Groote Heide Venlo NL 11.11.2017

Es gibt 15 Antworten in diesem Thema, welches 6.599 mal aufgerufen wurde. Der letzte Beitrag () ist von Beorn.

  • Hallo zusammen,


    huete hat es mich mal ins Ausland gezogen. Es ging über die Grenze nach Venlo in die Groote Heide in der Hoffnung dort den ein oder anderen seltenen Wiesenpilz zu Gesicht zu bekommen. Es hat auch keine fünf Minuten gedauert, bis ich die erste Keule eingesammelt hatte - leider kamen in den dreieinhalb Stunden danach aber keine weiteren dazu. Gelohnt hat sich das ganze meiner Meinung nach aber trotzdem:


    1. Hier tappe ich momentan im Dunkeln... vielleicht Omphaliaster asterosporus?


    2. Der muß wohl unters Mikroskop


    3. Die besagte Keule, wohl auch ein Fall fürs scharfe Glas.


    4. Cuphophyllus virgineus




    5. Helvella lacunosa s.l.



    6. Rickenella swartzii


    7. Helvella atra?



    8. Ein weiterer Fall fürs Mikroskop


    9. Suillus luteus


    10. ???


    11. Rhizopogon sp.???




    12. Ich denke, das dürfte Suillus bovinus sein


    13. Tremella mesenterica


    14. Amanita muscaria


    15. Pycnoporus cinnabarinus


    16. Ascocoryne sarcoides


    17. Fomitopis betulina


    18. Polyporus brumalis? Auf Birke




    19. Lactarius turpis


    20. Alter Bovist oder Stäubling? Solche Leichen standen dort in großer Zahl rum und waren ziemlich imposant anzuschauen


    21. Hygrocybe conica



    22. Melampsoridium betulinum






    23. Phragmidium violaceum




    Und zum Abschluß noch zwei Cladonien:


    Björn


  • Hallo Björn,


    die besagte Keule hört in D vermutlich auf den Namen "Clavaria krieglsteineri", in NL benutzt man für dieselbe Art meist den Namen "C. daulnoyae".


    Wichtig (aber schwer zu finden) sind die offenen Schnallenbögen an den Basidien. Um sie zu finden, muss man den Pilz in einem "Gleitmittel" (z.B. "L4" oder 3% KOH) sehr fein zermatschen. Die Sporen von 4-sporigen Basidien sind 7-9 x 4-5 my.



    (1) könnte auch ein Rötling sein, aber das wird das Mikroskop schnell zeigen...


    Gruß,


    Wolfgang

  • Hallo Björn,


    das sind doch schöne Funde.


    Bei 10. würde ich in Richtung Schwindling denken. Die Unterseite verrät da mehr.


    11. Gelber Wurzeltrüffel, bin aber nicht sicher. (Rhizopogon obtextus). Da gab es auch kürzlich einen ausführlichen Thread hier.


    Den Kuhröhrling kann man auch nur über die Unterseite wirklich verlässlich abgrenzen (zum Sandröhrling).


    20. ist klar, ein alter Bovist/Stäubling, der die Sporen freigegeben hat. Ich denke Kartoffelbovist, wegen der Form. Und weil er dickschalig wirkt. Da gibt es natürlich noch andere, die ähnlich aussehen.


    LG Joseph

  • Moin Björn,


    da stimme ich Dir zu. Die Wiesenrunde hat sich wirklich gelohnt.
    Alles schöne Fund, die Du uns zeigt. :thumbup:


    Danke für die Mühe des Einstellens.

