Porling an Nadelholz

Es gibt 6 Antworten in diesem Thema, welches 1.177 mal aufgerufen wurde. Der letzte Beitrag () ist von Tomentella.

  • Hallo zusammen,


    ich war am letzten Samstag im Wuppertaler Arboretum, einem Wald in dem verschiedenste Bäume in Rein- und Mischkultur gepflanzt sind um sie auf ihre Eignung als Forstbäume der Zukunft zu untersuchen. Das ist einerseits sehr nett, weil man dann auch im Flachland mal die Chance auf Pilze an Tannen bekommt, andererseits auch sehr ernüchternd, weil dort sehr wenig Totholz im Wald liegt. Außerdem ist die Bestimmung der ganzen exotischen Bäume natürlich alles andere als trivial. An einer Stelle gab es dann einen stehenden, mehrere Meter hohen Stumpf eines Nadelbaums (Sumpfzypresse?, Mammutbaum?), am dem sehr zahlreich ein weißlicher Porling wuchs. Leider entpuppt sich die Bestimmung als schwierig.


    Pilz am Fundort


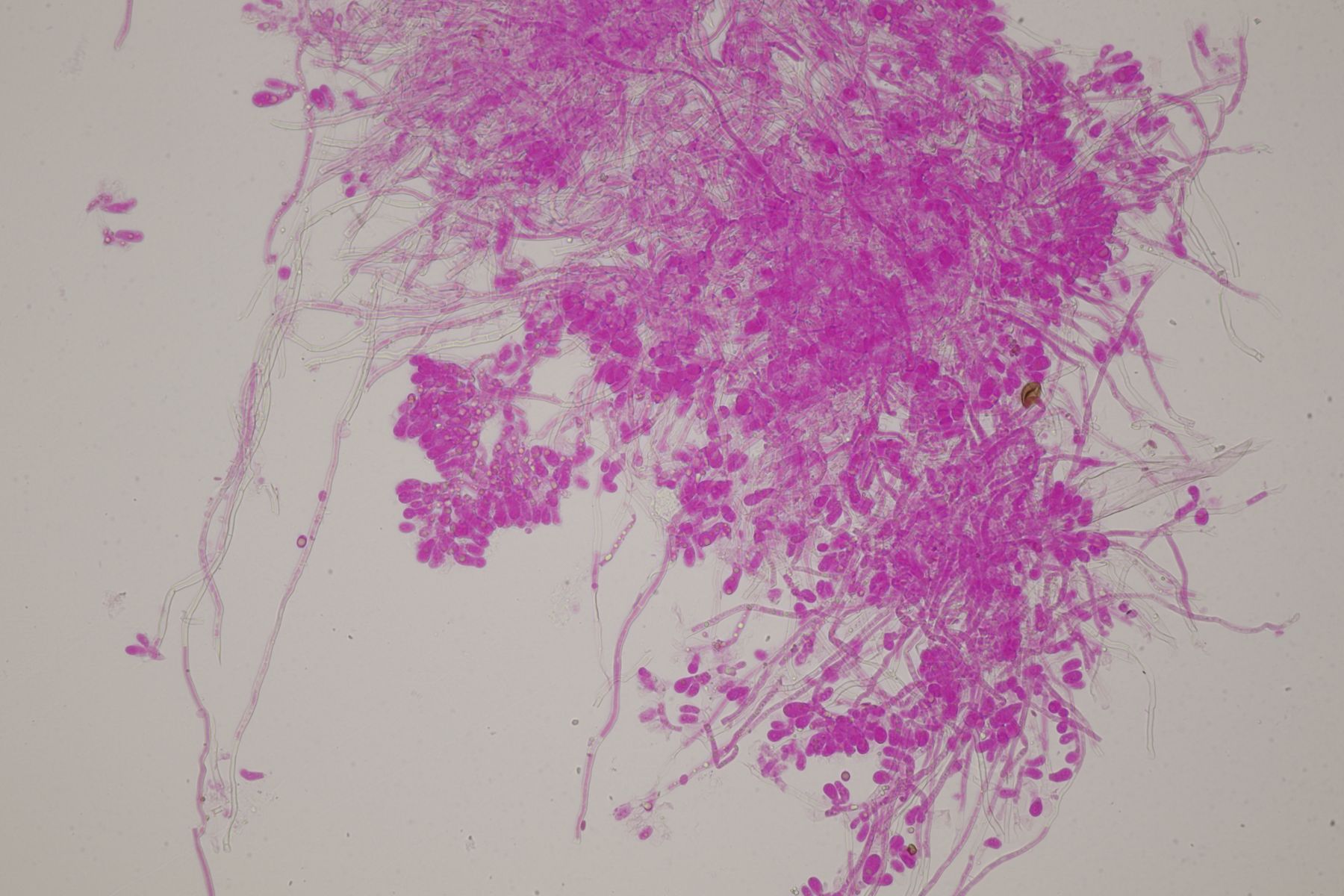
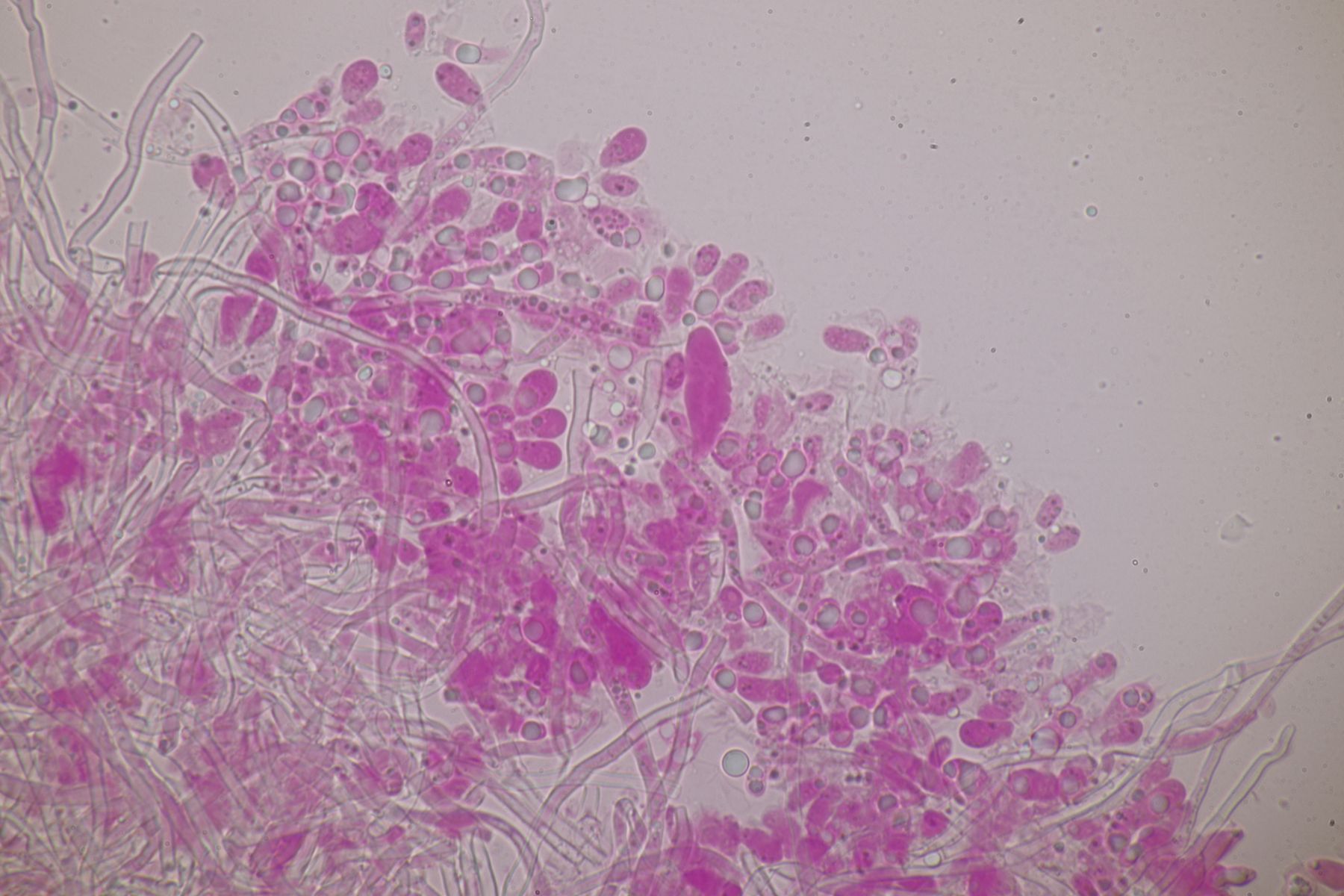
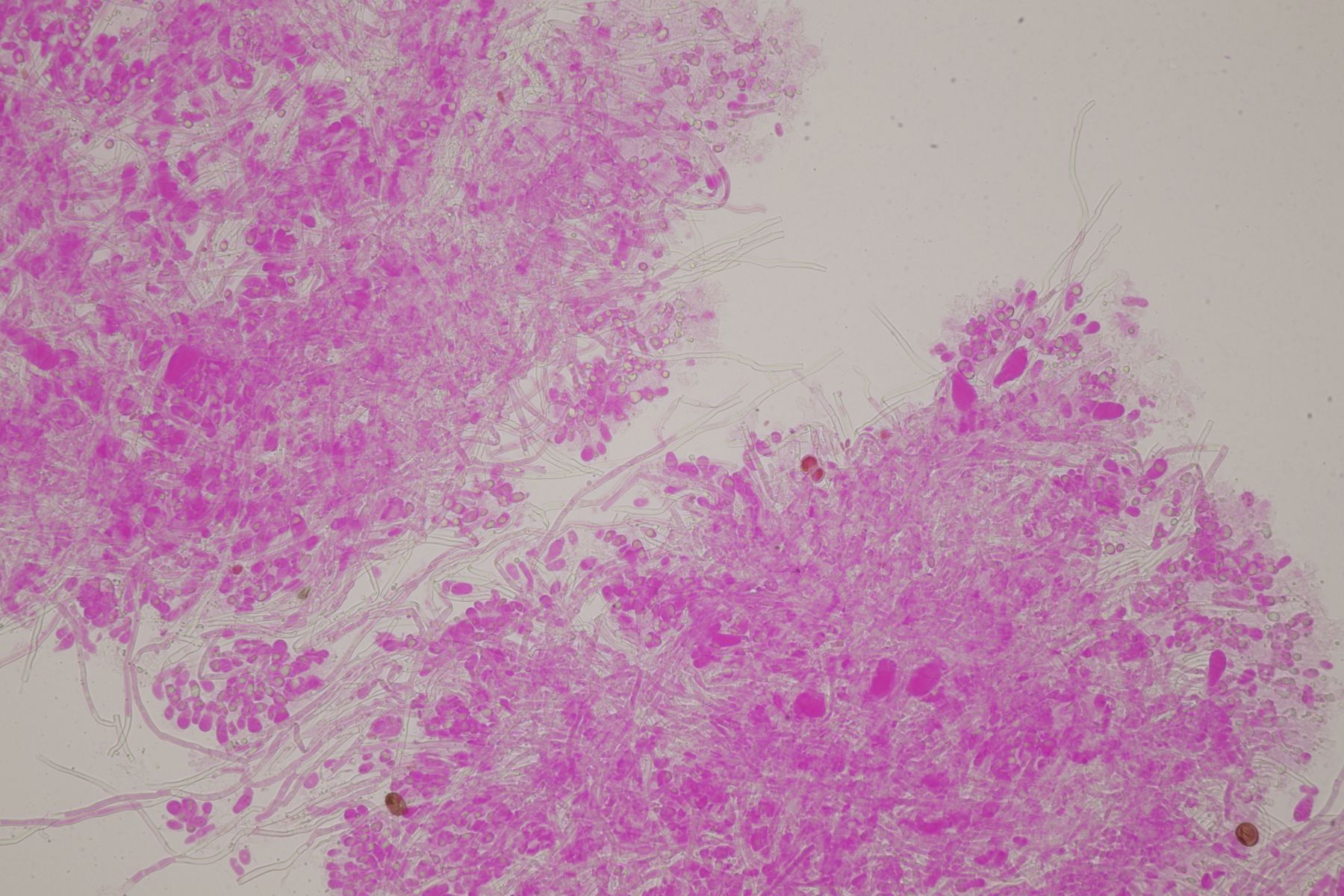
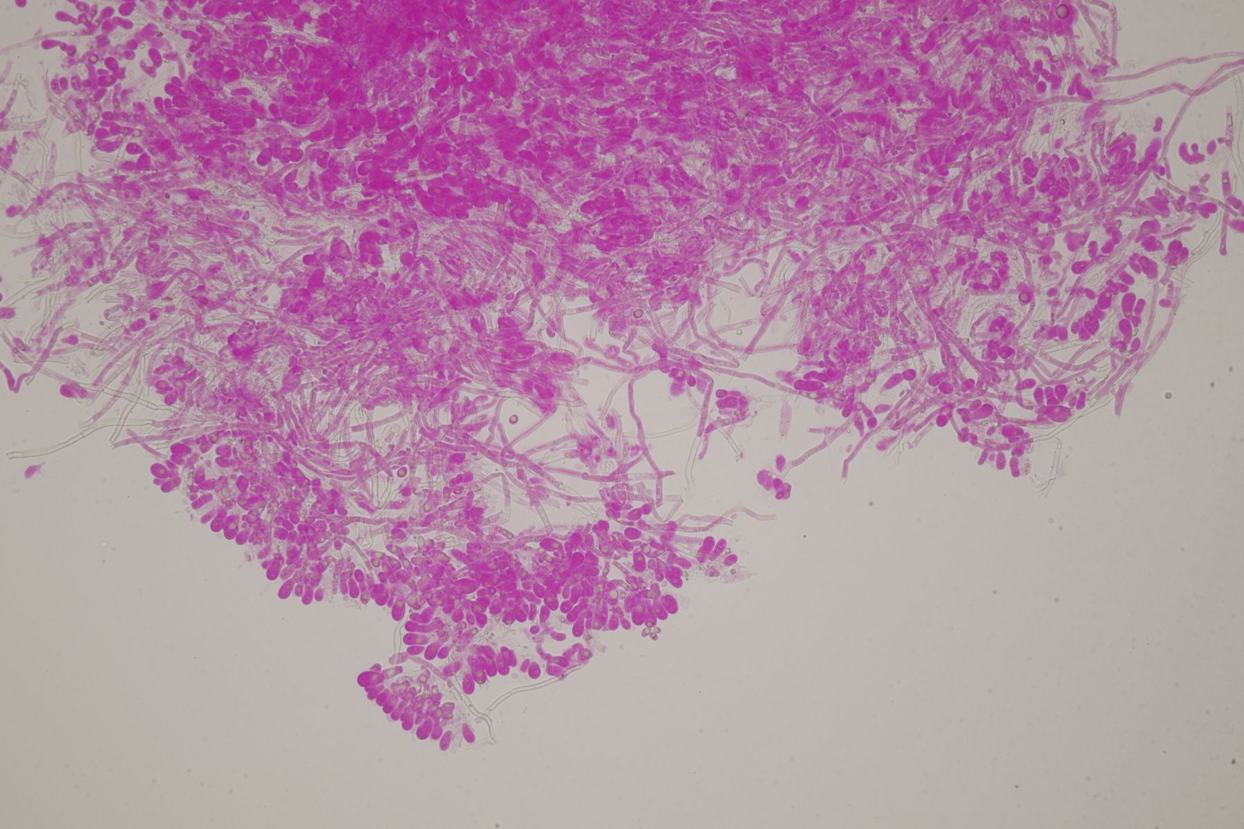
    Poren unter dem Mikroskop bei 40x und 100x Vergrößerung


