Mollisia oder?

Es gibt 5 Antworten in diesem Thema, welches 1.249 mal aufgerufen wurde. Der letzte Beitrag () ist von Nosozia.

  • Hallo Zusammen,


    ich hoffe ich liege hier mit der Gattung Mollisia richtig.

    Auf Laubholz Ast stark zersetzt und feucht.











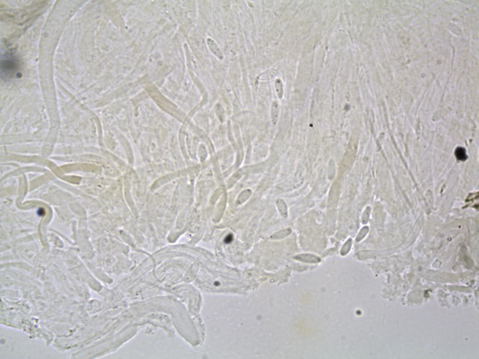
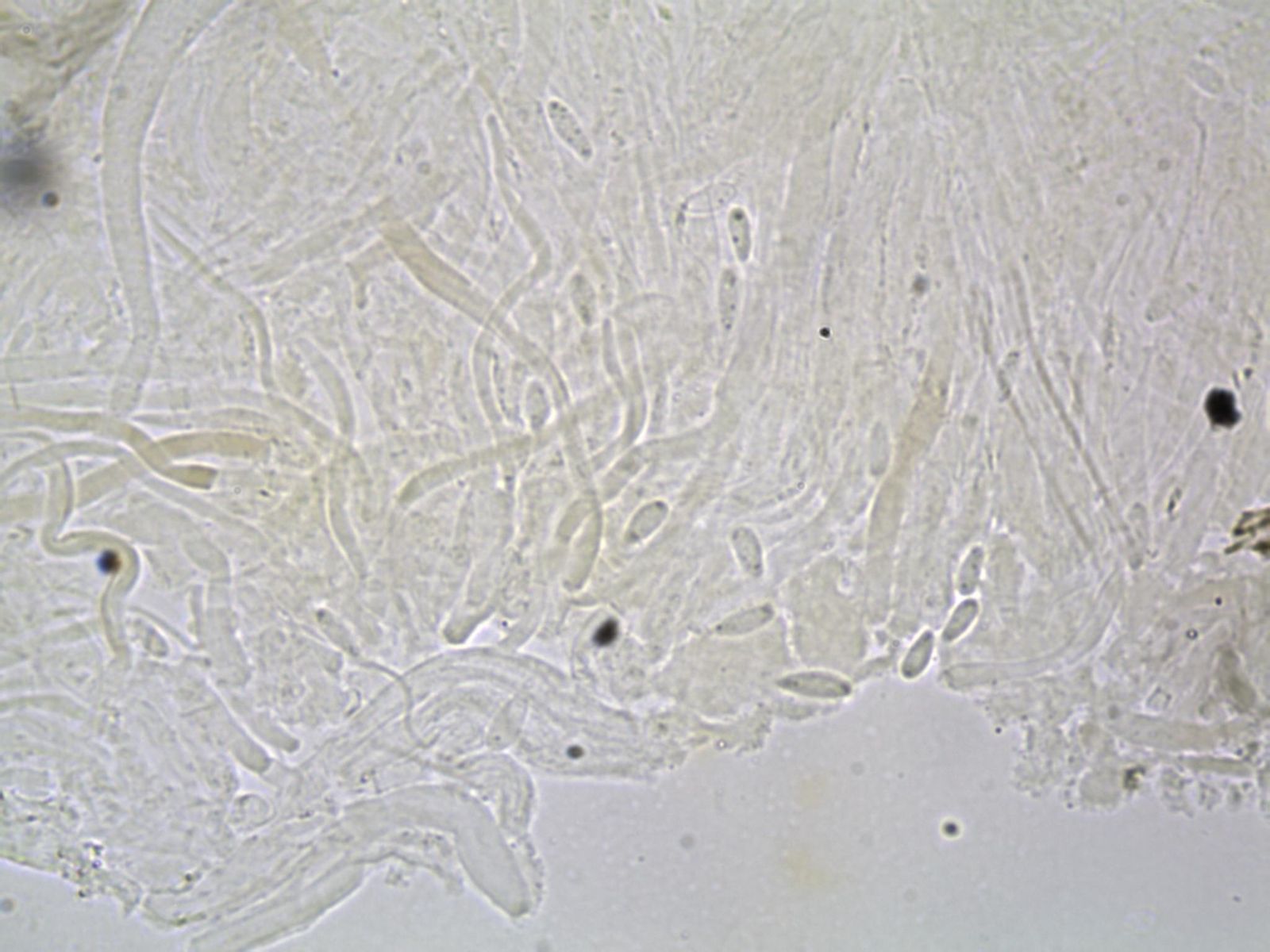
    Sporen in KOH: 6.8 × 2.4 µm ; Qe = 2.8; N = 23

    (5.2) 5.5 - 8.2 (8.7) × (2) 2.1 - 2.8 (2.9) µm; Q = (2.1) 2.4 - 3.1 (3.4)


    Sporen in Baral: 7.8 × 2.6 µm ; Qe = 3; N = 33

    (5.9) 6.7 - 8.8 (9.4) × (2.1) 2.3 - 2.9 (3.1) µm; Q = (2.5) 2.7 - 3.3 (3.6)


    Alte Fruchtkörper:


    Ich dachte an M. cinerea aber wahrscheinlich reichten die Angaben nicht zur Artbestimmung, oder?


