Hallo,
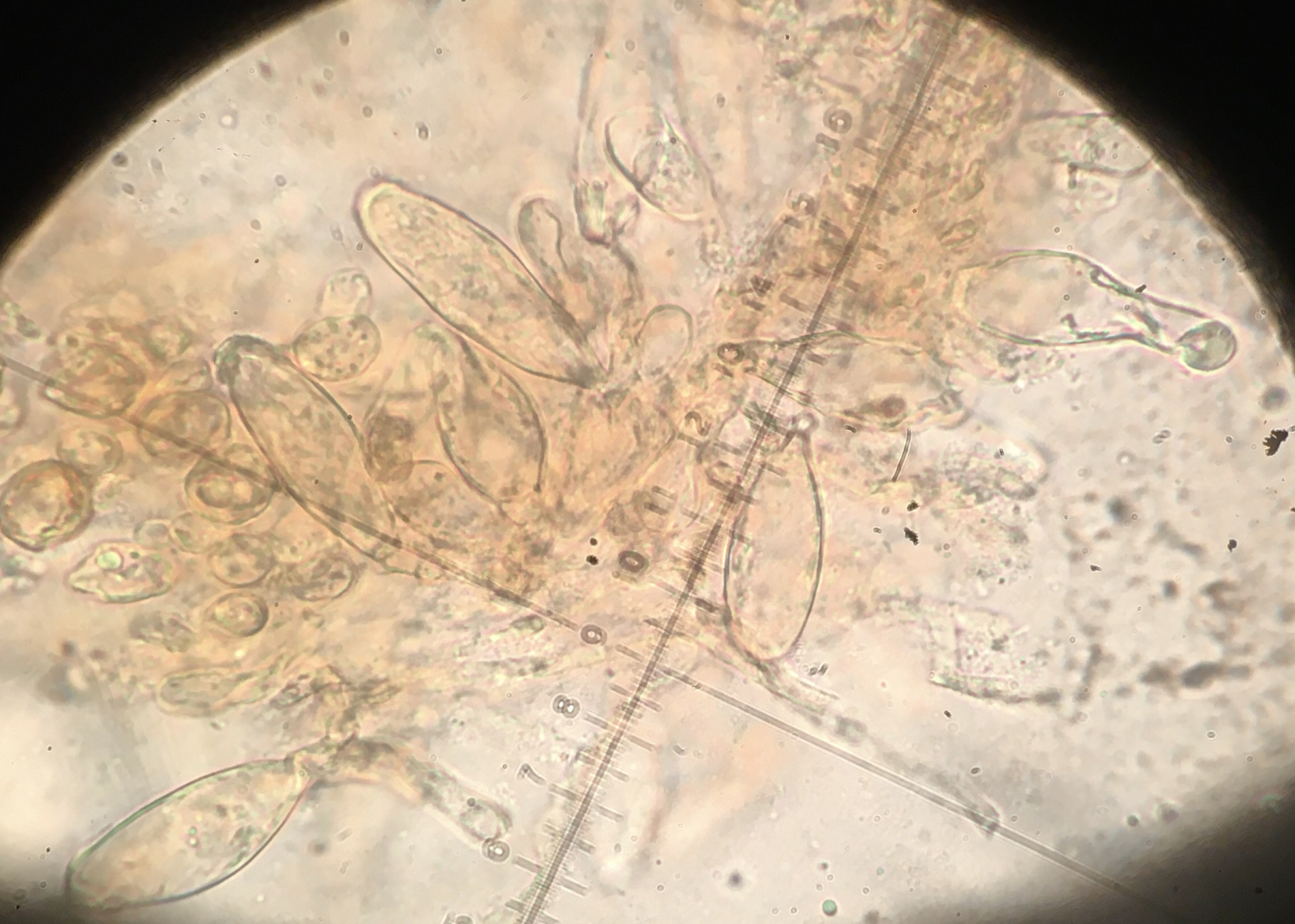
heute habe ich mir wieder mal eine Inocybe mitgenommen, da ich sie recht auffällig finde. Sie wuchs auf einem schon zerfallenden Nadelholzstumpf, sah aus als würde sie an Holz wachsen. Die erste Idee I. lacera passt leider nicht, die Sporen haben eine andere Form. Sie messen 8-9 x 5-6.
Kann mir jemand weiterhelfen?
Lg
romana