    Sporen in Wasser. Sporenmaße

    4.8±0.3 µm × 3.8±0.2 µm, Q=1.2±0.1

    4.0-5.3 µm × 3.5-4.4 µm, Q=1.2-1.4

    N=28

    Sporen waren weder amyloid noch dextrinoid und sind glatt

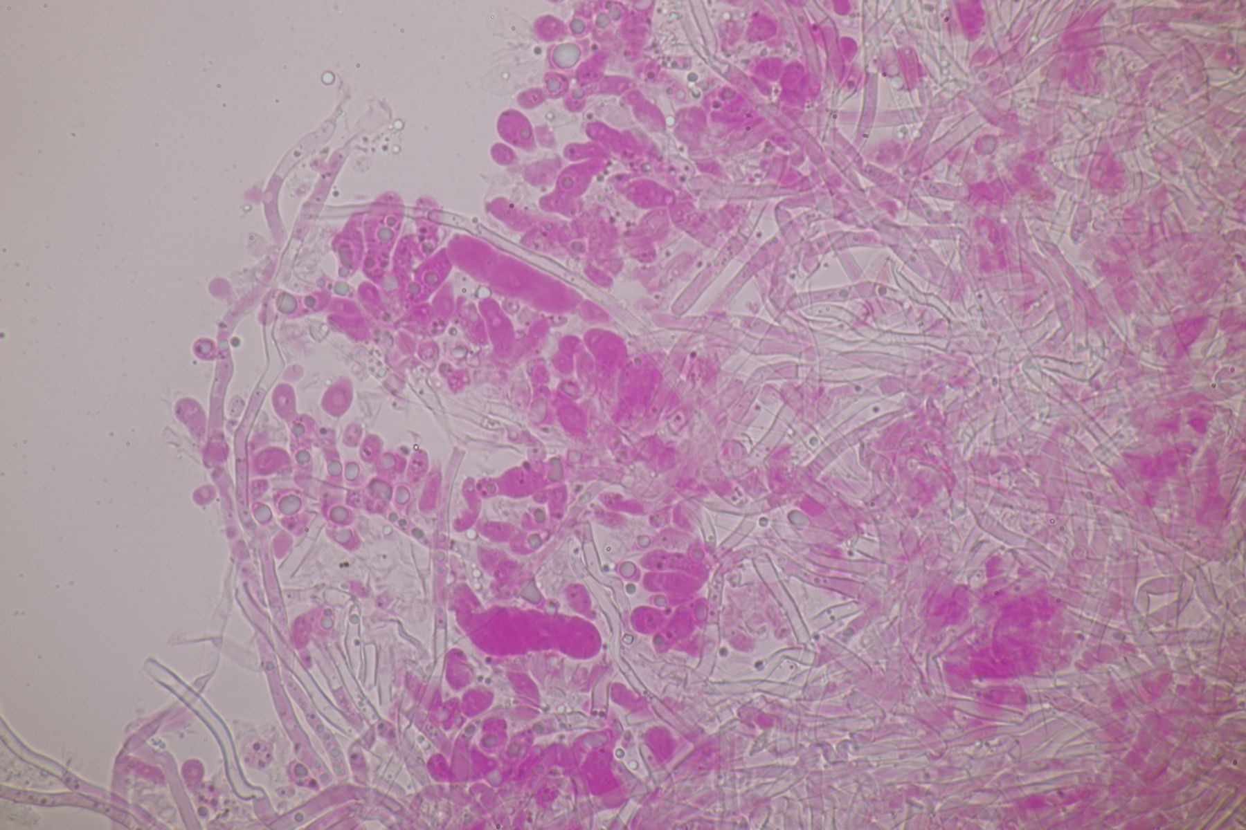
    Hymenium: Septen der generativen Hyphen ohne Schnallen, Basidien 4-sporig ohne Basalschnalle, Zystiden wahrscheinlich nicht vorhanden (auch wenn es an einigen Stellen größere Blobs gab, siehe unten), Hyphensystem monomitisch, Hyphen weder amyloid noch dextrinoid

