Servus Roni,
hab lange gesucht und auch nichts besseres gefunden.
Hast du die Sporen im Ascus gemessen ?
Vielleicht sind die Sporen in der Breite auch etwas variabler als in der Lit. angegeben.
Grüße
Felli
Servus Roni,
hab lange gesucht und auch nichts besseres gefunden.
Hast du die Sporen im Ascus gemessen ?
Vielleicht sind die Sporen in der Breite auch etwas variabler als in der Lit. angegeben.
Grüße
Felli
Servus Sigridj
Ich denke das ist was ganz Anderes.
Bist du dir eigentlich ganz sicher dass das Asci sind?
Im ersten Mikrobild unten rechts sieht es so aus, als wenn die Sporen so aus einer Hyphe entstehen.
Dann wären das alles verzweigte Einzelsporen?
Teste das ganze mal mit Lugol, um zu sehen ob da eine "Ascushülle" vorhanden ist
Also was es ist/sein könnte, fällt mir im Moment auch noch nicht ein
Grüße
Felli
Servus Werner,
mit der Deutzie hast vermutlich recht - super
Traubenhyazinthen mal den Schütteltest gemacht um zu schauen, ob sie einen Brandpilz in den Blüten haben?
Björn, da muß ich dich enttäuschen , an das hab ich nicht gedacht
Grüße
Felli
Servus ihr Beiden,
dank euch für die nützlichen+richtungsweisenden Vorschläge
Philadelphus corona rius
überall liest man dieses Wort
Sieht auf jeden Fall sehr ähnlich aus und geht auch bestimmt in diese Richtung -
ich denke aber nicht dass es das ist!
Mal schauen was es noch gibt
Eine Poaceae sollte das nicht sein. Vielleicht eine Carex-Art.
beim Gras würde ich auch mal mit Luzula vergleichen
ja, ich denke Luzula campestris könnte hinkommen, werde es mir mal bei Gelegenheit etwas genauer ansehen
Grüße
Felli
Servus,
vor Kurzem durfte ich bei eisigem Ostwind und strahlendem Sonnenschein an die Luft.
Ich versprach mir pilzlich natürlich nicht viel, und
stellt euch vor, meine Erwartungen wurden auch dahingehend N I C H T übertroffen![]()
Habe dennoch ein paar Bildchen
Zu erst an einem Garten vorbei wo mir ein Strauch in voller Blüte begnete
Ich hab keine Ahnung was das ist !
danach ging´s über eine Trockenrasenfläche mit diesem Ergebnis:
Calvatia utriformis Hasenbovist -Überreste
Danach ein Farbtupfer in der braunen Umgebung
Die Kleine Traubenhyazinthe
Und ein blühendes Gras von dem ich den Namen nicht kenne.
Zum Abschluss noch der Beweis, dass es hier schon seit sehr langer Zeit wirklich trocken ist.
Mumifizierte Lepista/ Rötelritterlinge
wäre schön, wenn jemand zu den Pflänzchen was sagen könnte.
Grüße
Felli
Servus Sigridj
Sieht man da nicht eine 3-teilige Gelhülle?
Dann kommt doch T.minuta ganz gut hin
Grüße
Felli
Servus Nobi,
Ja genau, bei der Breite der Sporen hat ich anfangs auch etwas bedenken,
Bei Ludwig werden die Sporen ja auch mit 6,5-7,5 x 3,5-4µ angegeben.
@beli
Die Sporenpulverfarbe war schon recht dunkel.
Der rötliche Schein kommt von meiner Zusatzlampe die etwas Licht von unten beisteuert
also du kannst beruhigt sein, du hast keinen Augenfehler![]()
Grüße
Felli
Servus,
auf dem Widschweindung rührt sich Einiges,
nun sind ein paar "Großpilze" gewachsen.
Hut 5-10 mm, gebuckelt, hellbraun-graubraun-gelbbraun, Rand bis zum Buckel gerieft.
Stiel bis 60 mm, flaumig.
Sporen: braun, zylindrisch, leicht abgestutzt, mit zentralem Keimporus 5-7 x2-3µ.
