Klasse ! Spitzenaufnahme, Phillip. Ja, das mit den Phytos wird dir noch zum Verhängnis werden, ich bin auch schon angefixt! Da hockt man dann oft in der Wiese und wird müd von Passanten belächelt, was man da so tut....
Hi
Bin nicht sicher ob du vielleicht Björns Fotos meinst? Ich habe nur mit dem Händi durchs Okular fotografiert, mein Wohlgefallen an einem kleinen Pflänzchen ausgedrückt und den Verdacht geäussert, dass da vielleicht Phytos drauf wachsen könnten. Worauf dann (oh Wunder
) Björn sofort zur Stelle war.
Nein, ich meinte schon das Foto durchs Okular. Das ist eben für nur mal mitm Handy echt schön geworden und superscharf. Dass Björn bombastische Fotos macht, brauch ich ihm nicht dauernd unter die Nase reiben, sonst denkt er noch ich bin ein Groupie ![]()
mein Wohlgefallen an einem kleinen Pflänzchen ausgedrückt und den Verdacht geäussert, dass da vielleicht Phytos drauf wachsen könnten
Ja- so fängt es an..... dann
Jetzt wo ich das Standardwerk über Pflanzenparasitische Kleinpilze gekauft habe
geht es so weiter....
und bald kriechst du mit uns auf allen Vieren im Dreck ![]()
Grüezi
Hier habe ich wohl Hypomyces aurantius gefunden. Bis jetzt habe ich nur Konidien gefunden, keine Ascosporen. Aber ich denke mit der KOH-Reaktion und dem Wachstum auf einem alten Porling sollte das eindeutig sein.
Diese Aufnahme habe ich im Feld mit dem Händi durch eine 10x Lupe gemacht. Gar nicht mal so übel. Am Computerbildschirm sieht es jetzt zwar doch nicht mehr so gut aus. ![]()
KOH- Reaktion
Grüezi
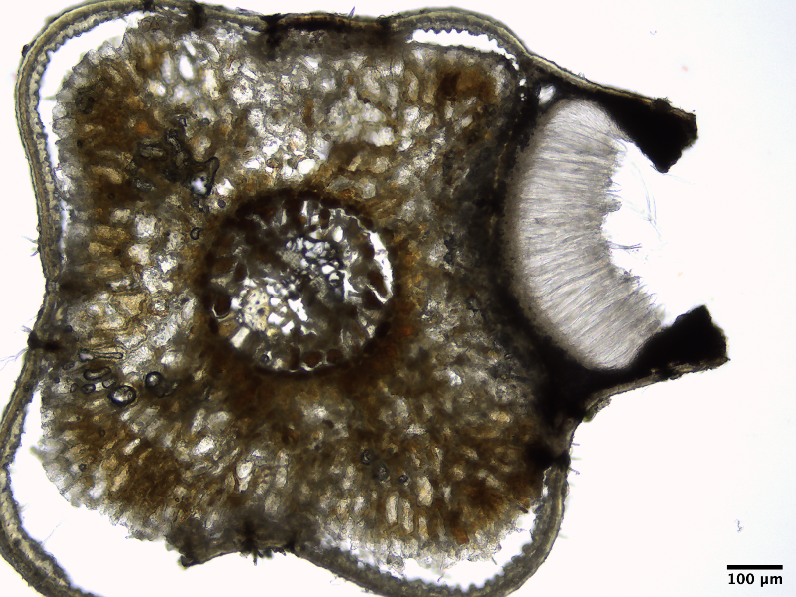
Dieser Pilz wurde heute bei der Morchelsuche (nicht von mir selber
) im Auenwald unachtsam als Morchelbecherling eingesammelt und ist dann auch noch im Stoffsack mit dem Bärlauch gelandet. Mit der Nase war also nichts mehr zu machen aber für mich sah das einfach nicht nach Disciotis venosa aus sondern nach Gyromitra. Ich habe jetzt nur ganz kurz durchs Mikroskop geschaut und habe Gyromitra parma im Verdacht. Muss aber nochmals genauer schauen wenn der vielleicht etwas nachgereift ist. Wär irgendwie schade, der ist auf der roten Liste, gilt als selten oder gefährdet und ich hab nicht mal den genauen Standort...
