unbekannt
- coprinusspezi
- Erledigt
Es gibt 6 Antworten in diesem Thema, welches 2.873 mal aufgerufen wurde. Der letzte Beitrag () ist von coprinusspezi.
-
-
Hallo Hans,
ich denke, dass es der gleiche ist wie von der Folgeanfrage.
Irgendwas ist da mit den Maßen schiefgegangen.
Alles andere würde mich sehr wundern.Liebe Grüße vom Nobi
-
-
Für mich ist das auch P. australis Hans. Die Makros sind sogar vorbildlich für diese Art.
-
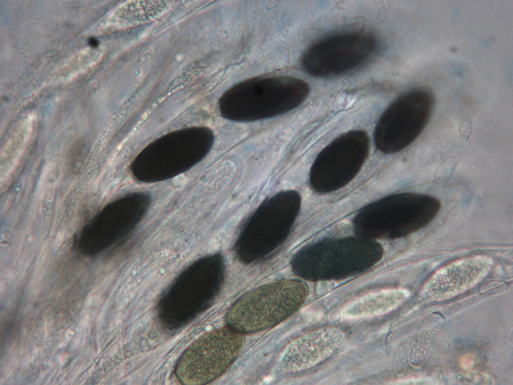
Hallo Ralf
aber die Sporen sind doch zu klein und so ganz wollen die mir auch nicht so passen!
-
Hmm.
Wie Ralf schrieb. Makroskopisch eine ganz typische Podospora australis, lieber Hans.
Aber wenn die Sporen tatsächlich so klein sind?
Den würde ich mir gern selbst anschauen.
Könntest Du mir etwas abtrocknen und schicken?
Liebe Grüße vom Nobi
-
Hallo Nobi
Wenn ich die noch mal finde gerne.
Ich könnte dir wohl eine andere anbieten, siehe Unbekannte behaarte in grün!
Liebe Grüße Hans
