Hi.
Die beiden Pezizas sind mir heute über den Weg gelaufen. Beide im reinen Laubwald mit viel Totholz. Ist normalerweise nicht meine Gattung, habe auch nicht viel Literatur dazu, aber da sie doch recht auffällig waren, habe ich mal welche eingepackt.
Nummer 1:
Teilweise ziemliche Klopper - bis zu 15cm. Runzelig und +-gestielt. Gesellig bis büschelig, einige direkt an Totholz, häufig aber auch größere Grüppchen direkt daneben, wobei da sicher auch Holz im Boden ist. Angenehm pilziger Geruch.
Habitat schaut so aus, vermutlich bisschen Kalk im Boden, da dort in der Ecke auch Morchella esculenta s.l. stand:
Junge Exemplare (denke ich, war einen Baumstumpf weiter)
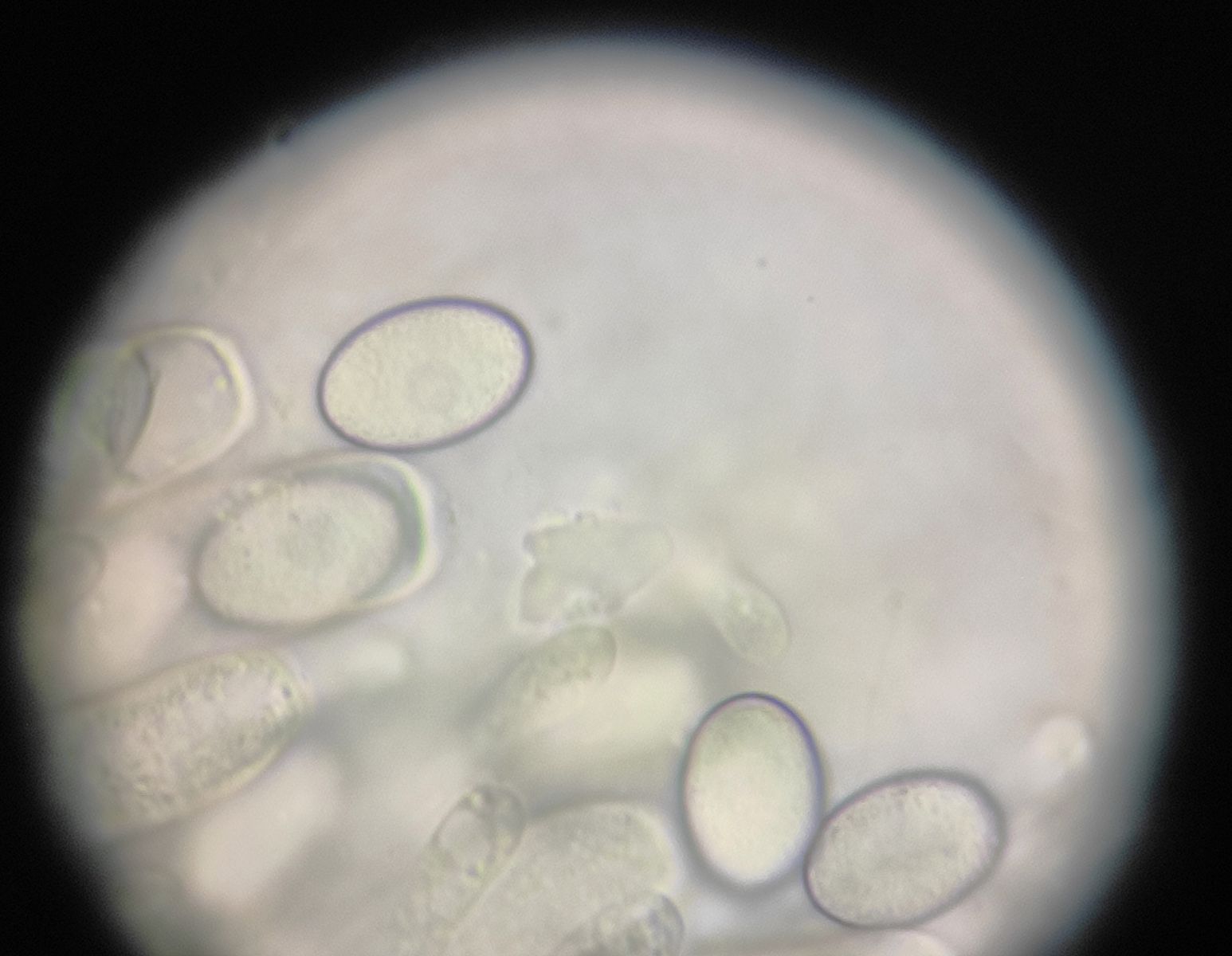
Ich hätte die jetzt so in Richtung Peziza arvernensis/P. varia geschubst? Schaffe es glaube ich die Woche nicht mehr ans Mikro aber vlt. trockne ich mir einen FK zum späteren verifizieren. Könnte das hinkommen?
Nummer 2 waren diese hübschen violetten Becherlinge. Auch sie zum Teil relativ groß, so bis ca. 7cm. Allerdings alle am Boden wachsend (neben den Morcheln, also wohl kalkhaltig). Keine Brandstelle so weit ich sehen konnte, keine "Milch" oder gelben Verfärbungen. Hatte gehofft es gibt vielleicht nicht so viele violette aber scheinbar gibt's da doch ein paar. Vermutlich ebenfalls mikropflichtig also?
Eine hochgerippte Becherlorchel gab's auch noch zum Abschluss:
Danke!
LG,
Schupfi
