Hallo zusammen,
dieses Jahr habe ich einmal mehr gezielt an Kiefernnadeln gesucht, um eine Art zu finden, die ich einige Jahre nicht mehr gesehen habe. Das liegt aber sicher nicht an deren Seltenheit, sondern weil ich einfach nicht gezielt danach geschaut habe. Desmazierella acicola ist ein kleines Becherchen mit sehr speziellen Merkmalen, das an Kiefernnadeln wächst und häufig als die berühmte Stecknadel im Heuhaufen gilt, weil sie sehr schwer in einer größeren Menge liegender Nadeln auszumachen ist.
Nach meiner Erfahrung lohnt es sich am ehesten, wenn man am Boden liegende Äste mit noch ansitzenden Nadelbüscheln anschaut. Die Büschel sollten Bodenkontakt haben und an der Unterseite eine gute Zeit lang feucht liegen, sodass die Nadeln optimalerweise etwas geschwärzt daherkommen.
Solche Standorte können z.B. so aussehen, hier der Standort an dem ich dieses Jahr wohl auf einmal etliche Male mehr Exemplare fand als ich in meinem Leben vorher insgesamt gesehen habe:
Die Nadeln sind an diesen Büscheln fest in der Streu steckend, daher auch dauerhaft feucht, obwohl dieser Ast hier sogar auf einer Lichtung in der Sonne lag. Wenn man genau hinsieht, sind etliche Exemplare der Desmazierella zu erkennen:
Etwas näher betrachtet kommt man mit dem Zählen der Exemplare nicht nach, es waren sicherlich Hunderte, bei gezieltem Ausgraben aller Äste sicher Tausende:
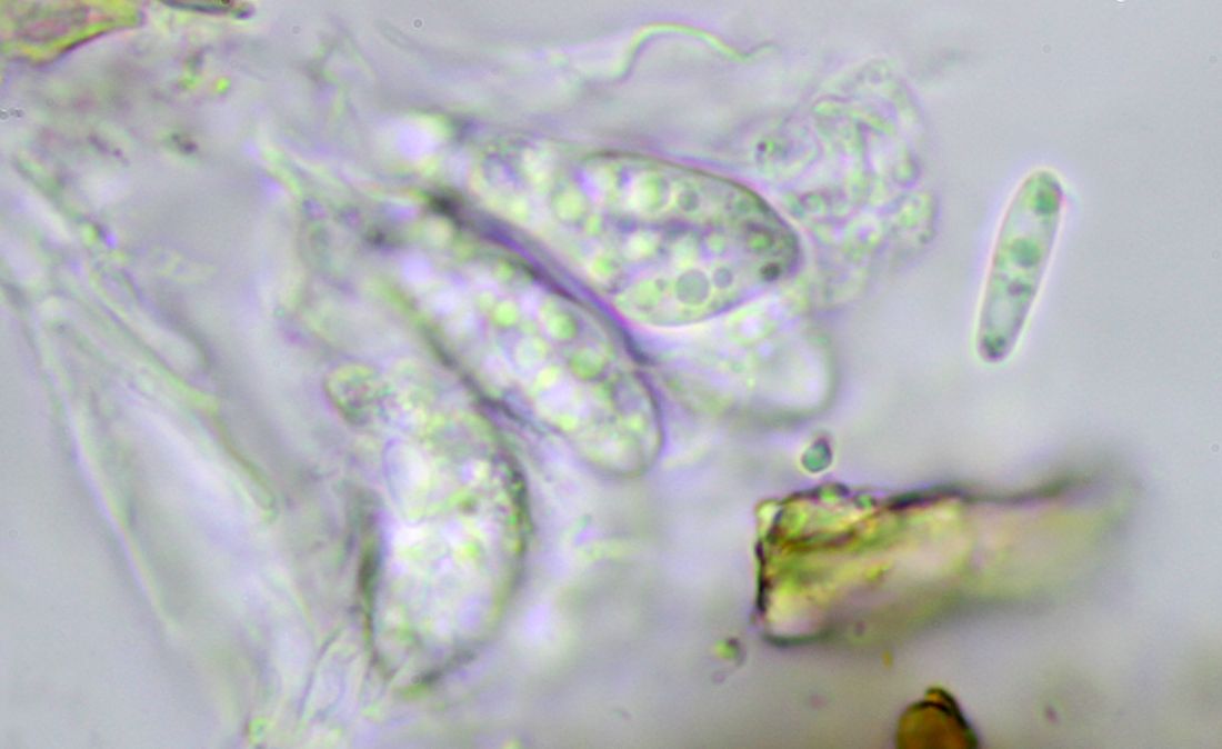
Unter dem Mikroskop sieht man allerhand nicht alltägliche Merkmale:
Paraphysen, deren Spitzen als helle, warzige Haare aus dem Hymenium ragen, dazu riesige dunkelbraune Borsten mitten in der Fruchtschicht, die auch makroskopisch erkennbar sind. Noch fetter sind die Randhaare. Die Asci sind sehr lang und an der Basis oft Y-förmig gegabelt. Die Sporen haben eine dicke Gelhülle mit je einer Verdickung an den Polen, bei etwas Druck auf das Präparat löst sich die Hülle unregelmäßig ab. Reife Sporen haben an den Polen jeweils eine Menge Öltröpfchen. Mindestens 4 Zellkerne sind vorhanden, das Anfärben in Karminessigsäre klappte hier noch nicht optimal sicher auch weil durch die Sporeninhalte eventuelle Kerne nahe der Pole kaum erkennbar sind.
Hier die Merkmale von Desmazierella acicola kurz zusammengefasst (anhand von zwei Kollektionen von unterschiedlichen Standorten):
Natürlich findet man nicht nur eine Art an Kiefernnadeln, wenn man Desmazierella sucht. Hier eine kleine Auswahl an "Beifang", der mir mit ins Netz ging.
Alle nachfolgenden Funde stammen von einer anderen umgestürzten Kiefer, deren tote Nadelbüschel in eine moosige, sumpfige Stelle ragten:
Unter dem Mikroskop untersuchte ich einfach zufällige feuchte Nadeln, die ich mitgenommen hatte. Kleine dünne "Haare" fielen da auf hellem Hintergrund sofort auf.
Das ist ein Erstfund für mich, Klasterskya acuum, die scheint nicht sonderlich häufig, weil die habe ich schon gezielt gesucht und nicht gefunden, nun also per Zufall:
Hier ein Beispiel, wie mehrere Ascomyceten an einer Nadeln nebeneinander wachsen, das Bild ist nicht gestellt:
In der Mitte das muschelförmige Objekt hört auf den Namen Mytilinidion mytilinellum, oben ein weißes Becherchen namens Cistella acuum, die übrigen flachen schwarzen Punkte gehören zu Microthyrium pinophyllum.
Nochmal der Reihe nach, hier hab ich aber nicht immer alle Mikromerkmale festgehalten.
Mytilinidion mytilinellum
Microthyrium pinophyllum
Die Sporen- und Asusmerkmale hatte ich schon besser, hier nur der Vollständigkeit halber. Eigentlich haben die Sporen noch Cilien, hier aber nicht erkennbar.
Cistella acuum, häufig aber bei entsprechender Vergrößerung sehr hübsch anzusehen:
Randhaare:
Weitere Arten, die ich beiläufig fand, aber nicht erneut fotografiert habe sind z.B. Pseudohelotium pineti, Melanospora chionea, Diplodia sapinea, Sphaeridium candidum, Fujimyces oodes.
Wer Lust hat, dem wünsch ich viel Erfolg bei der Nachsuche.
Viele Grüße
Matthias