    Grüße aus dem Moseltal

    Marco
    ----------------------------------------------------------------------------
    Wenn das Leben Dir einen Korb gibt... geh Pilze sammeln. ==18

  • Hallo Björn


    Das sieht ja aus wie im Depot ;)
    Nr. 1 kann sehr gut ein Rötling sein
    Nr. 2 & 8 Neottiella wahrscheinlich. Da braucht man das Sporenornament.
    Nr. 3 sehe ich genau wie Wolfgang. Es gibt aber noch eine Art mit schon jung deutlich brauner Stielbasis, die mglw. noch nicht beschrieben ist.
    Nr. 7 atra ist klar
    Nr. 9 ohne Blick von unten keine Chance. Arrhenia rickenii kommt an solchen Standorten noch gerne im Nov. aber da erscheint mir der Stiel zu lang. Gab es noch grünblaue Farbtöne?
    11. Bei Kiefer kommt momentan R. obtextus = luteolus oft noch reichlich
    20. Hasenstäubling ist am wahrscheinlichsten


    LG Karl

    • Offizieller Beitrag

    Hi.


    ich glaube nicht, daß die schlanksporigen und eher zierlichen "krieglsteineri" - Keulchen das Gleiche sind wie diese dicken, fettkeuligen und breitsporigen Dinger, die ich momentan prophylaktisch als "daulnoyae" bezeichne. Die Sporenform dieser "ccf daulnoyae" wäre eher die von C. falcata, aber makroskopisch ist das eben was ganz anderes.


    Nummer 1 kann auch gut eine Arrhenia aus der Gruppe um >A. obscurata< sein, wo man aber nicht nur ein paar mikroskopische Details (Sporen, Pigment der Lamellentrama, Schnallen) sondern auch einige recht schwer einschätzbaare makroskopische Details braucht...
    So wären hier die Lamellen fast zu kurz herablaufend und nicht entfernt genug, wobei es aber Sinn macht, immer Kollektionen mit mehreren exemplaren zu beurteilen.


    Bei 10 meeine ich auch blaue Farben zu sehen. Aber auch da bin ich unsicher, ob eine Arrhenia chlorocyanea so ausblassen kann. Vor einiger Zeit hatte Enrico mal so >merkwürdige blaue Nabelinge<.



    LG, Pablo.


  • Hi.


    ich glaube nicht, daß die schlanksporigen und eher zierlichen "krieglsteineri" - Keulchen das Gleiche sind wie diese dicken, fettkeuligen und breitsporigen Dinger, die ich momentan prophylaktisch als "daulnoyae" bezeichne. Die Sporenform dieser "ccf daulnoyae" wäre eher die von C. falcata, aber makroskopisch ist das eben was ganz anderes.


    Hi Pablo und alle,


    ich habe auch schon dicke, fettkeulige Dinger gefunden, aber ein Unterschied in der Sporenform ist mir noch nicht aufgefallen.


    Ich finde das interessant, irgendwann nehme ich mir die mal vor - bitte Aufsammlungen mit Foto + Exsikkat aufbewahren.


    Leider wird in der Literatur da so einiges wahllos synonymisiert - mit welcher Literatur bist Du auf den Namen daulnoyae gekommen?


    Grüße,



    Wolfgang

    • Offizieller Beitrag

    Hallo, Wolfgang!


    Von denen hier:
    Clavaria daulnoyae a.JPG

    habe ich einen Beleg angefertigt.


    Von denen hier:

    müsste ich gucken, oder den nochmal einsammeln. ich weiß ja, wo die wohnen. Das sind auch zwei verschiedene Standorte (die Sporen beim zuletzt gezeigten unwesentlich schmäler.


    Wenn sich ein "Arbeitskreis" finden ließe, um in der Gruppe (Clavariaceae) noch ein wenig "Unruhe zu stiften", wäre ich gerne dabei, im Sinne vom Sammeln Dokumentieren und Erfassen von Kollektionen. Idealerweise auch alles ordentlich mit Sequenzierungen, Bäumchen und Literaturabgleichen?
    Hätte ich total Lust drauf, wenn wir mit den Braunen Ritterlingen "fertig" sind. :)



    LG; Pablo.


  • Hi Pablo,


    es gibt schon ein paar moderne Arbeiten mit Sequenzierung. Zum Beispiel ist Clavaria greletii eigentlich ein Samtschneckling mit Keulenform, und Clavulina cinerea ist ein Grauer Leistling mit Keulenform.


