resupinater Porling - Ceriporia purpurea
- romana
- Erledigt
Es gibt 19 Antworten in diesem Thema, welches 7.484 mal aufgerufen wurde. Der letzte Beitrag () ist von Beorn.
-
-
Hallo, Romana!
Makroskopisch erinnert das an Ceriporia viridans.
Die grünt manchmal auch etwas, rötet aber eben auch. Bei Berührung und (so wie etliche andere Arten der Gattung) auch mit KOH 5%.Müsste man natülrich reinlinsen, nicht daß es doch eine der Arten aus der purpurea - Fraktion ist.
Ceriporia viridans (rötend) zum Vergleich, junge Fruchtkörper sind freilich heller und weißer als ältere.LG, Pablo.
-
Liebe Romana,
weitersuchen unterm Mikro wäre mein Tipp,
LG
Peter
-
Hallo Pablo,
danke für deinen Tipp - ich werde mir den Pilz mal etwas genauer ansehen und mikroskopieren. Was bin ich froh, dass du dich da so gut auskennst!
Lieber Peter,
da mir die Literatur fehlt, versuche ich erstmal, eine Richtung zu bekommen, dann mikroskopiere ich die Pilze bei Bedarf selbstverständlich. So weiß ich zumindest, wonach ich suchen muss.
Hoffe, es geht dir gut!
LG
romana
-
Hallo Pablo,
die Sporen alantoid und messen 4,5-7 x 1,7-2, da sind sie für Ceriporia viridans wohl zu groß, aber ich denke, die Richtung stimmt.
LG
romana -
-
Hallo Romana,
makroskopisch und deiner Sporenangabe folgen, könnte es Ceriporia mellita sein. Sie gehörte früher zum C. purpurea- Komplex und wurde dann als Ceriporia herinkii beschrieben (jetzt Synonym). Sie ist in Europa nicht selten. In Deutschland habe wir erst vier Fundpunkte, was sicher nicht der tatsächlichen Verbreitung entspricht.
LG
Frank
-
Hallo Frank,
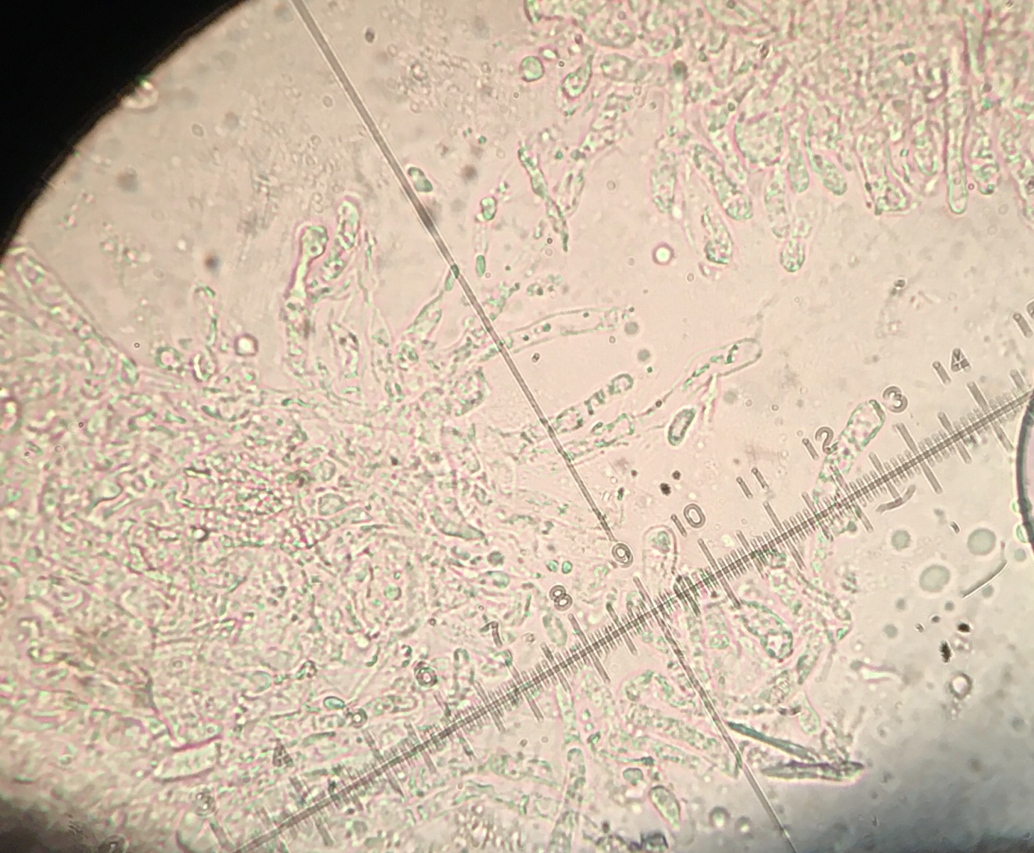
C. mellita sieht meinem Fund tatsächlich sehr ähnlich. Ich habe den Pilz heute nochmal mikroskopiert und keine Schnallen gefunden. Mit der Interpretation der mikroskopischen Strukturen tu ich mir noch etwas schwer, aber ich denke, er ist monomitisch und dass ich auch Oleiferen gefunden habe.
Ich hänge mal meine Mikrobilder an und hoffe, man kann was erkennen.
Vielen Dank für die Bestimmungshilfe!
LG
romana
-
MoinMoin!
Ceriporia mellita kann tatsächlich so große Sporen entwickeln?
Ui, dann müsste ich eventuell noch mal genauer hingucken bei einigen meiner purpurea - Funde.
Die erste mellita hattest du mir bestimmt, Frank, das war die hier:Später sind mir an einer Stelle nicht weit entfernt noch mal viel jüngere Fruchtkörper begenget:
Bei beiden habe ich keine Sporen bis 6µm Länge messen können, wenn ich mich richtig erinnere. Aber die erste war eben schon recht alt, und die Sporen spärlich, die zweite vielleicht noch zu jung und die Sporen nicht ganz ausgereift.
LG; Pablo.
-
Hallo Romana und Pablo,
die exakteste Sporenmessung von Bernard Rivoire bei Ceriporia mellita ist in seinem neuen Buch: (4,7)5,5-6,5(6,9) x (1,4)1,5-1,7(1,9) µm.
Romana liegt also nur unbedeutend drüber. Kann aber auch eine normale Abweichung der Kalibrierung sein.
@Romana- kannst mir den Fund zur Begutachtung gern mal schicken,
LG
Frank
-
Lieber Peter,
da mir die Literatur fehlt, versuche ich erstmal, eine Richtung zu bekommen, dann mikroskopiere ich die Pilze bei Bedarf selbstverständlich. So weiß ich zumindest, wonach ich suchen muss.
Hoffe, es geht dir gut!
LG
romana
Liebe romana,
thx der Nachfrage, mir geht's guat. Literatur? Rezente Schlüssel?
zZ finde ich nix Aufregendes, würde es aber so wie du machen, geile Funde hier fragend einstellen,
LG
Peter
-
Bon Soir!
Ich glaube, ich hätte gerne dieses Buch.
Wenn ich Messwerte notiere, dann eigentlich nur die durchs Messokular genommenen. Da runde ich aber in der Regel schon auf 0,5 µm, alles andere liegt eh schon so weit im Unschärfenbereich, daß das mein Mikro nicht mehr wirklich auflösen kann.
LG; Pablo.
-
Servus Pablo,
0,5 µm ist ein vernünftiges Maß. Allerdings habe ich noch keine Sporen mikroskopiert, bei denen es sich mit 1 µm nicht ausgegangen wäre,

