Becherling und Schildborstling aus dem Hauswald

Es gibt 10 Antworten in diesem Thema, welches 2.523 mal aufgerufen wurde. Der letzte Beitrag () ist von Felli.

  • Es gibt doch immer was zu entdecken:


    Heute die erste 01 Scutellinia crinita für dieses Jahr:


    Mikroskopisch Eindeutig mit Haaren über 1000µm (die längeren) und mit ellipsoiden, warzigen Sporen mit abgerundeten Enden:

    17,5-19,2 µm (av. 18,3 µm, SD 0,6 µm) x 11,6-13,3 µm (av. 12,3 µm, SD 0,6 µm); Q = 1,4-1,6 (av. 1,5, SD 0,0)(n = 4), in Wasser gemessen.




    Dann gabs die Tage noch vermutlich 02 Peziza megalochondra:


    Nachdem ich vorgestern nur im Halbdunkel Bilder machen konnte, klappte es heute nochmal bei Tageslicht:


    Eine umfassende Dokumentation zu den Mikromerkmalen hatte ich bereits in dem Thread von KaMaMa eingefügt (da noch mit den nicht so schönen Fruchtkörperbildern):


    LG Sebastian

  • Habe ich gesehen, danke dir. Zum Ergebnis kam ich mit Hohmeyer. Das Excipulum hatte ich mir auch angeschaut. Kann morgen dazu noch Bilder einstellen. Aber die Bestimmung ist natürlich unsicher wie ich bereits schrieb.


    LG Sebastian

  • So, hallo zusammen,


    also, ich habe nochmals die Paraphysen und das Excipulum der Peziza in Wasser mikroskopiert.


    Felli hatte durchaus berechtigte Zweifel an der (auch meinerseits unsicheren) Bestimmung angemeldet, auch da ich keine Bilder des Excipulums geliefert hatte:

    Bei deinem Fund seh ich schon mal keine gelben Guttulen in den Paraphysen und wichtig wären halt dann auch die großen Zellen im Excipulum/Medula-.

    Hier nun nochmal alle Daten, damit auch alles zusammen ist und nicht immer von Thread zu Thread gesprungen werden muss:


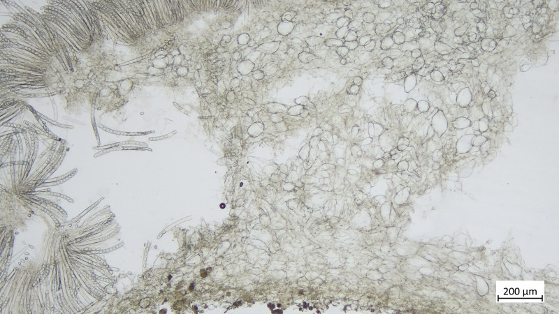
    Die Fruchtkörper auf Holzspänen, relativ groß. Fruchtkörper bis 6cm! Farben siehe Bilder.


    Die Paraphysen weisen in Wasser entsprechende Guttulen auf (?):


    Das Excipulum besteht aus durchgehender globulosa und auch sehr großen Elementen, teilweise 150µm. Für megalochondra finde ich im Netz auch Darstellungen wo die Elemente durchschnittlich mit 100µm angegeben sind, z.B. hier: https://www.centrodeestudiosmi…rutas-de-Quercus-ilex.jpg

    Da ist von "roundish cells up to 150µm" die Rede. Solche finde ich in jedem Falle oft im mittleren Teil.



    Es gibt eben auch längliche Elemente:


    Über 100µm kommt auf jeden Fall durchgehend häufig vor.


    Sporen nochmal:

    ohne Anhängsel, mit deutlichem Zellkern, ohne Öltropfen, glatt mit einer Größe von:

    20,0-21,1 µm (av. 20,6 µm, SD 0,4 µm) x 10,6-11,7 µm (av. 11,1 µm, SD 0,4 µm); Q = 1,7-1,9 (av. 1,8, SD 0,1)(n = 5)


    teilweise mit sich ablösender Außenhülle, mehrfach beobachtet, so auch hier an unterer Spore.


    Asci operculat mit amyloider Spitze (in IKI):


    Damit sind ja alle bestimmungsrelevanten Mikromerkmale bekannt. Oder habe ich etwas vergessen. In Hohmeyer schlüssel ich:


    Hohmeyer: Schlüssel 1: Pezizen mit glatten Sporen


    1e: Auf Holz, diese umgebende Erde, Mulm, Sägemehl, Papier etc - 17

    17b Hymenium ohne rötlich Töne (17a = subisabellina kann man hier getrost ausschließen)


    18a ohne mittlere t.intricata - 19

    18b mit mittlerer intricata (sehe ich hier nicht, finde das durchgehend globulos, oder ich übersehe etwas)


    Bei 19 dann Unsicherheit: Passt dann P.ampliata?: https://www.mycocharentes.fr/pdf1/445.pdf


    Zwei der Arten unter 19 kann ich wegen der Fruchtkörpergröße unter 3cm ausschließen und flavida sollte kleinere Sporen haben!


    Auch mit einem anderen Schlüssel lande ich am ehesten bei ampliata.


    Was meint ihr?

  • Hallo Sebastian,

    eine richtig tolle Doku machst Du hier. Ich kann dir leider nicht weiterhelfen, aber ich finde es spannend und interessant solche tollen Beiträge hier zu verfolgen.

    Danke Hilmi

    Liebe Grüße aus dem Vogtland

    die Schwarzhex

    :gwinken: Sandra

    (PC 100 - 10 (fürs APR 2020) = 90 - 15 (APR 21) = 75-10 (APR22) = 65 + 7 (APR 22 Auflösung) - 5 (Rätsel-Gedicht)= 67 - 10 (APR 23) = 57 + 5 Gnanzierung = 62 - 10 (Ast-Wette gegen Björn) = 52 - 10 (APR 24)- 1 (legaler Bestechungsversuch im Vorfeld des APR zugunsten GI)= 41 + 21 (Thorwulf Spende)= 62 + 38 (Hannes2 Spende) = 100 PC :gbravo: + 3 Gnolmengastfreundlich = 103-15 (APR 25) = 88+ 1 Nannettenrätsel=89 + 3 Jammerei auf hohem SchwarzhexxNiveau = 92+ 3 (Platz 20 APR25)=95

  • Hallo Sebastian,


    P. ampliata sagt mir was...

    Wenn der Hohmeyer-Schlüssel stimmt, und keine T. intricata vorliegt (ich sehe auch keine auf deinen Fotos, die paar länglichen Ballonzellen können das nicht sein) - warum soll's nicht stimmen... Aber wissen tu ich's nicht.

    Schöne Doku, finde ich!


    LG Martin

  • Hallo ihr Beiden, danke für das Lob, es macht doch auch einfach Spass diese Welt zu erkunden :)


    Hallo Martin, ja ich denke es spricht eigentlich nichts gegen P.ampliata. Ich danke dir ...


    LG Sebastian

  • Servus,

    hätt ich fast übersehen, ist wirklich ne schöne Doku :daumen:

    Wenn man nach den Schlüsseln geht landet man bei ampliata, allerdings steh ich persönlich mit dieser Art auf Kriegsfuß. Ich hab noch nie eine sichere Bestimmung durchführen können.


    Was mich z.B. bei deiner Aufsammlung stört, ist die Fruchtkörpergröße. Egal welche

    Beschreibung man über P. ampliata liest immer ist die Größe mit höchstens 3-cm angegeben. Die Sporengröße ist auch am oberen Rand der Angaben.

    Ich würde den immer noch als cf. ampliata bezeichnen.

    Grüße

    Felli