    Bernd Oertel hat auch schon mal einen Baum gerechnet mit Ramariopsis und Clavulinopsis. Viele Arten kenne ich aus eigener Anschauung, aber gerade der tenuipes/krieglsteineri/daulnoyae - Komplex ist mir noch recht unklar. Untersuchung mit Sequenzierung - logo.


    Da besteht auch die gute Chance, dass da was bei rauskommt, weil die Arten genetisch recht gut getrennt sind, und ihnen nur einfach Makro-Merkmale zur Bestimmung fehlen.


    Bei den Ritterlingen könnte Dich die Prophezeihung einholen: "Pilze, die makroskopisch nicht trennbar sind, sind meist auch von der Sequenz sehr ähnlich". Das Kontinuum der Merkmale könnte sich dann also in einem Kontinuum der ITS-Sequenzen wiederspiegeln, und Du bist so schlau wie zuvor.


    Gruß,


    Wolfgang

    • Offizieller Beitrag

    Hallo, Wolfgang!


    Klar, daß man Untersuchungen auf den Ergebnissen aufbaut, die es schon gibt. Das fand ich bisher eine der schwierigsten Aufgaben: Literatur zu diesen Keulchen zusammenzukratzen. Ein schöner Traum wäre da irgendwann mal sowas wie eine umfassende monografische Bearbeitung zu haben. dazu braucht's natürlich ein akribisches Studium vorhandener Literatur und möglichst viele, gut dokumentierte Aufsammlungen.
    Eigentlich eine reizvolle Aufgabe, aber zeitintensiv und wohl ein Projekt für eine längere Zeitspanne.


    Wenn Clavulina cinerea zu Cantharellus cinereus gehört, dann habe ich bisher wohl stets nur die befallene C. coralloides gesehen und noch nie die "echte" C. cinerea. ;)
    Auch da wäre es ja nicht verkehrt, ein paar Mißverständnisse auszuräumen, aber theoretisch sollte Clavulina ja nicht direkt da rein gehören, wo sich bäumchentechnisch Clavaria und Ramariopsis aufhalten, oder?


    Bei den Ritterlingen könnte Dich die Prophezeihung einholen: "Pilze, die makroskopisch nicht trennbar sind, sind meist auch von der Sequenz sehr ähnlich". Das Kontinuum der Merkmale könnte sich dann also in einem Kontinuum der ITS-Sequenzen wiederspiegeln, und Du bist so schlau wie zuvor.


    kann sein. Aber auch das wäre in irgendeiner Weise ein Ergebnis.
    Das Verzwickte dabei ist ja: Ich meine durchaus verschiedene morphologische Typen innerhalb zB von "Tricholoma albobrunneum" erkennen zu können. Es ist halt dann zu überprüfen, ob sich solche morphologischen Unterschiede konstant zu einer Sequenz verhalten.
    Aber das wird sich im Grunde erst sinnvoll diskutieren lassen, wenn man zu den untersuchten Kollektionen auch die Bäumchen hat.



    LG; Pablo.



  • Auch da wäre es ja nicht verkehrt, ein paar Mißverständnisse auszuräumen, aber theoretisch sollte Clavulina ja nicht direkt da rein gehören, wo sich bäumchentechnisch Clavaria und Ramariopsis aufhalten, oder?


    Exakt - Clavulina ist eine ganz andere Familie. Clavulinopsis und Ramariopsis lassen sich übrigens sequenziell gut in zwei Gattungen aufteilen, nur "C." subtilis ist eine Ramariopsis und keine Clavulinopsis (was man auch ohne Mikroskop schon vermutet hätte, aber die Sporen sind unter Lichtmikroskop glatt) . Clavaria ist polyphyletisch.


    Ansonsten nimm nicht so wörtlich, was ich zur Clavulina cinerea geschrieben habe - es ist nur eine Art der Cantharellaceen, aber nicht die gleiche Art wie Cantharellus cinereus, genau genommen sind es mehrere Arten (2-3). Du bekommst eine E-Mail.


    Gruß,



    Wolfgang

  • Hallo zusammen,


    erst einmal ein herzliches Dankeschön an alle für die zahlreichen, informativen Beiträge!