    Gruß

    Nosozia

    Frei nach dem Stenkelfeld Motto: Pilze braten - Symptome raten!

    Einmal editiert, zuletzt von Nosozia ()

  • Hi,


    ja, das ist auf alle Fälle eine Mollisia.

    Die Sporen solltest Du lieber in Wasser messen, die schrumpfen bei Zugabe von letalen Medien wie Melzers oder KOH immer etwas und die Inhalte sind nicht mehr so sichtbar wie im vitalen Zustand. Maße im toten Zustand können eine Ergänzung sein, z.B. als Vergleich mit Artikeln, die die Werte im toten Zustand nennen, aber grundsätzlich messe ich bei Ascomyceten immer zuerst alles vital in Wasser.
    Zum Feststellen der Färbung des Apikalapparats der Asci ist Lugol besser geeignet als Melzers (ich gehe davon aus, Du hast das IKI-Foto darin gemacht), weil Du mit Melzers keine Hemiamyloidität beurteilen kannst (Rotfärbung in Lugol, aber keine Färbung in Melzers). Hier nicht weiter relevant, da kommt in Lugol auch nix anderes als blau raus, aber zur Info.


    In KOH sehe ich deutliche Ölinhalte in den Sporen und bei der Größe (ich gehe davon aus, vital wären sie noch etwas größer) und Breite würde ich die Art im Komplex um Mollisia olivaceocinerea verorten. Solle insgesamt KOH-negativ, also ohne deutliche Gelbfärbung sein, wenn das stimmt.

    Mollisia cinerea sollte praktisch keine erkennbaren Ölinhalte in den Sporen haben.

    Ingo kennt sich damit sicher noch besser aus.


    Viele Grüße

    Matthias

    Je intensiver man sich mit Pilzen beschäftigt, desto komplizierter wird es, sie zu bestimmen.

  • Danke Matthias.

    Ah - ich hatte ja Baralsche Lösung genutzt - nicht Melzer. Porus war dann blau.


    Eigentlich wollte ich mir diese Pilze für das nächste Leben aufheben - aber wenn man dann schon was findet =O .

    In Wasser hatte ich nicht viele Sporen gefunden. Und laut "Ellis & Ellis" sollte M. cinerea jeweils einen Öltropfen an jedem Ende haben. Stimmt diese Aussage nicht mehr?

    M. olivaceocinerea gibt es darin aber leider nicht.


    Gruß Nosozia

    Frei nach dem Stenkelfeld Motto: Pilze braten - Symptome raten!

  • Hallo Nosozia,


    ich bin jetzt nicht genau involviert wie es sich mit den Erkenntnissen zum Typus von M. cinerea verhält, aber früher wurde einiges so genannt, inzwischen sind viel mehr Arten bekannt. Bin mir nicht sicher, ob zu Zeiten von Ellis & Ellis die SPoren-Ölinhalte schon als so wichtiges Merkmal erkannt wurden.

    Ich orientiere mich da an den Aufzeichnungen von Ingo und Zotto, sowie am Schlüssel von Andreas Gminder, wobei bei letzterem auch schon viele Arten wieder fehlen.

    Ingo ( Ingo W) dürfte da den aktuellsten Stand haben: https://asco-sonneberg.de/page…mollisiaceae/mollisia.php

    Vielleicht kann er selbst ja noch was dazu sagen.


    Viele Grüße

    Matthias

    Je intensiver man sich mit Pilzen beschäftigt, desto komplizierter wird es, sie zu bestimmen.

  • Hallo!


    Matthias hat ja schon einiges geschrieben, was ich nur bestätigen kann.

    Theoretisch ist mit den Sporenmaßen und Inhalt der Komplex olivaceocinerea nicht schlecht, zumal die jetzt überall wachsen, aber die dürften diese einseitig zuspitzenden Sporen nicht haben.

    Mit den Sporenmaßen würde mir da jetzt nichts gescheites einfallen. Aber vielleicht achtest du ja mal darauf, dass du in Wasser abgeschossene Sporen zum Messen hernimmst, damit man ausschließen kann, dass du unreife gemessen hast.

    So Richtung sublividula vielleicht, macht mich aber alles nicht glücklich:

    sublividula IKI+ or +-, KOH- (Fagus) 4.6-8.4x2.1-3 – Google Drive


    VG Ingo W

    ________________________________________________________________
    "Pilz nur von oben ist wie Käfer nur von unten"

    145-15 (Teilnahme APR 2023) = 130+3 (10. Platz) = 133+3 (Unbewusst-Phal) = 136+5 (Lupus-Wette-APR-Sieger=ü300) = 141+5 (GnE-Gewinnsteuer-APR23) = 146+7 (Phalplatz 1) = 153-20 (Teilnahme APR 2024) = 133+5 Honorar APR = 138+8 (APR-Treppchenwette 2.Pl.) = 146+4 (APR-Früh-Joker-Bonus 1.Pl.) = 150+15 (Phalprämierung 2. + 5. Pl) = 165-20 (Teilnahme APR 2025) = 145+4 (8. Pl. APR2025) = 149+3 (GnE-Prozent-Gewinnabstaube) = 152+9 (2.Platz Phalprämierung) = 161


    Link: Gnolmengalerie

    Link: Auflösung APR 2025

    Link: Nanzn 2025

    Link: APR 2025

  • Danke euch,


    habe den Stock mal in den Garten gelegt. Vielleicht kann ich noch was messen.


    Gruß Nosozia

    Frei nach dem Stenkelfeld Motto: Pilze braten - Symptome raten!