Hallo Fories,
bei uns bewegen sich die Temperaturen in den letzten Tagen zwischen -1 bis + 8 Grad. Einen Fund aus 2015 begleite ich um dieses Jahreszeit, den habe ich angetroffen.
Zwei weitere kleine Pilzchen auch, ich habe keine Ahnung, welche.
Zu diesem habe ich mir notiert,
Fundort: Waldrand, Buche/Kiefer/Ficht, Laubstreu,
Hut: 2,5 cm, rissig, grau, in der Mitte dunkler, glatt.
Lamellen: anatomisierend, (mit Burgraben?) am Stiel herablaufend, untermischt. Schneide deutlich heller als Lamelle.
Stiel: 5 cm, Farbe ähnlich wie Hut, Durchmesser ~ 1 mm, faserig, Mycel weis.
Geruch: nicht wahrnehmbar
Geschmack: nicht festgestellt
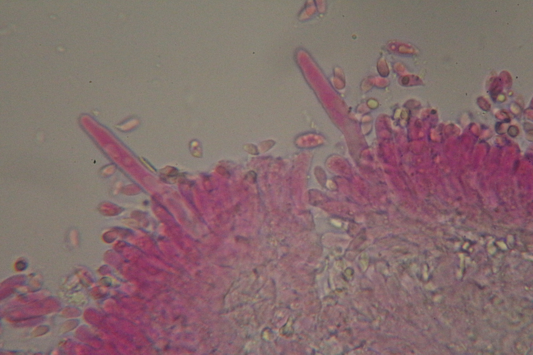
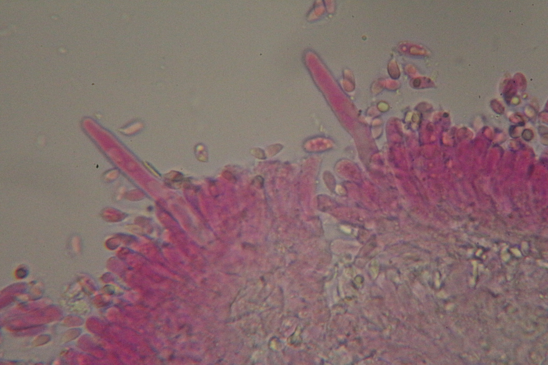
Mikroskopiert habe ich Lamellenpräparate in Wasser + Melzer, in KOH3%, Wasser + Kogorot.
Sporen, 6-8 x 4-5m µ,
Falls ich diese Aufnahmen richtig interpretiere habe ich Basidien aufgenommen, Lamellenschneide
Lamellenmitte,
Mir kommen die komisch vor, so ohne Sterigmien, die Sporen scheinen nicht ausgereift zu sein. Gibt es überhaupt einsporige? Oder werden hier Konidiensporen gebildet? Zystiden habe ich keine gefunden.
Pilz Nr. 2 habe ich im Kühlschrank, der kommt noch unters Mikro. Aber vielleicht könnt ihr mir einen Tipp geben, in welcher Gattung ich suchen könnte.
Notizen:
Fundort/Substrat: wie Pilz Nr. 1, einen Meter davon entfernt.
Hut: 1,5 cm, glockig, dunkelbraun, zum Rand hin gelblich, glatt
Lamellen: hell, rel. dicht stehend, untermischt, am Stiel schwach angewachsen
Stiel: 2 cm, Durchmesser 2-3mm kompakt, dunkelbraun, zur Basis hin dunkler, Zystiden unter der Lupe erahnbar.
Ich bitte um eure Meinungen dazu,
LG
Peter