Grüezi
Ich habe mir die Gyromitra nochmals angeschaut, es sind jetzt reife Sporen vorhanden. Ich denke dass es sich wirklich um Gyromitra parma handelt, die Sporen sind wohl eindeutig. Foto vom Standort aus oben genanntem Grund nicht vorhanden und der abgebildete Fruchtkörper ist auch der einzige der nicht komplett zerbrochen ist weil das Sammelnetz auf dem Heimweg noch herunter gefallen ist. ![]()
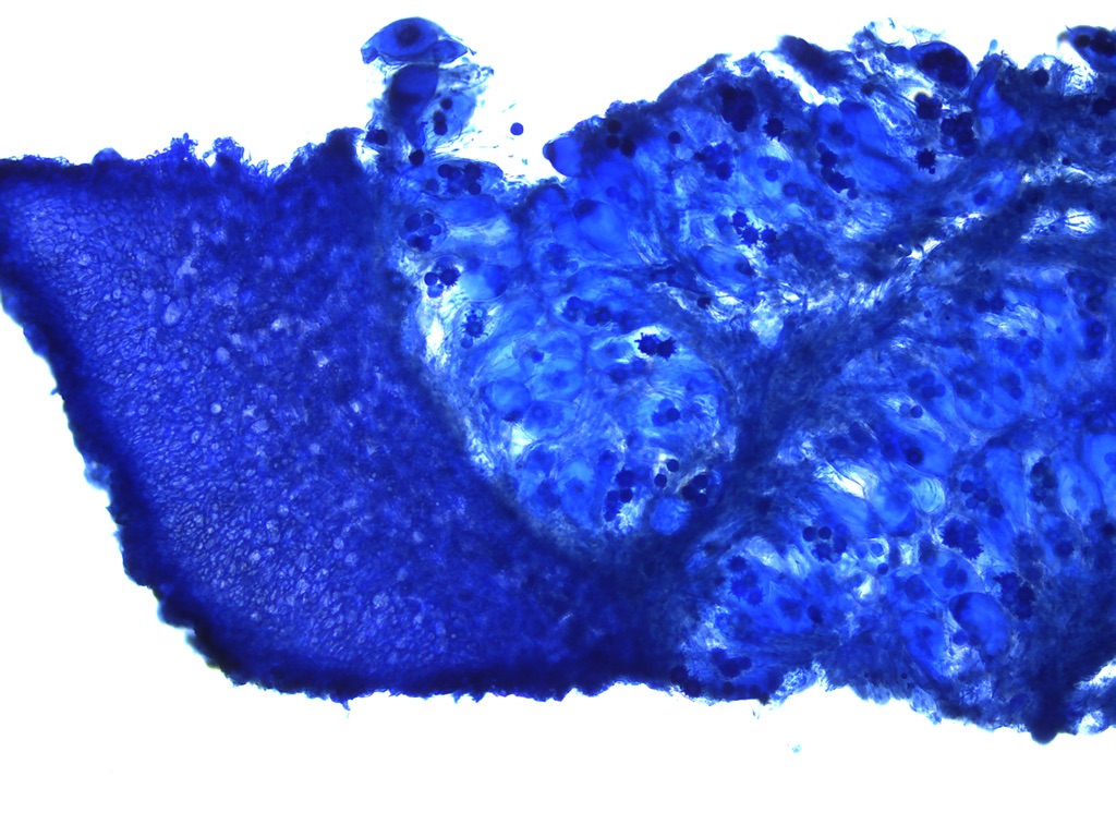
Präparat in Baumwollblau habe ich auch versucht, die Hülle beginnt aber sofort sich abzulösen wodurch die Anhängsel und das Ornament dann zwar angefärbt aber auch komplett verformt und unkenntlich sind...
Grüezi
Ich habe etwas Rehdung eingesammelt. Mach ich ab und zu wenn man schon von Auge sieht dass etwas drauf ist. Meistens vergammelt es dann aber weil ich immer noch leichte Berührungsängste habe und ich mir deshalb alles andere zuerst anschaue. ![]()
Haare farblos transparent, 305x20µm bis 516x41µ, Sporen mit Schleimhülle ebenfalls hyalin und farblos 21.7 - 23.3 - 24.7 x 8.8 - 9.3 - 9.9 µm, Asci apikal abgeflacht ca. 200x20µm, Paraphysen filiform, septiert, apikal nicht verdickt. Ich komme da auf Lasiobolus macrotrichus.
Mich irritiert es etwas, dass ich in einem Fruchtkörper Paraphysen gefunden habe, die gegabelt sind. Davon steht in meiner Literatur nichts.
Hallo Philipp,
Lasiobolus macrotrichus passt!
Die kräftigen Haare und die schlanken, nahezu spindeligen Sporen charakterisieren die Art sehr gut.