    Hier einige Beispiele für die oben erwähnten Blobs, die eventuell Zystiden sind oder aber auch nicht


    Da ich die Poren als regulär bezeichnen würde, landet man damit bei Bernicchia und auch Ryvarden in Teilschlüssel E. Interpretiert man die Blobs oben als Zystiden, gelangt man zu Oxyporus, aber da paßt dann keine Art. Ohne Zystiden kommt man bei Leptoporus mollis oder Rigidoporus raus, aber das paßt auch nicht. Was übersehe ich hier?


    Björn

  • Außerdem ist die Bestimmung der ganzen exotischen Bäume natürlich alles andere als trivial. An einer Stelle gab es dann einen stehenden, mehrere Meter hohen Stumpf eines Nadelbaums (Sumpfzypresse?, Mammutbaum?), am dem sehr zahlreich ein weißlicher Porling wuchs.

    Hallo Björn,

    vielleicht mal beim Betreiber des Wuppertaler Arboretum nachfragen was wo an Bäumen gepflanzt wurde, da gibt es sicher Aufzeichnungen darüber,

    viele Grüsse

    Matthias

  • Hallo Björn,


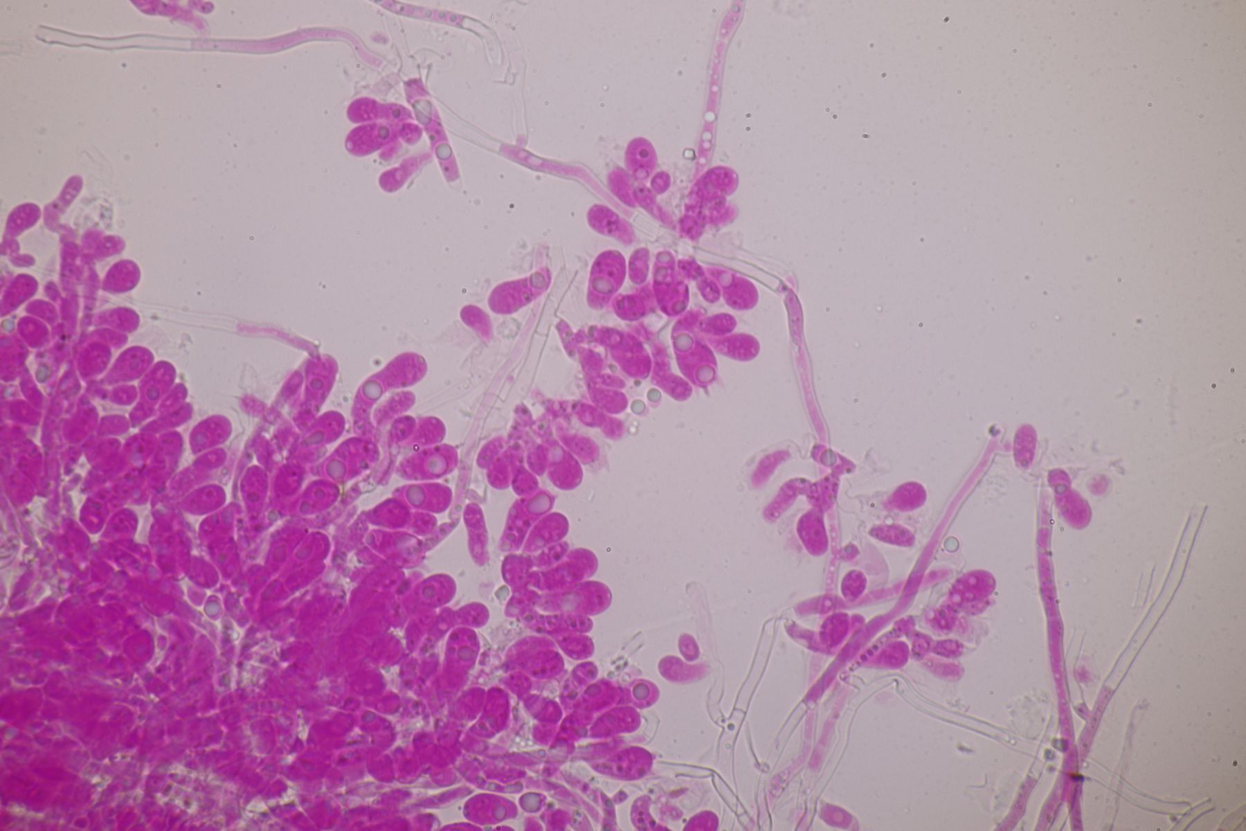
    mit schnallenlosen Hyphen, elliptischen Sporen und deinen makroskopischen Merkmalen komme ich auch zu Oxyporus. Auf Grund der relativ großen Poren, wäre das dann Oxyporus ravidus (da kommst du auch mit meinem Online Schlüssel hin :) ). Gloeocystiden sind ja auf deinen Mikrobildern zu erahnen. Die apikal inkrustierten Zystiden fallen nur auf, wenn sich die Inkrustation nicht durch zu starkes KOH auflöst oder durch zu starkes Drücken zerbröselt.