Blöd nur, wenn Sporen nach gängigen Schlüsseln perfekt zu einem Pilz passen, der Pilz aber nicht zu den Sporen. Klarheit schafft die Sequenzierung ----> sooo dürfen die Sporen auch aussehen, kommt dann heraus,

R. A. Maas Gesteranus und Petr Hrouda sind bei den terrestischen Stachelingen meine Literatur/Bestimmungsschlüssel, die ich nicht mehr eins zu eins anwenden kann, den Fall kennst du.
Den zweiten auch, das Ganoderma lucidum Problem. Da haben wir beide den rezenten Schlüssel zur Hand, von vielen sequenzbasierten Studien aber nicht.
Solch' ein Buch wird vermutlich nie geschrieben werden, aber ich glaube so wie du, dass ich es auch gerne hätte,

LG
Peter
-
Hallo, Peter!
Wenn man sich mit einem Thema beschäftigt, will man (und braucht man) eben so viele gute Quellen wie möglich.
Wenn Bernard Rivoire ein Buch herausgegeben hat, in dem es um Porlinge geht, dann ist das für mich natürlich gleich mal hochinteressant.
Das meinte ich damit, daß ich "das Buch" haben will.
LG; Pablo.
-
Jo mei,
i bleib' literarisch bei den Norwegern, noch,

LG
Peter
-
Servus!
Ich werde den Skandinavischen Autoren auch treu bleiben - aber je mehr gute Darstellungen man vergleichen kann, desto besser.
Es gibt so viele gute Mykologen in so vielen Ländern, von denen ich mir möglichst wenig entgehen lassen will.
Übrigens, da du ja auch ein Literatur- und Quellensucher bist: >eine der besten Rindenpilzseiten überhaupt<. Zwar keine Porlinge, aber in Sachen Rindenpilze eine meiner Standard - Anlaufstellen, wenn ich einen Fund vergleichen will oder nach Quellen / Literatur zu einer Gattung oder Art suche. Gehört unbedingt in dei Favoritenleiste, wenn man sich mit Rindenpilzen iwS beschäftigt.LG; Pablo.
-
Servas Pablo,
danke für den Link, schon gespeichert,

Wenn ich mich richtig erinnere hat Gernot F. Dr., die seit vorigem Jahr besonders im Visier. Cool, damit habe ich zwei Optionen, wackelige Fund hier oder in der Funga Austria - Funga Austria einzustellen,LG
Peter
-
Hallo Frank,
vielen Dank für dein Angebot, meine Pilz zu begutachten. Ich hatte ihn zu diesem Zeitpunkt schon an Irmgard übergeben und sie hat ihn als Ceriporia purpurea bestimmt, für C. mellita waren die Sporen zu groß.
Danke für deine Bestimmungshilfe, die uns den Weg doch abgekürzt hat!
LG
romana
-
romana
Hat den Titel des Themas von „resupinater Porling“ zu „resupinater Porling - Ceriporia purpurea“ geändert. -
Hallo romana,
vielen Dank für die Info. Dann ist ja dieser Fund erstmal "abgehakt".
@Pablo- Wenn du dir das Buch von Bernard Rivoire bestellen willst, sende ich dir seine Email-Adresse. Es ist allerdings in französisch, nur Schlüssel sind zusätzlich in englisch.
LG
Frank
-
Hallo, Frank!
Das wäre famos, denn ich habe tatsächlich schon gesucht - aber nichts gefunden, was sich irgendwie bestellen ließ.
Eilt auch nicht, dachte ich, weil die Literaturkasse momentan ohnehin vor allem Leere aufweist. Das ändert sich aber ja wieder, und dann schadet es auch nichts, wieder etwas mehr Französisch zu lesen und zu lernen.LG; Pablo.