Zumindest in unseren Breiten scheint die Art auf Cerviden-Dung spezialisiert zu sein. Ich finde L. macrotrichus fast ausschließlich an Reh- und Hirschlosung.
Mich irritiert es etwas, dass ich in einem Fruchtkörper Paraphysen gefunden habe, die gegabelt sind. Davon steht in meiner Literatur nichts.
Gegabelte Paraphysen kommen in vielen Gattungen vor. Das wird in den Beschreibungen nur selten erwähnt. Ist zumindest kein bestimmungsrelevantes Merkmal.
LG, Nobi
Grüezi
Ich habe zwischen den Ahornblattstielen mit Pyrenopeziza petiolaris einen Blattstiel von Walnuss (Juglans regia) gefunden der mit Apothezien übersäht ist. Ich halte das ebenfalls für eine Pyrenopeziza, habe aber keine Ahnung welche es denn sein könnte. Hat jemand eine Idee?
Sporen 6.9 - 7.9 - 9.0 x 1.9 - 2.2 - 2,6 µm, Q = 2.9 - 3.6 - 4.5
Asci amyloid
Paraphysen apikal etwas verdickt, mit Gel o.ä. bedeckt
Erst noch habe ich die Olympus TG5 gelobt, aber heute kriege ich irgendwie keine gescheiten Bilder hin damit... Jedenfalls gehen die Fruchtkörper mit Nässe und Trockenheit auf und zu, wie hier knapp zu erkennen ist. ![]()
Schnitte
Asci
Paraphysen
Sporen
Hallo! Ich bin's nochmal! ![]()
Hier habe ich Lirula macrospora (Syn. Lophodermium macrosporum) auf Nadeln von Picea abies. Makroskopisch ist das ja eigentlich eine klare Sache, für Lophodermium piceae sind die Apothezien viel zu lang. Trotzdem wundert es mich, dass die Länge der Sporen in Ellis&Ellis mit 60µm angegeben wird, laut Quellen aus dem Internet bis 100µm, hier sind sie aber noch länger. Was mich ebenfalls verwundert, ist die Tatsache, dass es für diese Art so wenige Nachweise gibt (CH 3, D 19), für L. piceae aber so viele (CH 100, D 1244). Ist die wirklich so viel weniger häufig? Oder einfach wenig beachtet? In der Schweiz wird die Datenlage vielfach dünn, wenn der Pilz in B&K nicht drin ist. Das ist hier der Fall. Es ist dort nur unter weitere festgestellte und belegte Arten aufgeführt. Aber die Fichtenspaltlippe wird nicht einmal erwähnt.
Grüezi mitenand
Gestern habe ich Äste von Grünerle (Alnus viridis) aus kleinen Bächen auf 1800m Höhe gefischt um eine Vibrissea zu finden. Ich musste nicht lange suchen und fand tatsächlich einige Apothezien.
Die Apos sind max. ca. 2mm, die Asci etwa 400x11µ, der Porus amyloid, die Sporen etwa 280µ lang die Paraphysen teilweise gegabelt. Direkt innerhalb des Ectal Excipulums (inner ectal excipulum?) ist eine amyloide Schicht. Mit Dennis, Ellis&Ellis und komme ich da auf Apostemidium leptospora, mit diesem Schlüssel auf Vibrissea decolorans. Im Verbreitungsatlas von Swissfungi wird Apostemidium leptospora mit Verweis auf Index Fungorum als Synonym von Vibrissea decolorans angegeben. Dort steht das aber nicht so, siehe hier. Versteh ich nicht ganz.
Grüezi
Ich habe lange nichts mehr gepostet... Dabei hätte ich genug Zeug.
Trochila ilicina, das Stechpalmen-Deckelbecherchen.
Trochila craterium, das Efeu-Deckelbecherchen.
Ebenfalls sehr leicht zu finden ist Trochila laurocerasi, das Kirschlorbeer-Deckelbecherchen. Davon habe ich keine Bilder gemacht, aber ja, auf Kirschlorbeer wächst tatsächlich ein Pilz.
Aeruginoscyphus sericeus habe ich drei Mal gefunden, jeweils auf Eichenstümpfen. Ja, ich hätte die kleinen Dinger etwas vom Dreck befreien sollen. ![]()
Byssonectria carestiae gefunden auf etwa 2000m.
Choiromyces maeandriformis, der Stachelsporige Mändertrüffel.
