Hallo allerseits,
an toter, zersplitterter Kiefer, in der Luft hängend, wächst unterseits dieser bestielte Schleimi. Ich komme zur Gattung Lamproderma. Mein Schlüssel hat in der Gattung aber nur drei Arten, mit niedrigen einstelligen Funden, also sicher nicht vollständig. Alles von heute.
Fotos am Substrat
10er mit Auflicht, ohne Deckglas
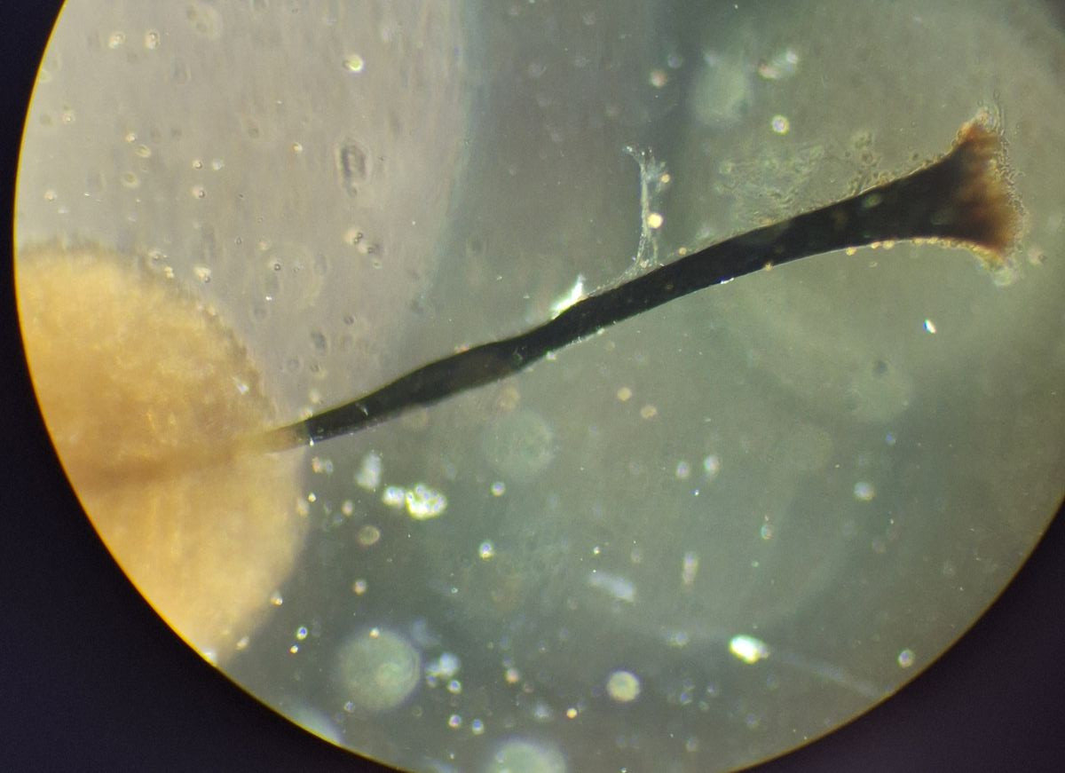
Mikro
Die Sporen sind feinwarzig, 9 µm [8-10] groß.
LG, Bernd