    Zu den Pilzen:


    1. Eigentlich wollte ich mir den Pilz ja gestern Abend genauer anschauen. Leider hat er die Nacht bei mir nur sehr schlecht überstanden: Viel mehr als ein kleiner brauner Fleck ist nicht übrig geblieben. Die sterblichen Überreste habe ich dann aber trotzdem mal unters Mikroskop gelegt, wobei dann das rauskam (meine Mikroskopierkünste sind ja generell noch in den Kinderschuhen und wenn der Pilz sich dann nicht kooperativ zeigt, wird es nicht einfacher...):


    2.&8. kommen hoffentlich heute Abend unters Mikroskop.


    3. Meine Begegnungen mit Clavarien sind bisher ja noch sehr überschaubar. Bis jetzt habe ich erst zwei Funde, aber einer davon war auch Clavaria krieglsteineri und zumindest rein von der makroskopischen Optik her ist dieser Fund hier kompatibel damit. Ich hab das aktuelle Keulchen auch mal an Jan-Arne weitergereicht, der dann einen Blick durchs scharfe Glas werfen wird.


    10. Ich hatte gestern morgen, bevor es auf die APR-Exkursion ging, noch schnell ein paar Fotos gemacht. Die sind entsprechend bei Kunstlicht entstanden und waren im Original leider auch komplett unterbelichtet, weil die Kamera von der Mikroskopierei am Vorabend noch falsch eingestellt war. Mit etwas Nachbearbeitung sieht das Ganze dann so aus. Der Stiel hat schon eine leichte türkisfarbene Komponente auch wenn der Grünanteil deutlich stärker als ein eventueller Blauanteil ist.


    11. wuchs in der Tat unter Kiefer


    Björn

  • 1. Eigentlich wollte ich mir den Pilz ja gestern Abend genauer anschauen. Leider hat er die Nacht bei mir nur sehr schlecht überstanden: Viel mehr als ein kleiner brauner Fleck ist nicht übrig geblieben. Die sterblichen Überreste habe ich dann aber trotzdem mal unters Mikroskop gelegt, wobei dann das rauskam (meine Mikroskopierkünste sind ja generell noch in den Kinderschuhen und wenn der Pilz sich dann nicht kooperativ zeigt, wird es nicht einfacher...):


    Hallo Björn,
    zumindest hat sich der Pilz als Rötling zu erkennen gegeben, mit den eckigen Sporen. Ab da ist der Pilz ohnehin nicht mehr Einsteiger-kompatibel.


    Gruß,


    Wolfgang

    • Offizieller Beitrag

    Hallo,


    Björn hatte mir die Clavaria zugesteckt. Ich muss euch aber leider enttäuschen. Ich finde keine einzige verwertbare Spore. Wobei: Helvella-Sporen (oder sowas Ähnliches) hätte ich anzubieten. Der Abwurf über Nacht blieb auch komplett ergebnislos, außer dass die ohnehin schmächtige Keule trotz Abdeckung als Trockenschutz eingetrocknet ist. Sorry!