Cheilozystiden+Pleurozystiden 25-35 x 6-8µ , bauchig mit zugespitztem Hals,
manchmal mit Kristallnadeln besetzt.
HDS kugelig, mit einzelnen Pileozystiden und Kristallablagerungen.
Alles in allem passt das m.M.n. zu Psathyrella tenuicola
Die Schwammerl
Stiel
Lamellenansicht
Cheilozystiden in Kongorot
Einzelne Pileozystiden
Grüße
Felli
Servus Thorben,
hast du die N. serpens var. colliculosa
schon verglichen?
Grüße
Felli
Servus Thorben,
Die Makroskopie erinnert an N. serpens
oder wegen des Apikalringes evtl eine Biscognauxia spec
wie war denn die KOH-Reaktion ?
War das Nadel-/ oder Laubholz ?
Grüße
Felli
Und hier noch 2 Arten die mit der Tanne verbandelt sind.
Die Bilder stammen von Peter P.
Ein Tannenbegleiter aus der Wulstlingsecke
Amanita pantharina var. abietis
sowie ein Ascomycet der die Zapfenschuppen besetzt
Ciboria rufofusca
Grüße
Felli
Da hab ich noch einen Frühjahrs-Tannenbesetzer der ebenfalls runde Sporen besitzt, aber wesentlich seltener gefunden wird.
Er bildet seine Fruchtkörper meistens recht früh im Jahr,
obwohl da meistens noch Schnee liegt.
Hier war er allerdings schon weg![]()
Pithya vulgaris
Grüße
Felli
und dann ist noch
sehr oft an Tanne zu finden.
Weißtannen-Haarbecherchen (Lachnellula subtilissima)
Lachnellula subtilissima kommt außer an Tanne auch sehr oft an anderen Nadelhölzern vor, vorallem an Kiefer.
Darum sollten die Lachnellula´s vorsichtshalber mikroskopiert werden,
denn oft wird man überrascht.
Grüße
Felli
Servus Stefan,
wo sind die Böden noch feucht
??????
Du hast da einer Verpel, IMHO Böhmische/Runzelverpel.
Malone ich glaube da irrst du dich, ich denke Stefans Vermutung ist richtig.
Grüße
Felli
servus,
auf jeden Fall ein Schachtelhalm,
evtl. der Ackerschachtelhalm
Grüße
Felli
Wenn es wirklich 64 Sporen sind, dann vergleich mal mit P. myriaspora
Grüße
Felli
Servus Aretah
Ascusinhalt/Sporengröße und Aussehen deuten da auf P. pleiospora hin.
Schau dir das Gehäuse im apikalen Bereich noch einmal an.
Grüße
Felli
Servus,
warum sagst du ist es nicht ein eingetrockneter S. versicolor?