    LG

    Frank

  • Hallo zusammen,


    ich habe jetzt noch mal verschiedene Präparate des Porlings gemacht. In Kongorot konnte ich die Gloeozystiden mit ihrem öligen Inhalt gut erkennen. Ich habe dann auch noch Präparate in Wasser und ohne jegliches Quetschen gemacht sowie Präparate in 3% KOH ohne Quetschen. Kristallschöpfe auf den Zystiden blieben leider trotzdem Fehlanzeige. In der Literatur liest man allerdings, daß die Zahl der Zystiden und ihre Kristalligkeit durchaus gering sein kann. Andere Arten in der Gattung passen mit den Hüten und Gloeozystiden ja auch alle nicht. Was mich allerdings auch noch wundert: In der Literatur wird eigentlich fast immer Laubholz als Substrat angegeben, allerdings hatte Hans Bender die Art auch mal auf Nadelholz.


    Zu möglichen Aufzeichnungen: Die mag es zwar geben, aber wir reden hier von einer Fläche von 200 ha, wo in vielen Fällen auch keine Monokulturen, sondern Mischwälder stehen. Da ist es dann also nicht so einfach herauszubekommen, was Baum X mal war.


    Björn

  • Hallo Björn,

    Zu möglichen Aufzeichnungen: Die mag es zwar geben, aber wir reden hier von einer Fläche von 200 ha, wo in vielen Fällen auch keine Monokulturen, sondern Mischwälder stehen. Da ist es dann also nicht so einfach herauszubekommen, was Baum X mal war.

    Was ich von dem Baumstumpf sehen kann, sieht für mich nach Urweltmammutbaum aus (wir hatten bis vor Kurzem einen im Garten).


    Ein Foto, auf dem man mehr vom Baumstumpf sieht, hast du nicht, oder?


    Beste Grüße

    Sabine

    100 Startguthaben minus APR-Gebühr 2024 = 90 + 3 (drittschnellstes Jokerverballern 2024) = 93 + 10 (dritter Platz APR 2024) = 103 minus 15 für APR 2025 = 88 + 2 (Nannettes Zwischenrätsel als 11. gelöst) = 90 + 6 (6. Platz Platzierungswette APR 2025) = 96

  • Hallo Björn,


    Oxyporus ravidus habe ich an Nadelholz auch schon gefunden. Die kristallbeschopften Zystiden können auch mal fehlen, was mir bei Oxyporus obducens auch schon vorgekommen ist. Dort hatte ich dann eine Ceriporia vermutet, aber die Sequenzierung hatte 100 % Oxyporus obducens ergeben.


    LG

    Frank