    LG, Jan-Arne

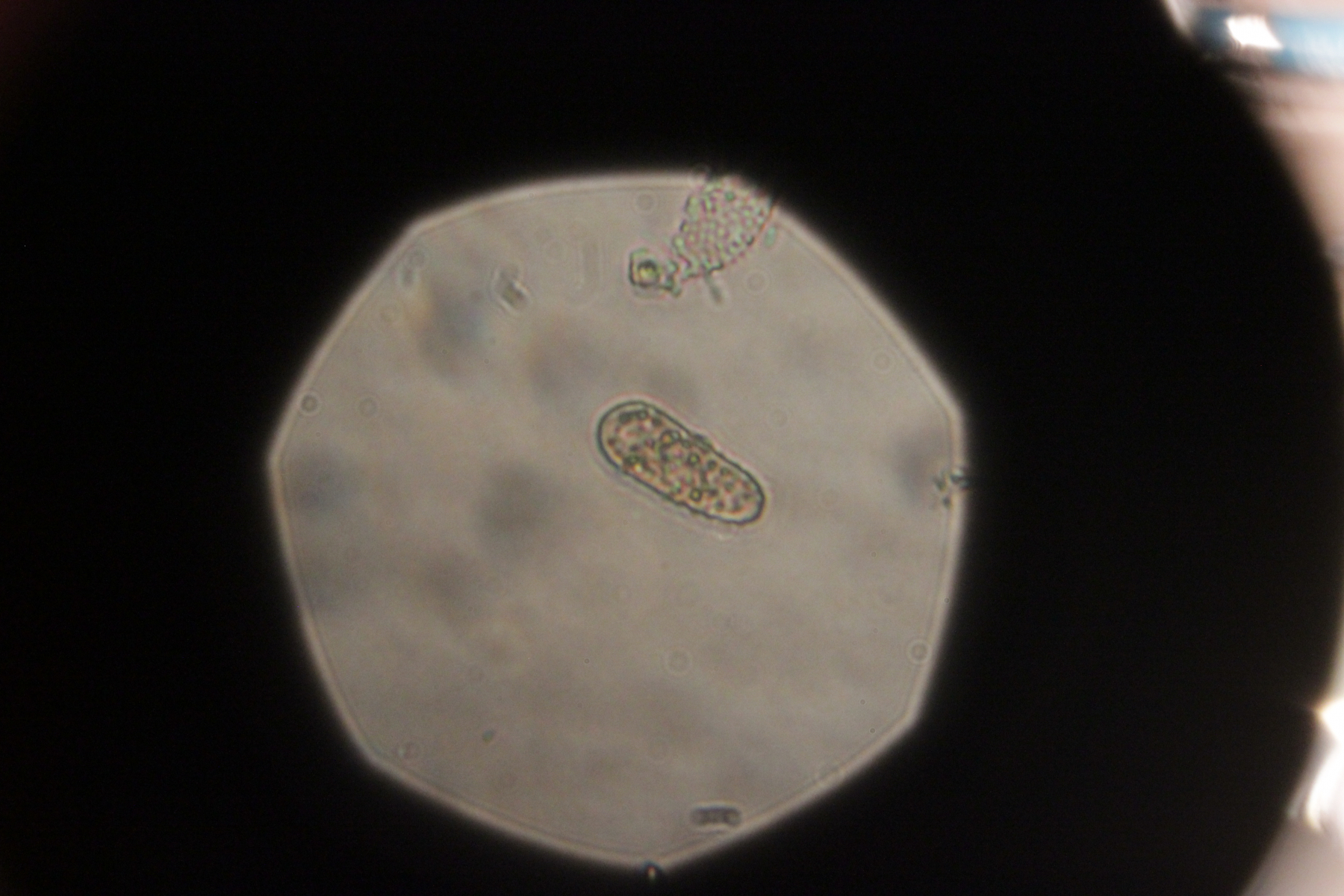
  • Hallo zusammen,


    sieht ganz so aus, als wollten die holländischen Pilze nicht wirklich mit uns reden;-) Ich hab mittlerweile auch Nummer 2 und 8 unters Mikro gelegt. Man konnte zwar erkennen, daß die Sporen bei beiden nicht glatt sind, aber ich fürchte, daß man (insbesondere ohne Anfärben mit BWB) nicht genug erkennen kann, um sich auf eine Art festlegen zu können:


    Nr. 8:





    Nr. 2:


    Und zum Abschluß noch die Helvella atra, die ihre Sporen scheinbar bis zu Jan-Arne verweht hat ;)


    Björn

    • Offizieller Beitrag

    Hallo, Björn!


    Ja, ist in der Tat schwierig. Sieht aber schon nach Sporen von bryophilen Operculis aus.
    Kongorot reicht bisweilen auch zum Anfärben, funktioniert bei mir bisweilen sogar besser als Baumwollblau.
    Man muss schon erkennen können, wie das Ornament strukturiert ist für die Bestimmung, aber wenn du das irgendwie sichtbar machen kannst, ist >diese Seite< ein guter Anhaltspunkt zur Bestimmung solcher arten.



    LG; Pablo.