Hydnocystis bombycina, Gelbe Seidentrüffel
Sclerotinia cirsii-spinosissimi, Alpenkratzdistel-Sklerotienbecherling
Wasser
IKI+
Sporenabwurf in Wasser. Sporen elipsoidisch, schwach asymetrisch, mit 2 Nuclei
Sporen(1000-fach, 95%, n=25): 11.86-13.18-14.5 x 6.01-6.9-7.78µm; MW-Grenzen: Lm x Dm=12.91-13.45 x 6.71-7.08µm; Qm=1.87-1.96
Croziers (+)
Sklerotium
Helvella corium
Sporenabwurf in Wasser:
| Sporen(1000-fach, 95%, n=21):16.71-19.7-22.68 x 11.53-12.75-13.96µm; MW-Grenzen: Lm x Dm=19.04-20.35 x 12.48-13.01µm; Qm=1.49-1.61 |
Haken (-)
Melastiza tetraspora. Wurde bis jetzt nie eingetragen im Schweizer Verbreitungsatlas, ist aber kein Erstnachweis weil der Typus aus der Schweiz stammt. Ich habe ihn auch nicht selber gefunden, in der Studienwoche des Pilzvereins letzte Woche hat den jemand gefunden und mir netterweise den Ort verraten.
Der Pilz bildet zuerst acht Sporen, wovon im Lauf der Entwicklung aber 4 verkümmern. Sieht man auf den einen Bildern sehr schön.
Die Erstbeschreibung von Dissing gibt es hier auf Ascofrance, geschlüsselt wurde mit diesem Schlüssel.
Sporenabwurf in Wasser ohne Ornament:
| Sporen(1000-fach, 95%, n=35):15.5-17.09-18.67 x 11.53-12.79-14.06µm; MW-Grenzen: Lm x Dm=16.82-17.36 x 12.58-13.01µm; Qm=1.31-1.36 |
Trichopezizella rubroguttata
Petrakia liobae. Der breitet sich hier auf Buchen rasant aus. Im Sommer werden auf den Blättern Diasporen/Propagulen gebildet worauf der Baum die befallenen Blätter verliert. Im Frühling wird dann in der Streuschicht der Telemorph gebildet den ich weiter oben mal gezeigt habe.
Super tolle Bilder und Arten von denen ich noch nie gehört habe, vielen Dank fürs teilen deiner interessanten Funde!
LG, Chris
Grüezi mitenand
Am 16. August habe ich in einer Studienwoche einen Pilz gefunden, der auf den ersten Blick aussah wie Petrakia liobae (siehe oben). Allerdings war die Wirtspflanze nicht Buche sondern Grünerle. Ich habe dann etwas im Internet recherchiert und bin darauf gekommen, dass es sich um Mycopappus alni handeln könnte. Mein Bekannter beim WSL fand das so interessant, dass ich ihm auf dem Heimweg direkt eine Probe zum sequenzieren abgeliefert habe. Ich habe nicht nochmals nachgefragt, aber da mein Fund mittlerweile im Verbreitungsatlas als Mycopappus alni eingetragen ist gehe ich davon aus dass bei der Sequenzierung nichts anderes herausgekommen ist.
Der Pilz ist bis jetzt bekannt aus Nordamerika, Japan, Russland jenseits des Ural und der Türkei jenseits des Bosporus. Es handelt sich wohl um einen Erstnachweis für Europa.
Grüezi
Ich habe hier schon lange nichts mehr gepostet... Mich hat es schon lange genervt, dass ich Orbilias nicht bestimmen kann, obwohl ich mein Mikroskop und die Präparation mittlerweile ganz akzeptabel beherrsche. Darum habe ich einfach angefangen auf Ascofrance um Rat zu fragen.
Orbilia phragmotricha auf Rinde von Salix spec.
Ja, auf dem Makrophoto ist zweimal das gleiche Apothecium in verschiedener Vergösserung zu sehen. Ich war so überfordert mit dem Bildbearbeitungsprogramm, dass ich das erst viel später gemerkt habe. ![]()
Orbilia cejpii auf Juglans regia zusammen mit Peniophora incarnata.
Orbilia poitevinica auf Rinde von Fraxinus excelsior. Diese habe ich letztes Jahr am gleichen Ort schon gefunden, konnte sie aber nicht bestimmen. Da war ich natürlich super stolz, dass ich es diesmal ganz alleine geschafft habe und auf Ascofrance nur nach Bestätigung gefragt habe. Nachher habe ich dann gemerkt, dass Felli vor einem Jahr, eine Seite weiter vorne, eigentlich schon den richtigen Bestimmungsvorschlag geliefert hatte. ![]()
Orbilia aristata auf unbekanntem Substrat.
Ich hoffe ich habe keine Bilder durcheinander gebracht. ![]()