Grüße
Felli
Servus,
Habe mir ein abgestorbenen Weißdornzweig unters Bino gelegt, und bin sofort fündig geworden.
Zwar recht winzig, aber auf dem nacktem Holz gut zu erkennen
Unguiculariopsis rehmii
hier nach zu schauen
https://forum.pilze-bayern.de/index.php/topic,2019.0.html
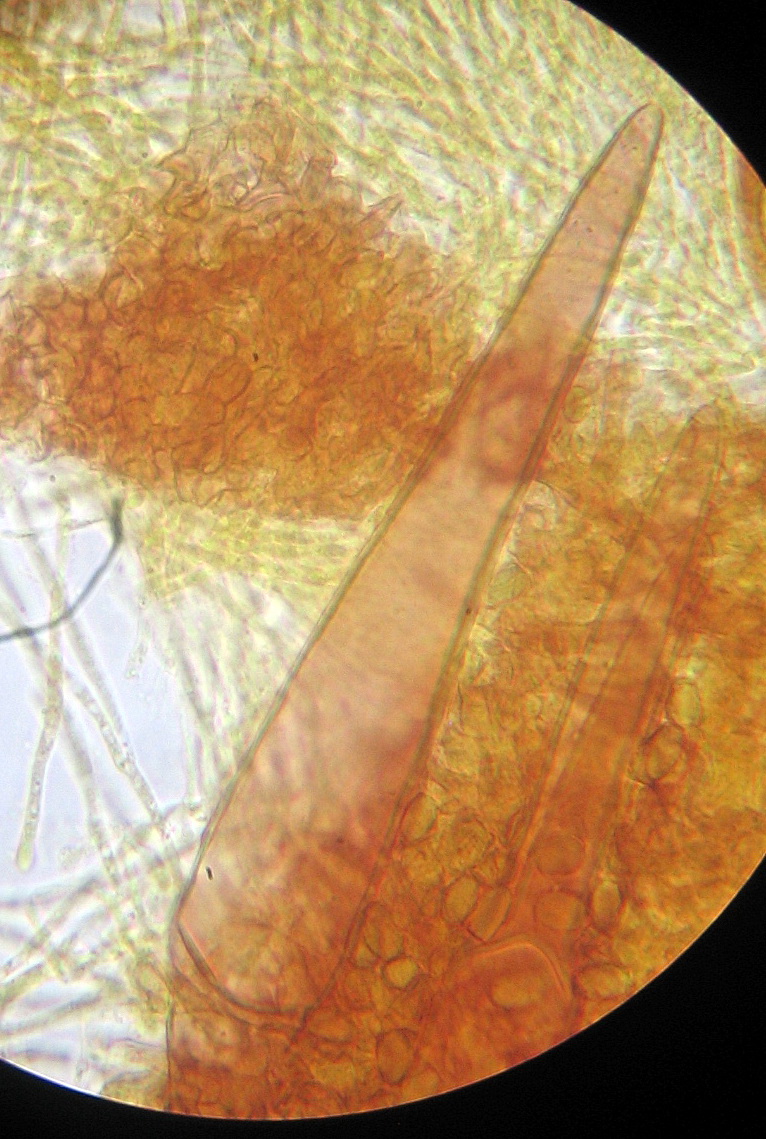
Nun aber zu den schwarzen Knubbeln
Perithecien 0,1-0,2 mm, schwarz mit kurzen Seten besetzt, kugel-birnenförmig
Seten: grau-dunkelbraun, dickwandig, 20-30 x4-5µ
Sporen: 25-31 x 4µ, hyalin mit 7 Septen, leicht gebogen.
Asci: 50-60 x10-12µ, leicht länglich keulig-bauchig, 8-sporig, IKI-
Sporen in IKI
Ich denke, auf Grund der kurzen Sporen, dass das eine noch nicht ganz reife Acanthostigma revocatum cf
ist /sein könnte.
Habe aber nichts gegen alternative Vorschläge !?
Grüße
Felli
Danke Nobi,
man findet immer wieder nette Abnormitäten - mit was sollte man sich auch sonst beschäftigen ![]()
Grüße
Felli
Servus,
Ja das glaube ich auch dass der Fall gelöst ist.
Ich war heut kurz draussen und hab mir die Kätzchen nochmal angesehen und verglichen.
Also Weide hat definitiv gestielte Staubblätter.
Pollen
dagegen sind die Staubblätter im ersten Beitrag ungestielt und passen damit besser zur Pappel.
Zur Vervollständigung noch die Staubblätter der Erle
Pollen genetzt
Grüße
Felli
Servus ,
Habe mein Wildschweinhaufen heut kontrolliert und gleich verm. 2 versch. Lasiobolen gefunden
1. einmal in gelb
Sporen: 15-17 x 9-10µ,
Paraphysen fädig x 2µ und
Asci 170-200 x 18µ
Seten relativ kurz 80-150 x 18-25µ,
mit IKI gibt es da eine leicht rötliche/rosa Verfärbung
Da denke ich dass ich bei Lasiobolus intermedius richtig liegen könnte.
Bei Nr. 2.
bin ich mir nicht sicher.
der Pfeil zeigt eine Sete
Apo: 0,5-0,7mm, weiß-creme,
Die Mikromerkmale sprechen aber für L. ciliatus
sogar fast leicht gestielt
Sporen: 20-22-x11-13µ
Asci: 250-300 x 22-28µ
hier in ChloralSchwarz
IKI-
Seten fehlend oder nur sehr wenige am Fruchtkörper zu finden
wenn welche da sind dann relativ kurz 150 x 20µ
Was meint ihr?
Grüße
Felli
